-
分类: 科研抗体货号: P22445别名: MTK1; MEKK4; MEKK 4; MAPKKK4; PRO0412应用: WB,IHC,IF反应种属: Human
-
分类: 科研抗体货号: P22444别名: Microtubule-associated proteins 1A/1B light chain 3A; Autophagy-related protein LC3 A; Autophagy-related ubiquitin-like modifier LC3 A; MAP1 light chain 3-like protein 1; MAP1A/MAP1B light chain 3 A; MAP1A/MAP1B LC3 A; Microtubule-associated protein 1 lig应用: WB,IP反应种属: Human,Mouse,Rat
-
分类: 科研抗体货号: P22459别名: MAPKAPK3; MAP kinase-activated protein kinase 3; MAPK-activated protein kinase 3; MAPKAP kinase 3; MAPKAP-K3; MAPKAPK-3; MK-3; Chromosome 3p kinase; 3pK应用: WB,IP反应种属: Human
-
分类: 科研抗体货号: P22442别名: MTDH; AEG1; LYRIC; Protein LYRIC; 3D3/LYRIC; Astrocyte elevated gene-1 protein; AEG-1; Lysine-rich CEACAM1 co-isolated protein; Metadherin; Metastasis adhesion protein应用: WB,IHC,IF反应种属: Human,Mouse,Rat,Hamster
-
