-
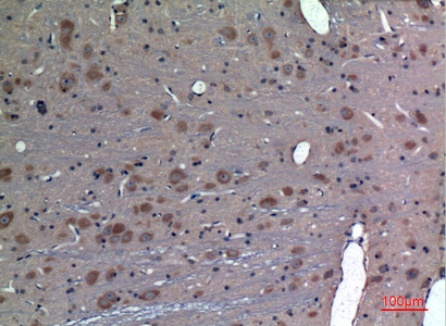
分类: 科研抗体货号: P23268别名: PREP; PEP; Prolyl endopeptidase; PE; Post-proline cleaving enzyme应用: WB,IHC反应种属: Human,Mouse,Rat
-
分类: 科研抗体货号: P23252别名: HLA-DQB1; HLA-DQB; HLA class II histocompatibility antigen; DQ beta 1 chain; MHC class II antigen DQB1; HLA-DQB2; HLA-DXB; HLA class II histocompatibility antigen; DQ beta 2 chainHLA class II histocompatibility antigen; DX beta chain; MHC class II antigen应用: WB,IHC反应种属: Human
-
分类: 科研抗体货号: P23285别名: GDF6; GDF16; Growth/differentiation factor 6; GDF-6; Growth/differentiation factor 16应用: WB反应种属: Human,Mouse,Rat
-
分类: 科研抗体货号: P23267别名: PAOX; PAO; Peroxisomal N(1)-acetyl-spermine/spermidine oxidase; Polyamine oxidase应用: WB,IHC反应种属: Human
-
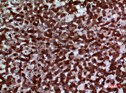
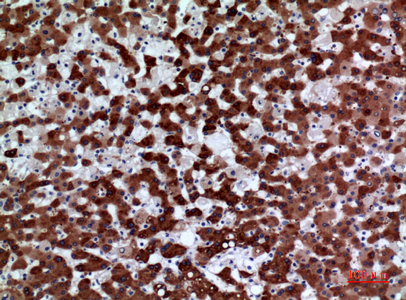
分类: 科研抗体货号: P23251别名: FMO3; Dimethylaniline monooxygenase [N-oxide-forming] 3; Dimethylaniline oxidase 3; FMO II; FMO form 2; Hepatic flavin-containing monooxygenase 3; FMO 3; Trimethylamine monooxygenase应用: WB,IHC反应种属: Human
-
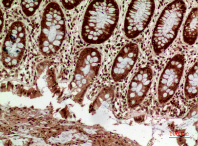
分类: 科研抗体货号: P23284别名: MRC1; CLEC13D; CLEC13DL; MRC1L1; Macrophage mannose receptor 1; MMR; C-type lectin domain family 13 member D; C-type lectin domain family 13 member D-like; Macrophage mannose receptor 1-like protein 1; CD antigen CD206应用: WB,IHC反应种属: Human
-
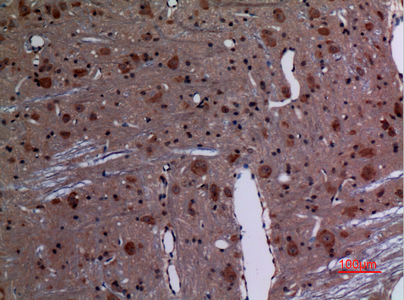
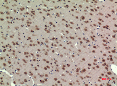
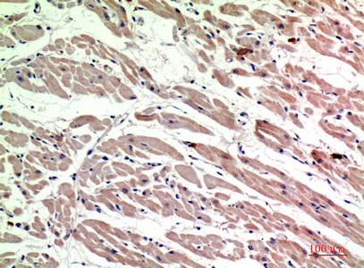
分类: 科研抗体货号: P23266别名: RAB26; Ras-related protein Rab-26应用: WB,IHC反应种属: Human,Mouse,Rat
-
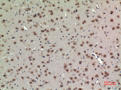
分类: 科研抗体货号: P23250别名: ARNTL; BHLHE5; BMAL1; MOP3; PASD3; Aryl hydrocarbon receptor nuclear translocator-like protein 1; Basic-helix-loop-helix-PAS protein MOP3; Brain and muscle ARNT-like 1Class E basic helix-loop-helix protein 5; bHLHe5; Member of PAS protein 3; PAS domain-co应用: WB,IHC反应种属: Human,Mouse,Rat
-
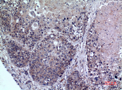
分类: 科研抗体货号: P23265别名: PPP2CA; Serine/threonine-protein phosphatase 2A catalytic subunit alpha isoform; PP2A-alpha; Replication protein C; RP-C应用: WB,IHC,IF反应种属: Human,Mouse,Rat
-
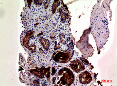
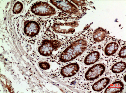
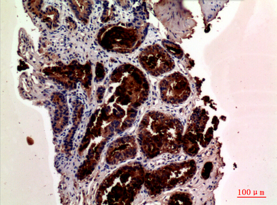
分类: 科研抗体货号: P23283别名: KLK3; APS; Prostate-specific antigen; PSA; Gamma-seminoprotein; Seminin; Kallikrein-3; P-30 antigen; Semenogelase应用: WB,IHC反应种属: Human
鄂公网安备42018502007531号

