-
分类: 科研抗体货号: P22652别名: MCL1; BCL2L3; Induced myeloid leukemia cell differentiation protein Mcl-1; Bcl-2-like protein 3; Bcl2-L-3; Bcl-2-related protein EAT/mcl1; mcl1/EAT应用: WB,IP,IF反应种属: Human,Rat
-
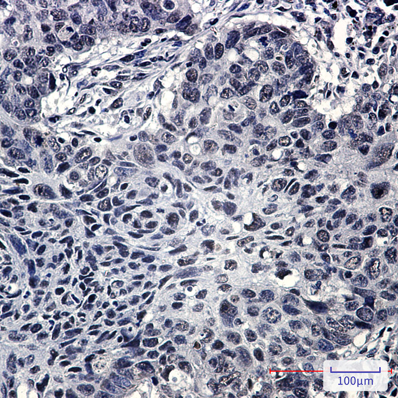
分类: 科研抗体货号: P22669别名: BCL2; Apoptosis regulator Bcl-2应用: WB,IP,IHC反应种属: Human
-
分类: 科研抗体货号: P22688别名: CDH2; CDHN; NCAD; Cadherin-2; CDw325; Neural cadherin; N-cadherin; CD antigen CD325应用: WB,IP反应种属: Human,Mouse,Rat
-
分类: 科研抗体货号: P22668别名: SRSF3; SFRS3; SRP20; Serine/arginine-rich splicing factor 3; Pre-mRNA-splicing factor SRP20; Splicing factor; arginine/serine-rich 3应用: WB,IHC反应种属: Human,Mouse,Rat
-
分类: 科研抗体货号: P22687别名: CCNB1; CCNB; G2/mitotic-specific cyclin-B1应用: WB,IF反应种属: Human
-
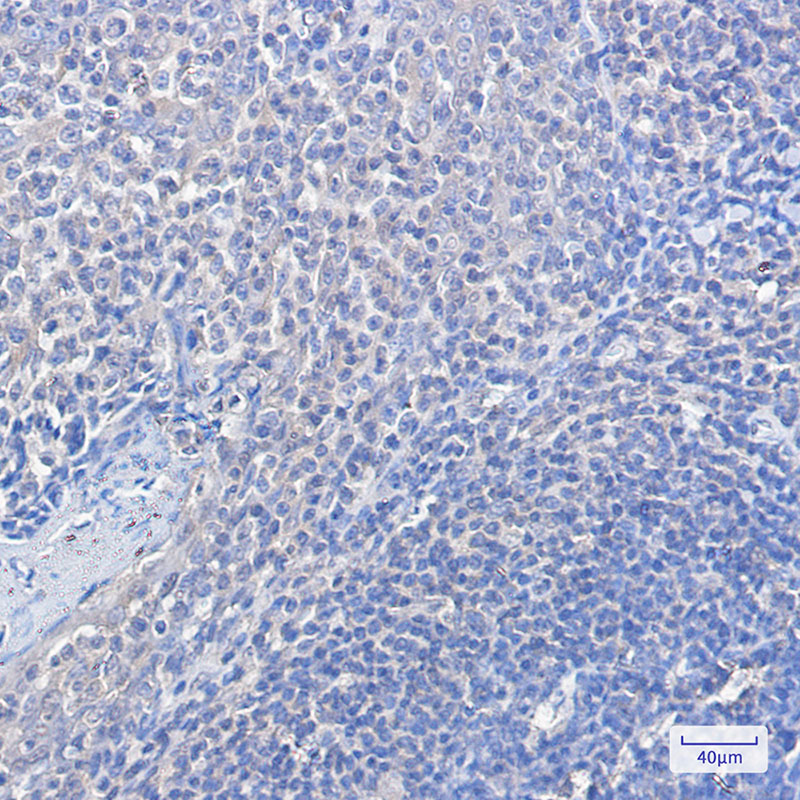
