-
分类: 科研抗体货号: P22104别名: LUMA; ARVC5; ARVD5; EDMD7应用: WB,IHC反应种属: Human,Rat
-
分类: 科研抗体货号: P22086别名: TEAD1; TCF13; TEF1; Transcriptional enhancer factor TEF-1; NTEF-1; Protein GT-IIC; TEA domain family member 1; TEAD-1; Transcription factor 13; TCF-13应用: WB反应种属: Human,Rat,Hamster
-
分类: 科研抗体货号: P22103别名: CDC50B应用: WB反应种属: Human
-
分类: 科研抗体货号: P22085别名: DNA nucleotidylexotransferase; DNTT; TDT; Terminal addition enzyme; Terminal deoxynucleotidyltransferase; Terminal transferase应用: WB,IP反应种属: Human,Mouse
-
分类: 科研抗体货号: P22101别名: Transmembrane protein 192应用: WB反应种属: Human
-
分类: 科研抗体货号: P22083别名: ALS10; TDP-43应用: WB,IP,IHC,IF反应种属: Human,Mouse,Rat
-
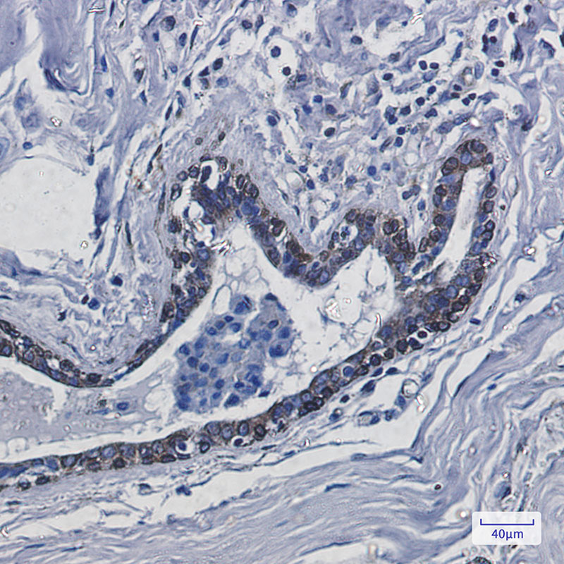
分类: 科研抗体货号: P22081别名: TCF7L2; HMG box transcription factor 4; HTCF-4; T-cell factor-4 variant X2; T-cell factor 4; Transcription factor 7-like 2; TCF-4应用: WB,IP,IHC反应种属: Human
-
分类: 科研抗体货号: P22100别名: ERIS; MITA; MPYS; SAVI; NET23; STING; hMITA; hSTING; STING-beta;Transmembrane Protein 173应用: WB,IHC反应种属: Human,Rat
-
分类: 科研抗体货号: P22080别名: SII; TCEA; TF2S; GTF2S; TFIIS应用: WB,IP,IHC,IF反应种属: Human,Rat
-
分类: 科研抗体货号: P22099别名: Transmembrane protein 161B应用: WB,IP反应种属: Human
鄂公网安备42018502007531号