分类: 科研抗体货号: P22458别名: MAPKAPK2; MAP kinase-activated protein kinase 2; MAPK-activated protein kinase 2; MAPKAP kinase 2; MAPKAP-K2; MAPKAPK-2; MK-2; MK2应用: WB,IP反应种属: Human,Mouse,Rat
-
分类: 科研抗体货号: P22441别名: MTDH; AEG1; LYRIC; Protein LYRIC; 3D3/LYRIC; Astrocyte elevated gene-1 protein; AEG-1; Lysine-rich CEACAM1 co-isolated protein; Metadherin; Metastasis adhesion protein应用: WB,IP,IHC,IF反应种属: Human
-
分类: 科研抗体货号: P22457别名: HR2; mKIAA4032; D3Ertd265e; 2310002F04Rik; 6330416C07Rik应用: WB,IP反应种属: Mouse,Rat,Hamster
-
分类: 科研抗体货号: P22440别名: TYK1应用: WB,IHC反应种属: Human,Rat
-
分类: 科研抗体货号: P22456别名: Methylated-DNA--protein-cysteine methyltransferase应用: WB,IP反应种属: Human
-
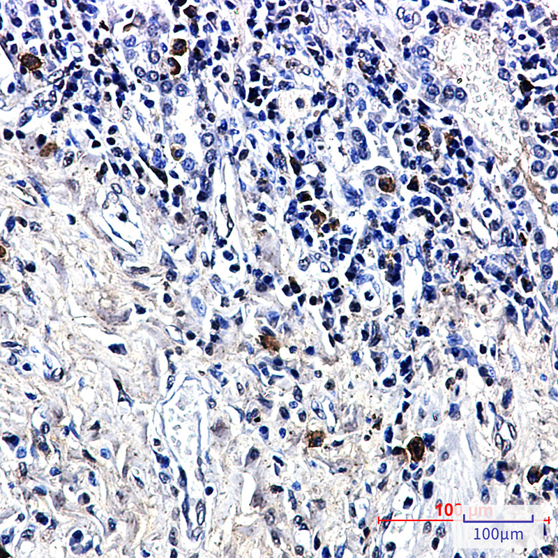
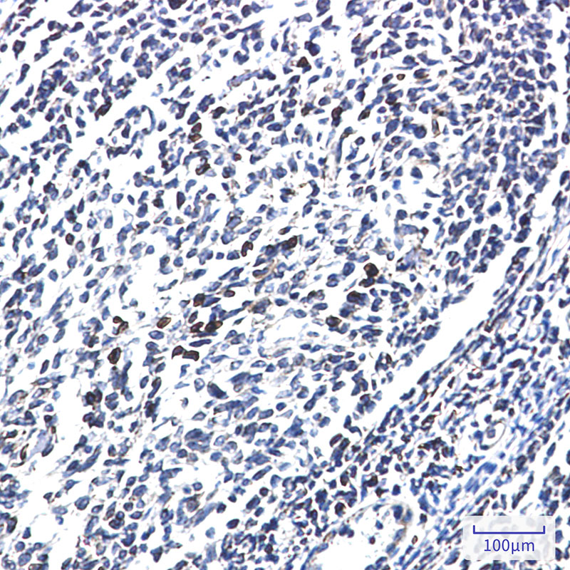
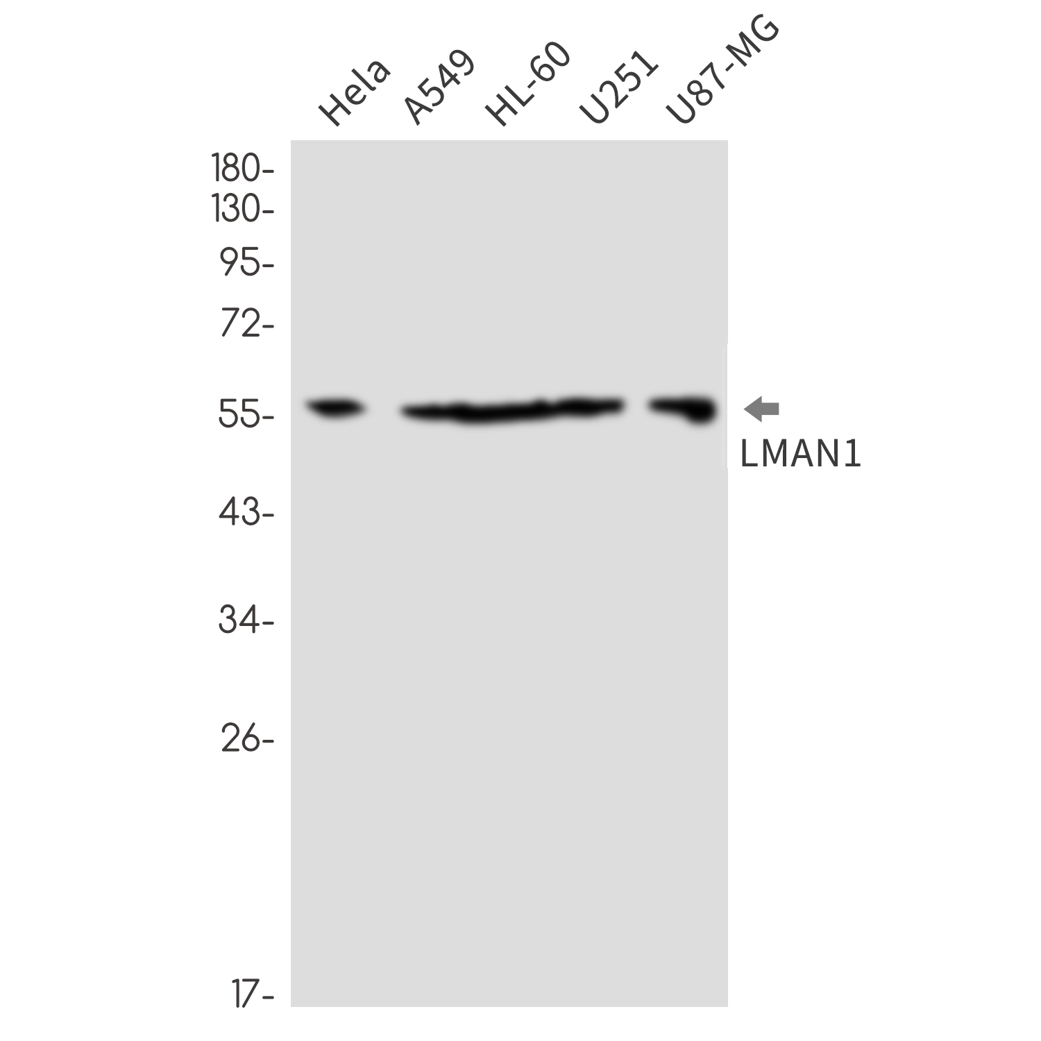
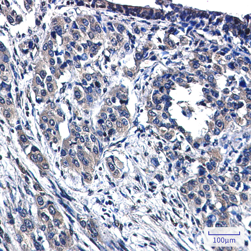
分类: 科研抗体货号: P22439别名: ERGIC5; F5F8D; FMFD1; Gp58; Lman1; MCFD1; MR60应用: WB,IHC反应种属: Human
鄂公网安备42018502007531号