分类: 科研抗体货号: P22700别名: E2F1; RBBP3; Transcription factor E2F1; E2F-1; PBR3; Retinoblastoma-associated protein 1; RBAP-1; Retinoblastoma-binding protein 3; RBBP-3; pRB-binding protein E2F-1应用: WB,IP,IHC,IF反应种属: Human,Mouse,Rat
-
分类: 科研抗体货号: P22686别名: FOXO1; FKHR; FOXO1A; Forkhead box protein O1; Forkhead box protein O1A; Forkhead in rhabdomyosarcoma应用: WB,IHC,IF反应种属: Human
-
分类: 科研抗体货号: P22699别名: CCN2; NOV2; HCS24; IGFBP8应用: WB,IP反应种属: Human,Rat
-
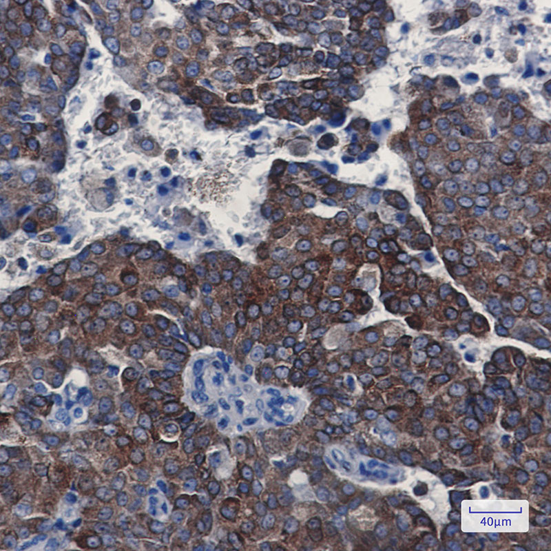
分类: 科研抗体货号: P22683别名: CYCS; CYC; Cytochrome c应用: WB,IP,IHC反应种属: Human,Mouse,Rat
-
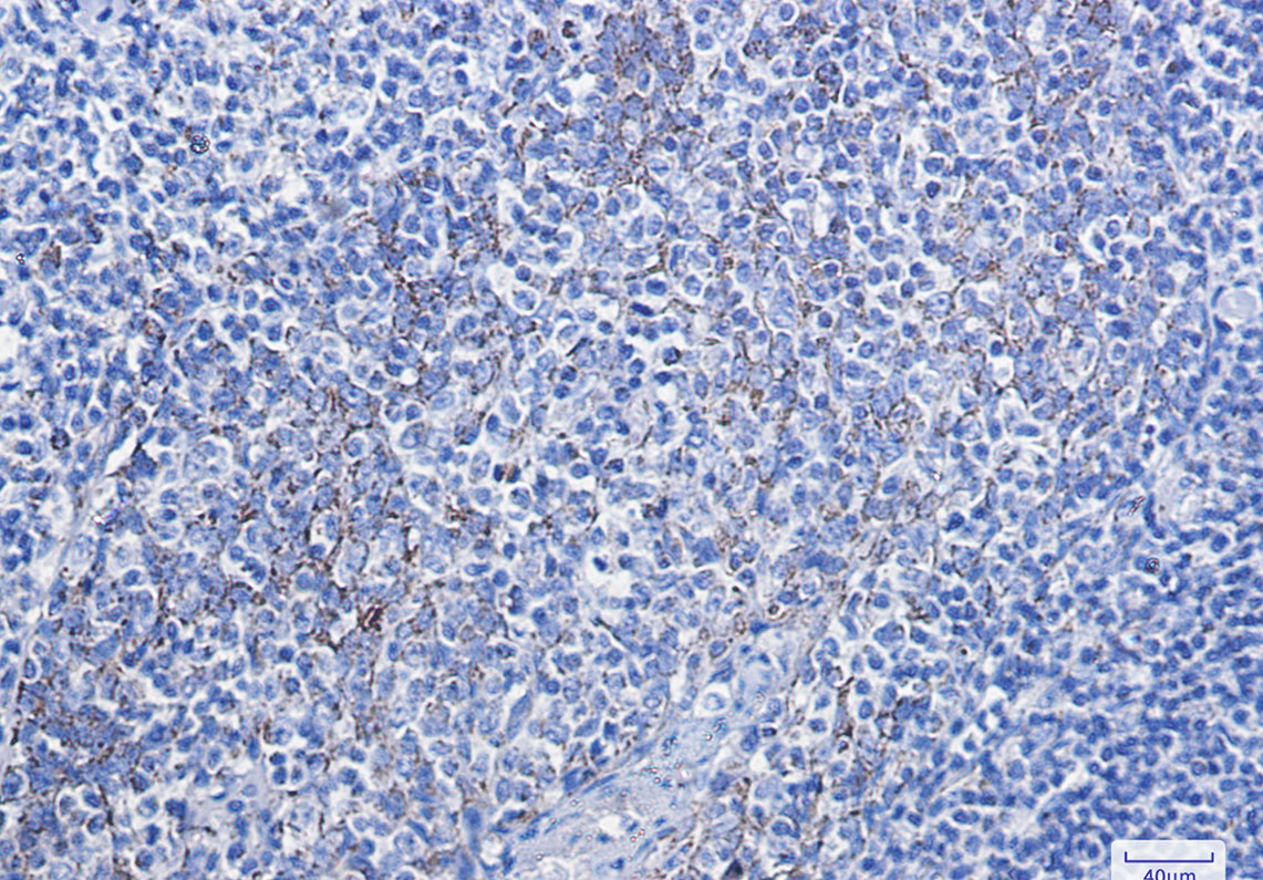
分类: 科研抗体货号: P22696别名: CD81; TAPA1; TSPAN28; CD81 antigen; 26 kDa cell surface protein TAPA-1; Target of the antiproliferative antibody 1; Tetraspanin-28; Tspan-28; CD81应用: WB,IHC,IF反应种属: Human,Mouse
鄂公网安备42018502007531号

