-
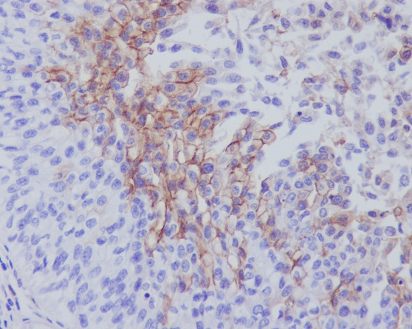
分类: 科研抗体货号: P22788别名: PTK2; FAK; FAK1; Focal adhesion kinase 1; FADK 1; Focal adhesion kinase-related nonkinase; FRNK; Protein phosphatase 1 regulatory subunit 71; PPP1R71; Protein-tyrosine kinase 2; p125FAK; pp125FAK应用: WB,IP,IHC,IF,FCM反应种属: Human,Mouse,Rat
-
分类: 科研抗体货号: P22771别名: NBN; NBS; NBS1; P95; Nibrin; Cell cycle regulatory protein p95; Nijmegen breakage syndrome protein 1应用: WB,IP,IHC,IF,FCM反应种属: Human,Mouse,Rat
-
分类: 科研抗体货号: P22782别名: TSPO; BZRP; MBR; Translocator protein; Mitochondrial benzodiazepine receptor; PKBS; Peripheral-type benzodiazepine receptor; PBR应用: WB,IP,IHC,IF,FCM反应种属: Human,Mouse
-
分类: 科研抗体货号: P22787别名: IFNAR1; IFNAR; Interferon alpha/beta receptor 1; IFN-R-1; IFN-alpha/beta receptor 1; Cytokine receptor class-II member 1; Cytokine receptor family 2 member 1; CRF2-1; Type I interferon receptor 1应用: WB,IP,FCM反应种属: Human
-
分类: 科研抗体货号: P22770别名: ACADM; Medium-chain specific acyl-CoA dehydrogenase; mitochondrial; MCAD应用: WB,IP,IHC,IF反应种属: Human,Mouse,Rat
-
分类: 科研抗体货号: P22781别名: TUBG1; TUBG; Tubulin gamma-1 chain; Gamma-1-tubulin; Gamma-tubulin complex component 1; GCP-1应用: WB,IP,IHC,IF,FCM反应种属: Human,Mouse,Rat,Monkey,Chicken,Hamster,Cow,Dog,Fish,Xenopus,Tropicalis
-
分类: 科研抗体货号: P22786别名: STMN1; C1orf215; LAP18; OP18; Stathmin; Leukemia-associated phosphoprotein p18; Metablastin; Oncoprotein 18; Op18; Phosphoprotein p19; pp19; Prosolin; Protein Pr22; pp17应用: WB,IP,IHC,IF,FCM反应种属: Human,Mouse,Rat
-
分类: 科研抗体货号: P22769别名: CD141; Fetomodulin; THBD; THRM; thrombomodulin; TM应用: WB,IP,IHC,IF反应种属: Human
-
分类: 科研抗体货号: P22780别名: PRKCB; PKCB; PRKCB1; Protein kinase C beta type; PKC-B; PKC-beta应用: WB,IP,IHC,IF,FCM反应种属: Human,Mouse,Rat
-
分类: 科研抗体货号: P22785别名: IGG4; Ig gamma 4 chain C region应用: WB,IHC反应种属: Human
鄂公网安备42018502007531号

