-
分类: 科研抗体货号: P23125别名: NANOG; Homeobox protein NANOG; Homeobox transcription factor Nanog; hNanog应用: WB反应种属: Human,Mouse
-
分类: 科研抗体货号: P23127别名: PAX5; Paired box protein Pax-5; B-cell-specific transcription factor; BSAP应用: WB反应种属: Human,Mouse
-
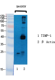
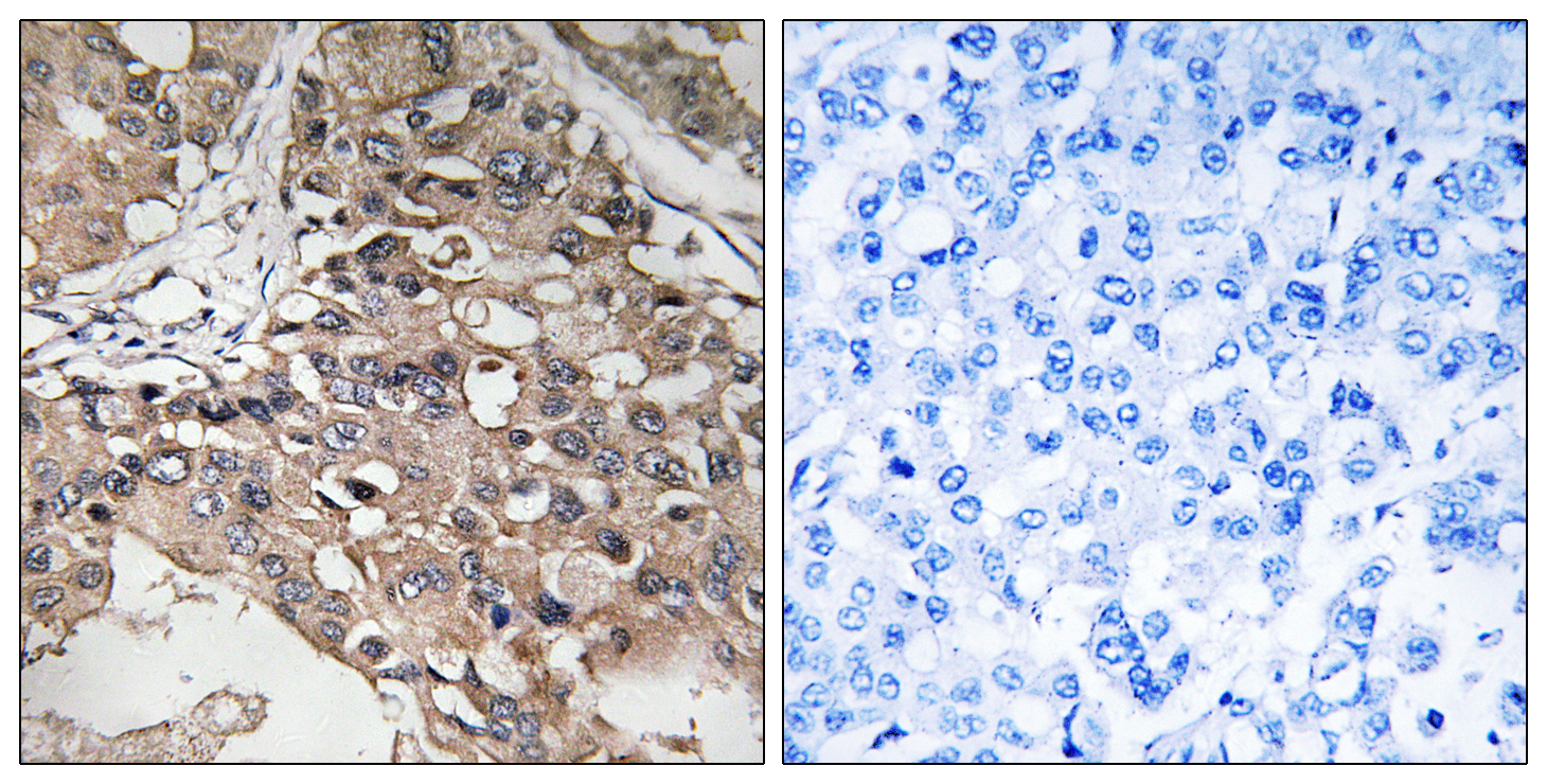
分类: 科研抗体货号: P23140别名: TIMP1; CLGI; TIMP; Metalloproteinase inhibitor 1; Erythroid-potentiating activity; EPA; Fibroblast collagenase inhibitor; Collagenase inhibitor; Tissue inhibitor of metalloproteinases 1; TIMP-1应用: WB,IHC,IF反应种属: Human,Mouse,Rat
-
分类: 科研抗体货号: P23123别名: HSPB1; HSP27; HSP28; Heat shock protein beta-1; HspB1; 28 kDa heat shock protein; Estrogen-regulated 24 kDa protein; Heat shock 27 kDa protein; HSP 27; Stress-responsive protein 27; SRP27应用: WB,IHC反应种属: Human
-
分类: 科研抗体货号: P23139别名: MAP3K7; TAK1; Mitogen-activated protein kinase kinase kinase 7; Transforming growth factor-beta-activated kinase 1; TGF-beta-activated kinase 1应用: WB,IHC,IF反应种属: Human,Mouse,Rat
-
分类: 科研抗体货号: P23121别名: CDC25C; M-phase inducer phosphatase 3; Dual specificity phosphatase Cdc25C应用: WB,IHC,IF反应种属: Human
-
分类: 科研抗体货号: P23138别名: SIRT1; SIR2L1; NAD-dependent protein deacetylase sirtuin-1; hSIRT1; Regulatory protein SIR2 homolog 1; SIR2-like protein 1; hSIR2应用: WB,IHC,IF反应种属: Human,Mouse
-
分类: 科研抗体货号: P23120别名: RPS6KA1; MAPKAPK1A; RSK1; Ribosomal protein S6 kinase alpha-1; S6K-alpha-1; 90 kDa ribosomal protein S6 kinase 1; p90-RSK 1; p90RSK1; p90S6K; MAP kinase-activated protein kinase 1a; MAPK-activated protein kinase 1a; MAPKAP kinase 1a; MAPKAP应用: WB,IF反应种属: Human,Mouse,Rat
-
分类: 科研抗体货号: P23137别名: FANCW; RNF201应用: WB,IHC反应种属: Human
-
分类: 科研抗体货号: P23119别名: Cas9; CRISPR-associated endonuclease Cas9/Csn1; CRISPR-Cas9/Csn1; csn1; SpyCas9应用: WB,IHC,IF,FCM反应种属: Streptococcus pyogenes
鄂公网安备42018502007531号

