产品中心
PRODUCT CENTER
首页 » 产品中心 » 抗体 »
  • 分类: 科研抗体
    货号: P30021
    别名: Ephrin type-B receptor 1, ELK, EPH tyrosine kinase 2, EPH-like kinase 6, EK6, hEK6, Neuronally-expressed EPH-related tyrosine kinase, NET, Tyrosine-protein kinase receptor EPH-2, EPHB1, ELK, EPHT2, HEK6, NET
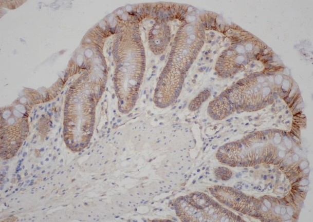
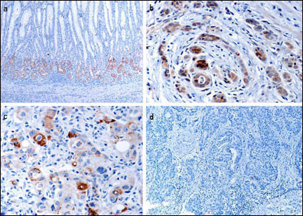
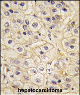
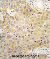
    应用: WB,IHC
    反应种属: Human, Mouse, Rat
  • 分类: 科研抗体
    货号: P30006
    别名: Dickkopf-related protein 2, Dickkopf-2, Dkk-2, hDkk-2, DKK2
    应用: WB,IHC
    反应种属: Human, Mouse
  • 分类: 科研抗体
    货号: P23637
    别名: CLDN5; AWAL; TMVCF; Claudin-5; Transmembrane protein deleted in VCFS; TMDVCF
    应用: WB,IHC,IF
    反应种属: Human,Mouse
  • 分类: 科研抗体
    货号: P30020
    别名: Mitogen-activated protein kinase 10, MAP kinase 10, MAPK 10, MAP kinase p49 3F12, Stress-activated protein kinase 1b, SAPK1b, Stress-activated protein kinase JNK3, c-Jun N-terminal kinase 3, MAPK10, JNK3, JNK3A, PRKM10, SAPK1B
    应用: WB,IHC
    反应种属: Human, Mouse
  • 分类: 科研抗体
    货号: P30005
    别名: Histone deacetylase 9, HD9, Histone deacetylase 7B, HD7, HD7b, Histone deacetylase-related protein, MEF2-interacting transcription repressor MITR, HDAC9, HDAC7, HDAC7B, HDRP, KIAA0744, MITR
    应用: WB,IHC,IF
    反应种属: Human, Mouse
  • 分类: 科研抗体
    货号: P23636
    别名: CLDN1; CLD1; SEMP1; Claudin-1; Senescence-associated epithelial membrane protein
    应用: WB,IHC,IF
    反应种属: Human,Mouse,Rat
  • 分类: 科研抗体
    货号: P30019
    别名: G protein-coupled receptor kinase 5, G protein-coupled receptor kinase GRK5, GRK5, GPRK5
    应用: WB,IHC
    反应种属: Human, Mouse, Rat
  • 分类: 科研抗体
    货号: P30004
    别名: Sentrin-specific protease 2, Axam2, SMT3-specific isopeptidase 2, Smt3ip2, Sentrin/SUMO-specific protease SENP2, SENP2, KIAA1331
    应用: WB,IHC
    反应种属: Human, Mouse
  • 分类: 科研抗体
    货号: P23634
    别名: AKT1; PKB; RAC; RAC-alpha serine/threonine-protein kinase; Protein kinase B; PKB; Protein kinase B alpha; PKB alpha; Proto-oncogene c-Akt; RAC-PK-alpha
    应用: WB,IHC,IF
    反应种属: Human,Mouse,Rat
  • 分类: 科研抗体
    货号: P30018
    别名: Rhodopsin kinase, RK, G protein-coupled receptor kinase 1, GRK1, RHOK
    应用: WB,IHC
    反应种属: Human, Mouse
联系我们
  • 电话:17771420241 18911818852
  • 联系人:刘经理
  • 地址:湖北省武汉市东湖新技术开发区高新大道666号光谷生物城C6栋C6403、C6404
微信公众号
版权所有 © 武汉博开生物科技有限公司  备案编号:鄂ICP备2024052832号-1鄂公网安备42018502007531号
17771420241 18911818852