产品中心
PRODUCT CENTER
首页 » 产品中心 » 抗体 »
  • 分类: 科研抗体
    货号: P23102
    别名: PBK; TOPK; Lymphokine-activated killer T-cell-originated protein kinase; Cancer/testis antigen 84; CT84; MAPKK-like protein kinase; Nori-3; PDZ-binding kinase; Spermatogenesis-related protein kinase; SPK; T-LAK cell-originated protein kinas
    应用: WB,IP
    反应种属: Human
  • 分类: 科研抗体
    货号: P23096
    别名: CKRL1; CMKBR8; CMKBRL2
    应用: WB,IF,FCM
    反应种属: Rat
  • 分类: 科研抗体
    货号: P23101
    别名: Lipin-1; Lpin1; PAP1
    应用: WB,IP,IHC,IF,FCM
    反应种属: Human
  • 分类: 科研抗体
    货号: P23110
    别名: TSC2; Tuberous sclerosis 2 homolog protein; Tuberous sclerosis 2 protein; Tuberin; TSC4
    应用: WB,IHC,FCM
    反应种属: Human,Mouse,Rat
  • 分类: 科研抗体
    货号: P23095
    别名: CDw156; CD156c; ADAM10; KUZ; MADM
    应用: WB,IP
    反应种属: Human
  • 分类: 科研抗体
    货号: P23100
    别名: BRCA2-interacting transcriptional repressor EMSY
    应用: WB,IP
    反应种属: Human,Rat
  • 分类: 科研抗体
    货号: P23094
    别名: STAT6; Signal transducer and activator of transcription 6; IL-4 Stat
    应用: WB,IP,IHC,IF,FCM
    反应种属: Mouse
  • 分类: 科研抗体
    货号: P23109
    别名: MBD3; Methyl-CpG-binding domain protein 3; Methyl-CpG-binding protein MBD3
    应用: WB,IP,IF,FCM
    反应种属: Human,Mouse,Rat
  • 分类: 科研抗体
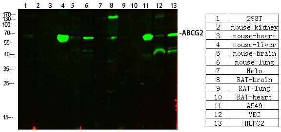
    货号: P23128
    别名: ABCG2; ABCP; BCRP; BCRP1; MXR; ATP-binding cassette sub-family G member 2; Breast cancer resistance protein; CDw338; Mitoxantrone resistance-associated protein; Placenta-specific ATP-binding cassette transporter; CD338
    应用: WB,IHC
    反应种属: Human
  • 分类: 科研抗体
    货号: P23108
    别名: Cadherin 17; Cdh17; HPT 1; LI-cadherin; Liver Cadherin; liver inTine cadherin
    应用: WB,IP,IHC
    反应种属: Human
联系我们
  • 电话:17771420241 18911818852
  • 联系人:刘经理
  • 地址:湖北省武汉市东湖新技术开发区高新大道666号光谷生物城C6栋C6403、C6404
微信公众号
版权所有 © 武汉博开生物科技有限公司  备案编号:鄂ICP备2024052832号-1鄂公网安备42018502007531号
17771420241 18911818852