-
分类: 科研抗体货号: P30049别名: Histone-lysine N-methyltransferase SETD7, Histone H3-K4 methyltransferase SETD7, H3-K4-HMTase SETD7, Lysine N-methyltransferase 7, SET domain-containing protein 7, SET7/9, SETD7, KIAA1717, KMT7, SET7, SET9应用: WB反应种属: Human, Mouse
-
分类: 科研抗体货号: P30034别名: Dual specificity protein kinase CLK1, CDC-like kinase 1, CLK1, CLK应用: WB反应种属: Human
-
分类: 科研抗体货号: P30048别名: N-lysine methyltransferase SETD8, 211-, H4-K20-HMTase SETD8, Histone-lysine N-methyltransferase SETD8, Lysine N-methyltransferase 5A, PR/SET domain-containing protein 07, PR-Set7, PR/SET07, SET domain-containing protein 8, SETD8, KMT5A, PRSET7, SET07, SET应用: WB反应种属: Human
-
分类: 科研抗体货号: P30032别名: 5'-AMP-activated protein kinase subunit beta-2, AMPK subunit beta-2, PRKAB2应用: WB反应种属: Human, Mouse
-
分类: 科研抗体货号: P30047别名: Ubiquitin-like protein ISG15, Interferon-induced 15 kDa protein, Interferon-induced 17 kDa protein, IP17, Ubiquitin cross-reactive protein, hUCRP, ISG15, G1P2, UCRP应用: WB,IHC反应种属: Human
-
分类: 科研抗体货号: P30046别名: SUMO-activating enzyme subunit 2, 632-, Anthracycline-associated resistance ARX, Ubiquitin-like 1-activating enzyme E1B, Ubiquitin-like modifier-activating enzyme 2, UBA2, SAE2, UBLE1B应用: WB,IHC反应种属: Human
-
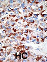
分类: 科研抗体货号: P30031别名: Pyruvate kinase PKLR, Pyruvate kinase 1, Pyruvate kinase isozymes L/R, R-type/L-type pyruvate kinase, Red cell/liver pyruvate kinase, PKLR, PK1, PKL应用: WB,IHC反应种属: Human, Mouse
-
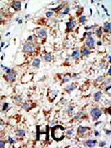
分类: 科研抗体货号: P30045别名: NEDD8-activating enzyme E1 catalytic subunit, 632-, NEDD8-activating enzyme E1C, Ubiquitin-activating enzyme E1C, Ubiquitin-like modifier-activating enzyme 3, Ubiquitin-activating enzyme 3, UBA3, UBE1C应用: WB,IHC反应种属: Human, Mouse
-
分类: 科研抗体货号: P30030别名: [Pyruvate dehydrogenase (acetyl-transferring)] kinase isozyme 1, mitochondrial, Pyruvate dehydrogenase kinase isoform 1, PDH kinase 1, PDK1, PDHK1应用: WB反应种属: Human
-
分类: 科研抗体货号: P30044别名: ADP-ribosylation factor-binding protein GGA1, Gamma-adaptin-related protein 1, Golgi-localized, gamma ear-containing, ARF-binding protein 1, GGA1应用: WB,IF反应种属: Human, Mouse
鄂公网安备42018502007531号

