-
分类: 科研抗体货号: P30158别名: Serine/threonine-protein kinase LMTK2, Apoptosis-associated tyrosine kinase 2, Brain-enriched kinase, hBREK, CDK5/p35-regulated kinase, CPRK, Kinase/phosphatase/inhibitor 2, Lemur tyrosine kinase 2, Serine/threonine-protein kinase KPI-2, LMTK2, AATYK2, BR应用: WB,IHC反应种属: Human
-
分类: 科研抗体货号: P30159别名: MAP kinase-interacting serine/threonine-protein kinase 1, MAP kinase signal-integrating kinase 1, MAPK signal-integrating kinase 1, Mnk1, MKNK1, MNK1应用: WB反应种属: Human
-
分类: 科研抗体货号: P30177别名: JmjC domain-containing protein 4, Jumonji domain-containing protein 4, JMJD4应用: WB反应种属: Human
-
分类: 科研抗体货号: P30157别名: Glycerol kinase 2, GK 2, Glycerokinase 2, ATP:glycerol 3-phosphotransferase 2, Glycerol kinase, testis specific 2, GK2, GKP2, GKTA应用: WB,IHC反应种属: Human, Mouse
-
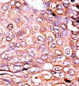
分类: 科研抗体货号: P30176别名: Phosphatidylinositol 3-kinase catalytic subunit type 3, PI3-kinase type 3, PI3K type 3, PtdIns-3-kinase type 3, Phosphatidylinositol 3-kinase p100 subunit, Phosphoinositide-3-kinase class 3, hVps34, PIK3C3, VPS34应用: WB,IHC,IF反应种属: Human
-
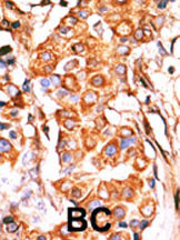
分类: 科研抗体货号: P30155别名: Separin, Caspase-like protein ESPL1, Extra spindle poles-like 1 protein, Separase, ESPL1, ESP1, KIAA0165应用: WB,IHC反应种属: Human
-
分类: 科研抗体货号: P30175别名: Histone acetyltransferase p300, p300 HAT, E1A-associated protein p300, EP300, P300应用: WB,IHC反应种属: Human
-
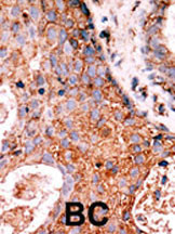
分类: 科研抗体货号: P30151别名: Membrane-associated tyrosine- and threonine-specific cdc2-inhibitory kinase, Myt1 kinase, PKMYT1, MYT1应用: WB,IHC反应种属: Human
-
分类: 科研抗体货号: P30174别名: Importin subunit alpha-3, Importin alpha Q1, Qip1, Karyopherin subunit alpha-4, KPNA4, QIP1应用: WB反应种属: Human, Mouse
-
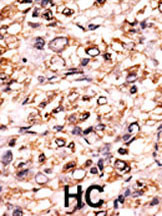
分类: 科研抗体货号: P30150别名: MAP kinase-activated protein kinase 5, MAPK-activated protein kinase 5, MAPKAP kinase 5, MAPKAP-K5, MAPKAPK-5, MK-5, MK5, p38-regulated/activated protein kinase, PRAK, MAPKAPK5, PRAK应用: WB,IHC反应种属: Human, Mouse
鄂公网安备42018502007531号

