-
分类: 科研抗体货号: P30094别名: Protein ENL, YEATS domain-containing protein 1, MLLT1, ENL, LTG19, YEATS1应用: WB反应种属: Human
-
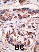
分类: 科研抗体货号: P30093别名: Melanoma-associated antigen D2, 11B6, Breast cancer-associated gene 1 protein, BCG-1, Hepatocellular carcinoma-associated protein JCL-1, MAGE-D2 antigen, MAGED2, BCG1应用: WB,IHC反应种属: Human
-
分类: 科研抗体货号: P30109别名: Pantothenate kinase 1, hPanK, hPanK1, Pantothenic acid kinase 1, PANK1, PANK应用: WB,IHC反应种属: Human
-
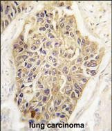
分类: 科研抗体货号: P30091别名: Melanoma-associated antigen 1, Antigen MZ2-E, Cancer/testis antigen 11, CT11, MAGE-1 antigen, MAGEA1, MAGE1, MAGE1A应用: WB,IHC反应种属: Human
-
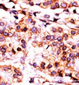
分类: 科研抗体货号: P30131别名: Tumor necrosis factor receptor superfamily member 1A, Tumor necrosis factor receptor 1, TNF-R1, Tumor necrosis factor receptor type I, TNF-RI, TNFR-I, p55, p60, CD120a, Tumor necrosis factor receptor superfamily member 1A, membrane form, Tumor necrosis fa应用: WB,IHC反应种属: Human, Mouse
-
分类: 科研抗体货号: P30108别名: MAP/microtubule affinity-regulating kinase 4, MAP/microtubule affinity-regulating kinase-like 1, MARK4, KIAA1860, MARKL1应用: WB反应种属: Human
-
分类: 科研抗体货号: P30090别名: Leptin, Obese protein, Obesity factor, LEP, OB, OBS应用: WB,IF反应种属: Human
-
分类: 科研抗体货号: P30128别名: Cell cycle checkpoint control protein RAD9A, hRAD9, DNA repair exonuclease rad9 homolog A, RAD9A应用: WB,IHC反应种属: Human
-
分类: 科研抗体货号: P30107别名: Cyclin-dependent kinase 20, CDK-activating kinase p42, CAK-kinase p42, Cell cycle-related kinase, Cell division protein kinase 20, Cyclin-dependent protein kinase H, Cyclin-kinase-activating kinase p42, CDK20, CCRK, CDCH应用: WB反应种属: Human, Mouse, Rat
-
分类: 科研抗体货号: P30089别名: Inducible T-cell costimulator, Activation-inducible lymphocyte immunomediatory molecule, CD278, ICOS, AILIM应用: WB,IHC,FCM反应种属: Human
鄂公网安备42018502007531号

