-
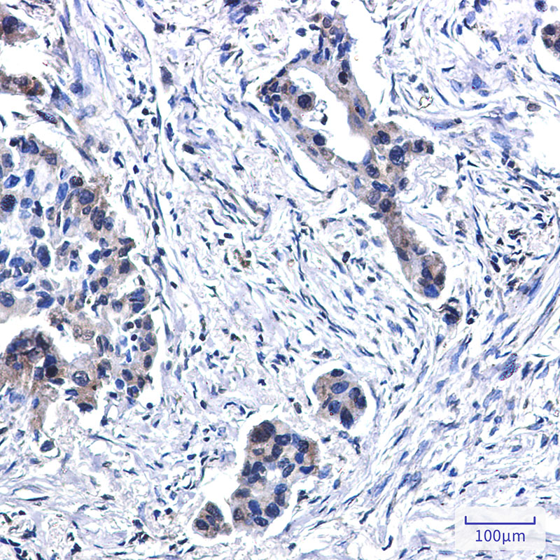
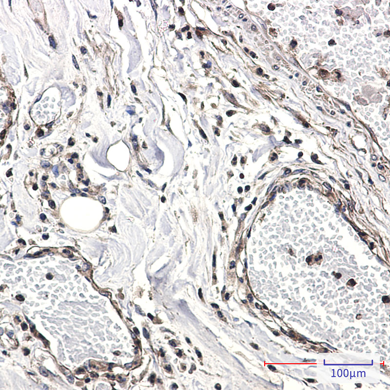
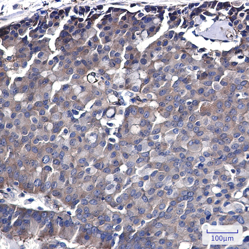
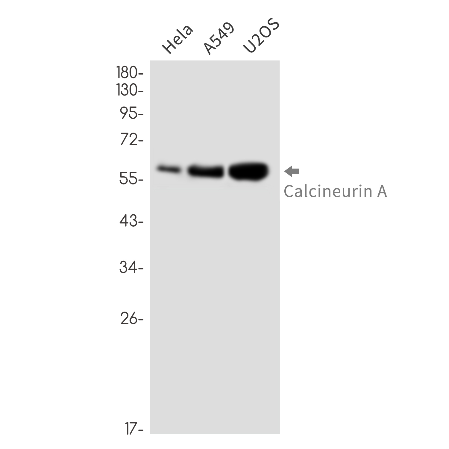
分类: 科研抗体货号: P22281别名: PPP3CA; CALNA; CNA; Serine/threonine-protein phosphatase 2B catalytic subunit alpha isoform; CAM-PRP catalytic subunit; Calmodulin-dependent calcineurin A subunit alpha isoform应用: WB,IP反应种属: Human,Mouse,Rat
-
分类: 科研抗体货号: P22280别名: T2-cadherin; CDH10应用: WB反应种属: Human,Mouse,Rat
-
分类: 科研抗体货号: P22300别名: TAK; C-2k; CTK1; CDC2L4; PITALRE应用: WB,IP,IF反应种属: Human
-
分类: 科研抗体货号: P22279别名: MO25; CGI-66应用: WB,IP,IHC反应种属: Human,Mouse,Rat
-
分类: 科研抗体货号: P22317别名: CSNK2A1; CK2A1; Casein kinase II subunit alpha; CK II alpha应用: WB反应种属: Human,Mouse,Rat
-
分类: 科研抗体货号: P22299别名: CDC37; CDC37A; Hsp90 co-chaperone Cdc37; Hsp90 chaperone protein kinase-targeting subunit; p50Cdc37应用: WB,IP,IHC反应种属: Human
-
分类: 科研抗体货号: P22278别名: BUB1B; BUBR1; MAD3L; SSK1; Mitotic checkpoint serine/threonine-protein kinase BUB1 beta; MAD3/BUB1-related protein kinase; hBUBR1; Mitotic checkpoint kinase MAD3L; Protein SSK1应用: WB,IP,IHC反应种属: Human,Hamster
-
分类: 科研抗体货号: P22316别名: UNR; D1S155E应用: WB,IP反应种属: Human
-
分类: 科研抗体货号: P22297别名: CDC34; UBCH3; UBE2R1; Ubiquitin-conjugating enzyme E2 R1; Ubiquitin-conjugating enzyme E2-32 kDa complementing; Ubiquitin-conjugating enzyme E2-CDC34; Ubiquitin-protein ligase R1应用: WB,IP反应种属: Human,Mouse,Rat
-
分类: 科研抗体货号: P22277别名: BUB1B; BUBR1; MAD3L; SSK1; Mitotic checkpoint serine/threonine-protein kinase BUB1 beta; MAD3/BUB1-related protein kinase; hBUBR1; Mitotic checkpoint kinase MAD3L; Protein SSK1应用: WB,IP,IF反应种属: Human
鄂公网安备42018502007531号

