-
分类: 科研抗体货号: P30229别名: Elongator complex protein 3, hELP3, ELP3应用: WB反应种属: Human, Mouse
-
分类: 科研抗体货号: P30230别名: RGM domain family member B, DRG11-responsive axonal guidance and outgrowth of neurite, DRAGON, RGMB应用: WB,IHC反应种属: Human, Mouse
-
分类: 科研抗体货号: P30247别名: Cadherin-7, CDH7, CDH7L1应用: WB,IHC,FCM反应种属: Human
-
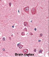
分类: 科研抗体货号: P30227别名: Transcription factor SOX-30, SOX30应用: WB反应种属: Human
-
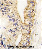
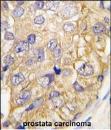
分类: 科研抗体货号: P30246别名: Serine/threonine-protein kinase PINK1, mitochondrial, BRPK, PTEN-induced putative kinase protein 1, PINK1应用: WB,IHC反应种属: Human, Mouse
-
分类: 科研抗体货号: P30225别名: E3 ubiquitin-protein ligase TRIM69, 632-, RFP-like domain-containing protein trimless, RING finger protein 36, Tripartite motif-containing protein 69, TRIM69, RNF36应用: WB反应种属: Human
-
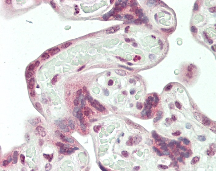
分类: 科研抗体货号: P30245别名: Syncytin-1, Endogenous retrovirus group W member 1, Env-W, Envelope polyprotein gPr73, Enverin, HERV-7q Envelope protein, HERV-W envelope protein, HERV-W_7q212 provirus ancestral Env polyprotein, Syncytin, Surface protein, SU, gp50, Transmembrane protein,应用: WB,IHC反应种属: Human
-
分类: 科研抗体货号: P30224别名: Activating molecule in BECN1-regulated autophagy protein 1, AMBRA1, KIAA1736应用: WB,IHC反应种属: Human
-
分类: 科研抗体货号: P30244别名: Junctophilin-3, JP-3, Junctophilin type 3, Jph3, Jp3应用: WB,IHC反应种属: Human, Mouse, Rat
-
分类: 科研抗体货号: P30223别名: Cadherin-2, CDw325, Neural cadherin, N-cadherin, CD325, CDH2, CDHN, NCAD应用: WB,FCM反应种属: Human
鄂公网安备42018502007531号

