产品中心
PRODUCT CENTER
首页 » 产品中心 » 抗体 »
  • 分类: 科研抗体
    货号: P23543
    别名: JAK1; JAK1A; JAK1B; Tyrosine-protein kinase JAK1; Janus kinase 1; JAK-1
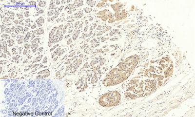
    应用: WB,IHC
    反应种属: Human,Mouse,Rat
  • 分类: 科研抗体
    货号: P23526
    别名: VEGFC; Vascular endothelial growth factor C; VEGF-C; Flt4 ligand; Flt4-L; Vascular endothelial growth factor-related protein; VRP
    应用: WB,IHC
    反应种属: Human,Mouse,Rat
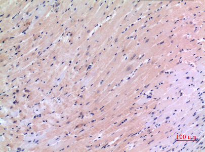
  • 分类: 科研抗体
    货号: P23559
    别名: DNM1L; DLP1; DRP1; Dynamin-1-like protein; Dnm1p/Vps1p-like protein; DVLP; Dynamin family member proline-rich carboxyl-terminal domain less; Dymple; Dynamin-like protein; Dynamin-like protein 4; Dynamin-like protein IV; HdynIV; Dynamin-rela
    应用: WB,IHC
    反应种属: Human,Mouse,Rat
  • 分类: 科研抗体
    货号: P23540
    别名: SLC22A6; OAT1; PAHT; Solute carrier family 22 member 6; Organic anion transporter 1; hOAT1; PAH transporter; hPAHT; Renal organic anion transporter 1; hROAT1
    应用: WB
    反应种属: Human,Mouse,Rat
  • 分类: 科研抗体
    货号: P23525
    别名: STAT3; APRF; Signal transducer and activator of transcription 3; Acute-phase response factor
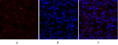
    应用: WB,IHC,IF
    反应种属: Human,Mouse,Rat
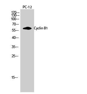
  • 分类: 科研抗体
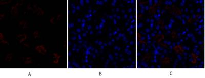
    货号: P23558
    别名: CCNB1; CCNB; G2/mitotic-specific cyclin-B1
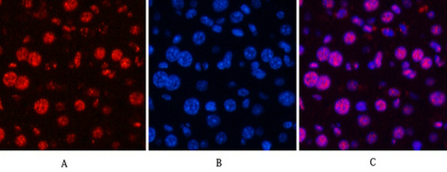
    应用: WB,IHC,IF
    反应种属: Human,Mouse,Rat
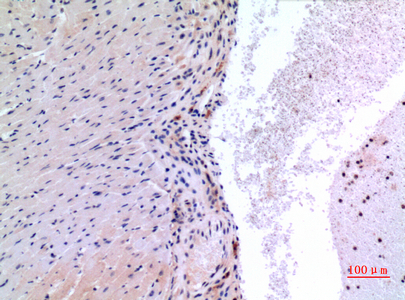
  • 分类: 科研抗体
    货号: P23539
    别名: Granzyme B; Cathepsin G-like 1; CTSGL1; Lymphocyte protease; Fragmentin-2; Granzyme-2; Human lymphocyte protein; SECT; GZMB; CGL1; CSPB; CTLA1; GRB
    应用: WB,IHC
    反应种属: Human,Mouse,Rat
  • 分类: 科研抗体
    货号: P23524
    别名: ACTC1; ACTC; Actin; alpha cardiac muscle 1; Alpha-cardiac actin; ACTA1; ACTA; Actin; alpha skeletal muscle; Alpha-actin-1; ACTA2; ACTSA; ACTVS; GIG46
    应用: WB,IHC
    反应种属: Human,Mouse,Rat
  • 分类: 科研抗体
    货号: P23557
    别名: CCNA1; Cyclin-A1
    应用: WB,IHC,IF
    反应种属: Human,Mouse,Rat,Monkey
  • 分类: 科研抗体
    货号: P23538
    别名: Angiopoietin-1 receptor; EC 2.7.10.1; Endothelial tyrosine kinase; Tunica interna endothelial cell kinase; Tyrosine kinase with Ig and EGF homology domains-2; Tyrosine-protein kinase receptor TEK; Tyrosine-protein kinase receptor TIE-2; hTIE2; p140 TEK; C
    应用: WB,IHC
    反应种属: Human,Mouse,Rat
联系我们
  • 电话:17771420241 18911818852
  • 联系人:刘经理
  • 地址:湖北省武汉市东湖新技术开发区高新大道666号光谷生物城C6栋C6403、C6404
微信公众号
版权所有 © 武汉博开生物科技有限公司  备案编号:鄂ICP备2024052832号-1鄂公网安备42018502007531号
17771420241 18911818852