-
分类: 科研抗体货号: P22252别名: AMPKG应用: WB,IP,IF反应种属: Human
-
分类: 科研抗体货号: P22236别名: YWHAB; 14-3-3 protein beta/alpha; Protein 1054; Protein kinase C inhibitor protein 1; KCIP-1应用: WB,IP,IHC反应种属: Human,Mouse,Rat
-
分类: 科研抗体货号: P22250别名: SERPINA1; AAT; PI; Alpha-1-antitrypsin; Alpha-1 protease inhibitor; Alpha-1-antiproteinase; Serpin A1应用: WB,IP反应种属: Human
-
分类: 科研抗体货号: P22265别名: UCHL2; hucep-6; HUCEP-13应用: WB反应种属: Human
-
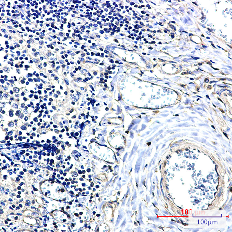
分类: 科研抗体货号: P22249别名: AKAP8; AKAP95; A-kinase anchor protein 8; AKAP-8; A-kinase anchor protein 95 kDa; AKAP 95应用: WB,IHC,IF反应种属: Human,Mouse,Rat
-
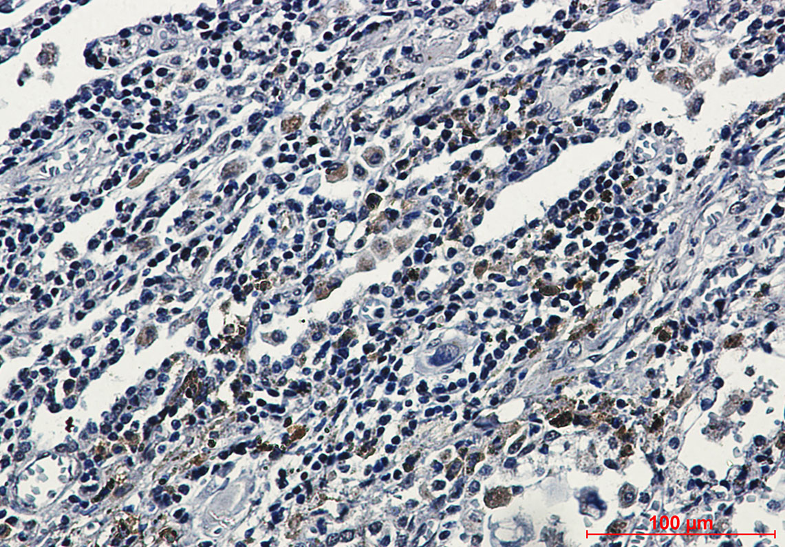
分类: 科研抗体货号: P22264别名: HO68; VA68; VPP2; Vma1; ARCL2D; ATP6A1; IECEE3; ATP6V1A1应用: WB,IP,IHC反应种属: Human,Mouse,Rat
-
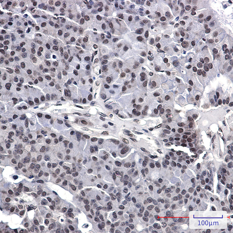
分类: 科研抗体货号: P22248别名: AK3; AK 4; AK3L1; AK3L2应用: WB,IP,IHC,IF反应种属: Human
-
分类: 科研抗体货号: P22263别名: autophagy related 10; APG10; APG10L; pp12616应用: WB,IP反应种属: Human
-
分类: 科研抗体货号: P22272别名: ABCG2; ABCP; BCRP; BCRP1; MXR; ATP-binding cassette sub-family G member 2; Breast cancer resistance protein; CDw338; Mitoxantrone resistance-associated protein; Placenta-specific ATP-binding cassette transporter; CD338应用: WB反应种属: Human
-
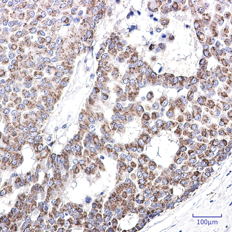
分类: 科研抗体货号: P22262别名: activating transcription factor 6; ATF6A应用: WB,IP,IHC反应种属: Human
鄂公网安备42018502007531号

