-
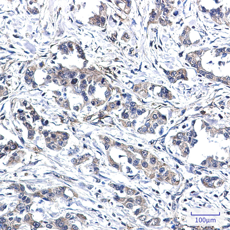
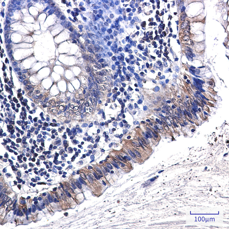
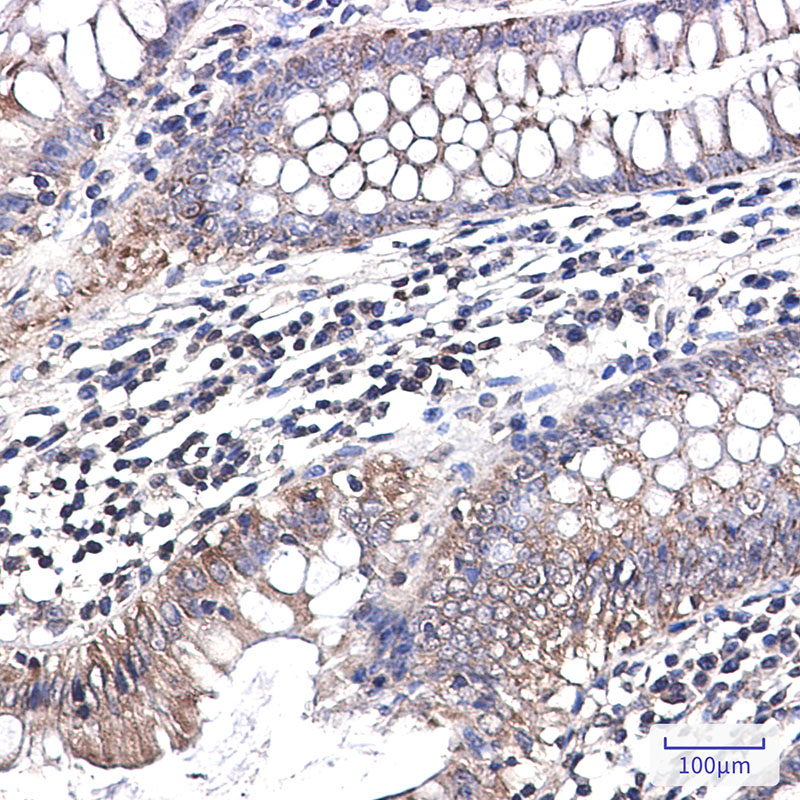
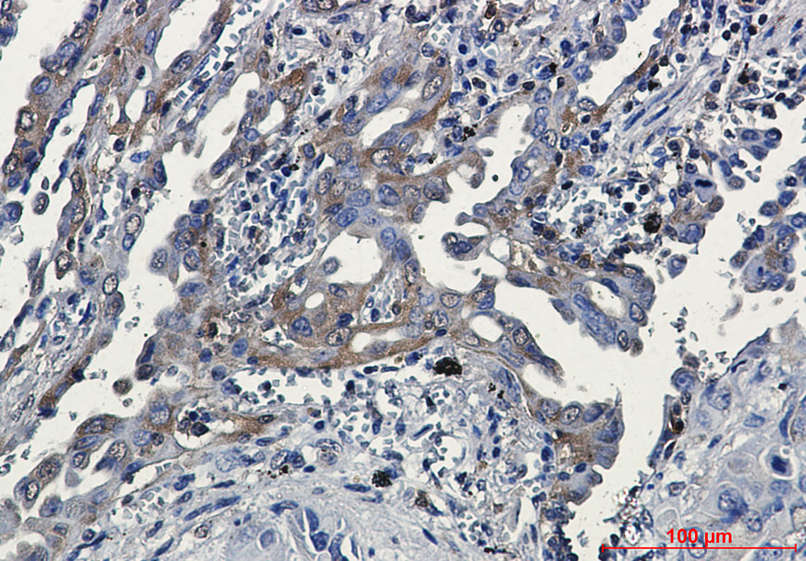
分类: 科研抗体货号: P22207别名: SPP1; BNSP; OPN; PSEC0156; Osteopontin; Bone sialoprotein 1; Nephropontin; Secreted phosphoprotein 1; SPP-1; Urinary stone protein; Uropontin应用: WB,IHC反应种属: Human,Rat,Hamster
-
分类: 科研抗体货号: P22191别名: Zinc finger protein 160; Zinc finger protein HZF5; Zinc finger protein Kr18应用: WB,IP反应种属: Human,Mouse,Rat
-
分类: 科研抗体货号: P22206别名: PAK1; Serine/threonine-protein kinase PAK 1; Alpha-PAK; p21-activated kinase 1; PAK-1; p65-PAK应用: WB,IP,IHC,IF反应种属: Human,Mouse,Rat,Hamster
-
分类: 科研抗体货号: P22216别名: OR17-7应用: WB,IP反应种属: Human,Mouse,Rat
-
分类: 科研抗体货号: P22205别名: RPS6KA2; MAPKAPK1C; RSK3; Ribosomal protein S6 kinase alpha-2; S6K-alpha-2; 90 kDa ribosomal protein S6 kinase 2; p90-RSK 2; p90RSK2; MAP kinase-activated protein kinase 1c; MAPK-activated protein kinase 1c; MAPKAP kinase 1c; MAPKAPK-1c; Ri应用: WB,IP,IHC,IF反应种属: Human,Hamster
-
分类: 科研抗体货号: P22215别名: RPF1; NEDD4-1应用: WB,IP反应种属: Human,Mouse,Rat
-
分类: 科研抗体货号: P22204别名: ERK 3; JTK5; JTK5A; Ryk; RYK1; Vik应用: WB,IP,IHC,IF反应种属: Human
-
分类: 科研抗体货号: P22213别名: MNLL; CI-MNLL; CI-SGDH应用: WB,IHC反应种属: Human
-
分类: 科研抗体货号: P22231别名: APR; ATL-derived; NOXA; Pmaip1; Protein Noxa应用: WB反应种属: Human
-
分类: 科研抗体货号: P22212别名: PIM1; Serine/threonine-protein kinase pim-1应用: WB,IHC反应种属: Human
鄂公网安备42018502007531号

