-
分类: 科研抗体货号: P22857别名: Histone H2B type 1-H; Histone H2B.j; H2B/j; HIST1H2BH; H2BFJ应用: WB,IP,IHC,IF,FCM反应种属: Human,Mouse,Rat
-
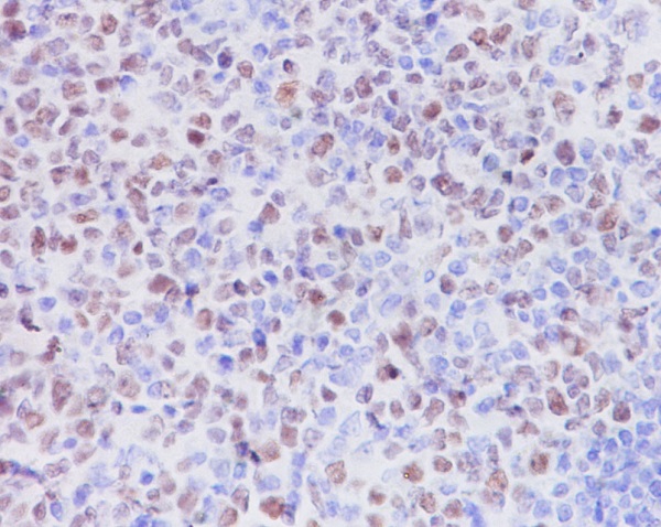
分类: 科研抗体货号: P22881别名: PRDX2; NKEFB; TDPX1; Peroxiredoxin-2; Natural killer cell-enhancing factor B; NKEF-B; PRP; Thiol-specific antioxidant protein; TSA; Thioredoxin peroxidase 1; Thioredoxin-dependent peroxide reductase 1应用: WB,IHC,IF,FCM反应种属: Human,Mouse,Rat
-
分类: 科研抗体货号: P22871别名: gp140trk; GP145-TrkB; GP145-TrkC; MTC; NTRK1; NTRK2; NTRK3; p140-TrkA; TRKA; TRKB; TrkB tyrosine kinase; TRKC应用: WB,IHC,IF反应种属: Human,Mouse,Rat
-
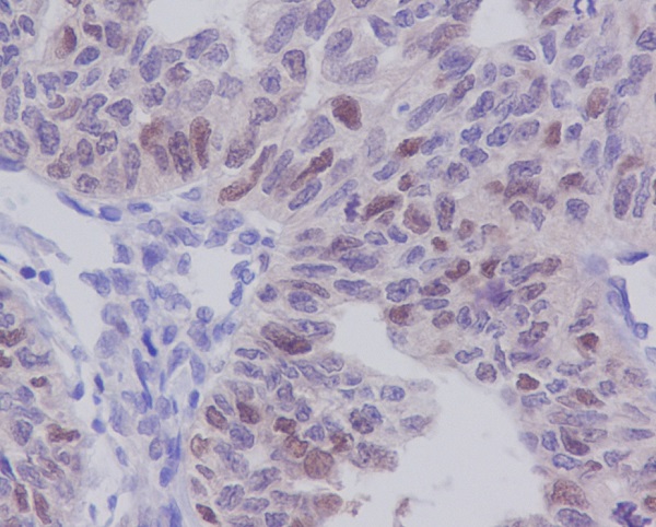
分类: 科研抗体货号: P22880别名: WVS; ENX1; KMT6; WVS2; ENX-1; EZH2b; KMT6A; EZH2应用: WB,IHC,IF,FCM反应种属: Human,Mouse,Rat
-
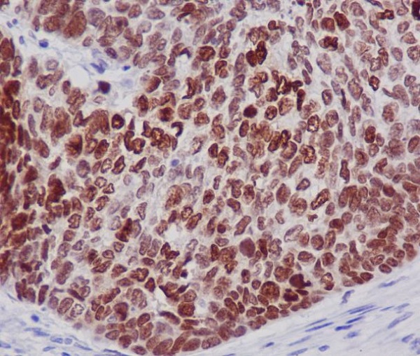
分类: 科研抗体货号: P22885别名: E2F1; RBBP3; Transcription factor E2F1; E2F-1; PBR3; Retinoblastoma-associated protein 1; RBAP-1; Retinoblastoma-binding protein 3; RBBP-3; pRB-binding protein E2F-1应用: WB,IP,IHC,IF,FCM反应种属: Human,Mouse,Rat
-
分类: 科研抗体货号: P22869别名: YWHAQ; 14-3-3 protein theta; 14-3-3 protein T-cell; 14-3-3 protein tau; Protein HS1应用: WB,IF,FCM反应种属: Human,Mouse,Rat
-
分类: 科研抗体货号: P22879别名: ITGA5; FNRA; Integrin alpha-5; CD49 antigen-like family member E; Fibronectin receptor subunit alpha; Integrin alpha-F; VLA-5; CD49e应用: WB,IP,IHC,IF,FCM反应种属: Human,Mouse,Rat
-
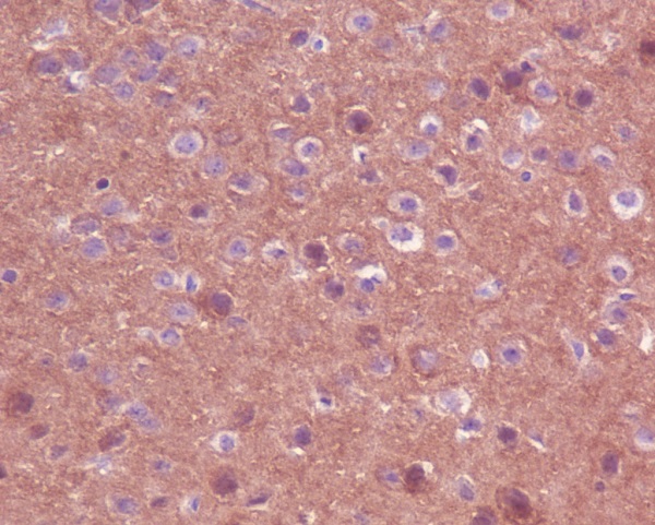
分类: 科研抗体货号: P22884别名: GRM2; GPRC1B; MGLUR2; Metabotropic glutamate receptor 2; mGluR2; GRM3; GPRC1C; MGLUR3; Metabotropic glutamate receptor 3; mGluR3应用: WB,IHC,IF反应种属: Human,Mouse,Rat
-
分类: 科研抗体货号: P22893别名: NEDD8; NEDD8; Neddylin; Neural precursor cell expressed developmentally down-regulated protein 8; NEDD-8; Ubiquitin-like protein Nedd8应用: WB,IP,IHC,IF反应种属: Human,Mouse,Rat
-
分类: 科研抗体货号: P22878别名: HMP; P87; P89; PIG4; Mic60; PIG52; MINOS2; P87/89应用: WB,IHC,IF,FCM反应种属: Human
鄂公网安备42018502007531号

