-
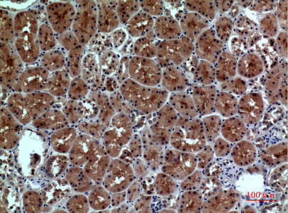
分类: 科研抗体货号: P23260别名: CMTM8; CKLFSF8; CKLF-like MARVEL transmembrane domain-containing protein 8; Chemokine-like factor superfamily member 8应用: WB,IHC反应种属: Human
-
分类: 科研抗体货号: P23259别名: ACER2; ASAH3L; PP11646; Alkaline ceramidase 2; AlkCDase 2; Alkaline CDase 2; haCER2; Acylsphingosine deacylase 3-like; N-acylsphingosine amidohydrolase 3-like应用: WB,IHC反应种属: Human,Mouse
-
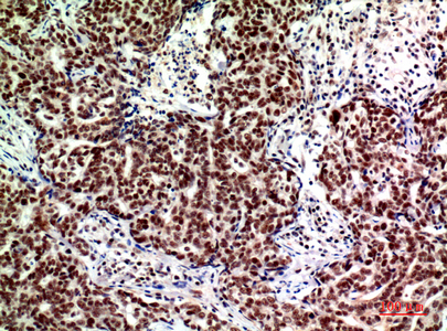
分类: 科研抗体货号: P23277别名: NRP1; NRP; VEGF165R; Neuropilin-1; Vascular endothelial cell growth factor 165 receptor; CD antigen CD304应用: WB,IHC反应种属: Human,Mouse,Rat
-
分类: 科研抗体货号: P23258别名: TNFSF4; TXGP1; Tumor necrosis factor ligand superfamily member 4; Glycoprotein Gp34; OX40 ligand; OX40L; TAX transcriptionally-activated glycoprotein 1; CD antigen CD252应用: WB,IHC反应种属: Human
-
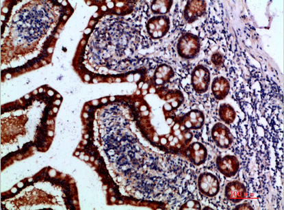
分类: 科研抗体货号: P23264别名: Eyes absent homolog 1; Eyes absent homolog 4应用: IHC反应种属: Human,Mouse
-
分类: 科研抗体货号: P23276别名: PTGDR2; CRTH2; DL1R; GPR44; Prostaglandin D2 receptor 2; Chemoattractant receptor-homologous molecule expressed on Th2 cells; G-protein coupled receptor 44; CD294应用: WB,IHC反应种属: Human,Mouse
-
分类: 科研抗体货号: P23257别名: SELP; GMRP; GRMP; P-selectin; CD62 antigen-like family member P; Granule membrane protein 140; GMP-140; Leukocyte-endothelial cell adhesion molecule 3; LECAM3; Platelet activation dependent granule-external membrane protein; PADGEM; CD62P应用: WB,IHC反应种属: Human,Mouse,Rat
-
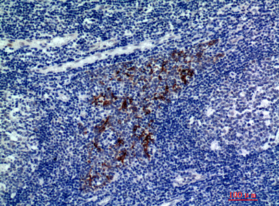
分类: 科研抗体货号: P23263别名: IL-37; interleukin 37; FIL1; FIL1Z; IL-1H; IL1F7; IL1H4; IL-1F7; IL-1H4; IL1RP1; IL-1RP1; FIL1(ZETA)应用: IHC反应种属: Human
-
分类: 科研抗体货号: P23275别名: CXCR2; IL8RB; C-X-C chemokine receptor type 2; CXC-R2; CXCR-2; CDw128b; GRO/MGSA receptor; High affinity interleukin-8 receptor B; IL-8R B; IL-8 receptor type 2; CD antigen CD182应用: WB,IHC反应种属: Human
-
分类: 科研抗体货号: P23256别名: PPP1R15B; Protein phosphatase 1 regulatory subunit 15B应用: WB,IHC反应种属: Human
鄂公网安备42018502007531号

