-
分类: 科研抗体货号: P30099别名: Serine/threonine-protein kinase Nek8, Never in mitosis A-related kinase 8, NimA-related protein kinase 8, Nima-related protein kinase 12a, NEK8, JCK, NEK12A应用: WB反应种属: Human
-
分类: 科研抗体货号: P30083别名: Angiotensin-converting enzyme 2, ACE-related carboxypeptidase, Angiotensin-converting enzyme homolog, ACEH, Metalloprotease MPROT15, Processed angiotensin-converting enzyme 2, ACE2应用: WB,IHC反应种属: Human
-
分类: 科研抗体货号: P30098别名: Ceramide kinase, hCERK, Acylsphingosine kinase, Lipid kinase 4, LK4, CERK, KIAA1646应用: WB反应种属: Human, Mouse
-
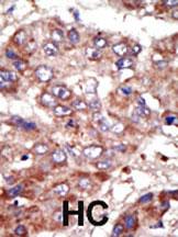
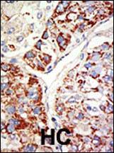
分类: 科研抗体货号: P30082别名: Palmitoyl-protein thioesterase 1, PPT-1, Palmitoyl-protein hydrolase 1, PPT1, PPT应用: WB,IHC反应种属: Human
-
分类: 科研抗体货号: P30097别名: Ethanolamine kinase 1, EKI 1, ETNK1, EKI1应用: WB反应种属: Human, Mouse
-
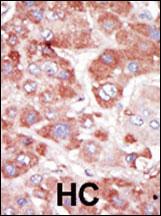
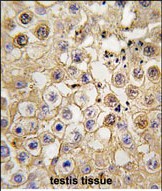
分类: 科研抗体货号: P30080别名: Long-chain-fatty-acid--CoA ligase 6, Long-chain acyl-CoA synthetase 6, LACS 6, ACSL6, ACS2, FACL6, KIAA0837, LACS5应用: WB,IHC反应种属: Human, Mouse
-
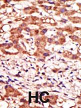
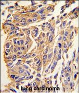
分类: 科研抗体货号: P30096别名: G protein-coupled receptor kinase 7, G protein-coupled receptor kinase GRK7, GRK7, GPRK7应用: WB,IHC反应种属: Human
-
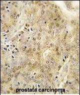
分类: 科研抗体货号: P30079别名: Histone-lysine N-methyltransferase EZH1, ENX-2, Enhancer of zeste homolog 1, EZH1, KIAA0388应用: WB,IHC反应种属: Human
-
分类: 科研抗体货号: P30095别名: Hsc70-interacting protein, Hip, Aging-associated protein 2, Progesterone receptor-associated p48 protein, Protein FAM10A1, Putative tumor suppressor ST13, Renal carcinoma antigen NY-REN-33, Suppression of tumorigenicity 13 protein, ST13, AAG2, FAM10A1, HI应用: WB,IHC反应种属: Human, Mouse
-
分类: 科研抗体货号: P30078别名: Alpha-1,3-mannosyl-glycoprotein 2-beta-N-acetylglucosaminyltransferase, N-glycosyl-oligosaccharide-glycoprotein N-acetylglucosaminyltransferase I, GNT-I, GlcNAc-T I, MGAT1, GGNT1, GLCT1, GLYT1, MGAT应用: WB,IHC反应种属: Human, Mouse
鄂公网安备42018502007531号

