-
分类: 科研抗体货号: P21683别名: S31mt; IMOGN38; MRP-S31应用: WB反应种属: Rat
-
分类: 科研抗体货号: P21671别名: MAP3K11; MLK3; PTK1; SPRK; Mitogen-activated protein kinase kinase kinase 11; Mixed lineage kinase 3; Src-homology 3 domain-containing proline-rich kinase应用: WB,IF反应种属: Human
-
分类: 科研抗体货号: P21682别名: GI008; MRPS13; RPMS13; MRP-S13; MRP-S26; NY-BR-87; C20orf193; dJ534B8.3应用: WB,IF反应种属: Human
-
分类: 科研抗体货号: P21673别名: Macrophage metalloelastase; MME; 3.4.24.65; Macrophage elastase; ME; hME; Matrix metalloproteinase-12; MMP-12; MMP12; HME应用: WB,IP反应种属: Human,Rat,Hamster
-
分类: 科研抗体货号: P21669别名: MLD; DEGS; DES1; Des-1; FADS7; MIG15; DEGS-1应用: WB反应种属: Human
-
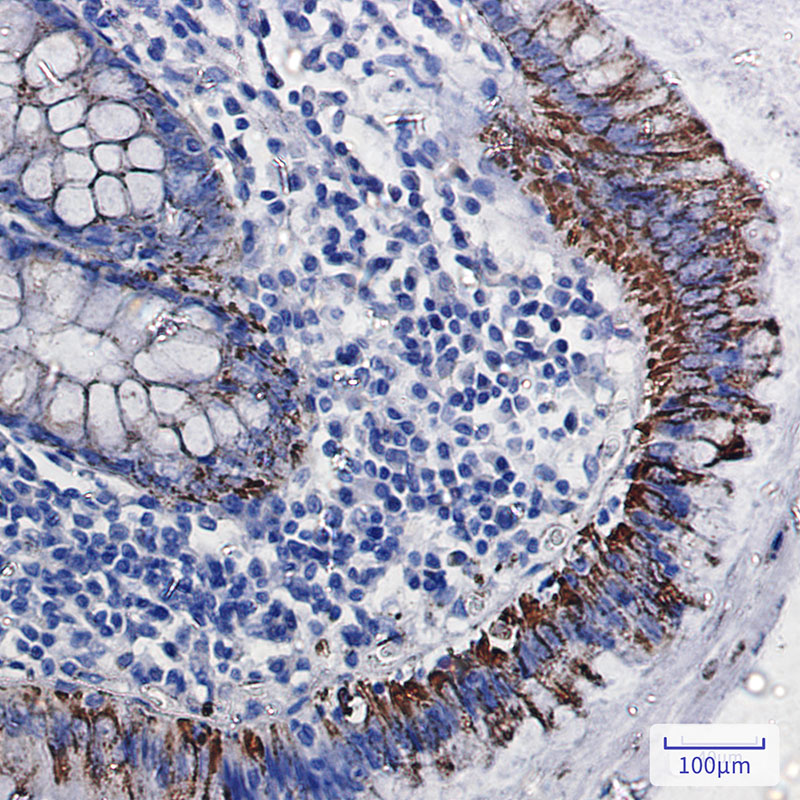
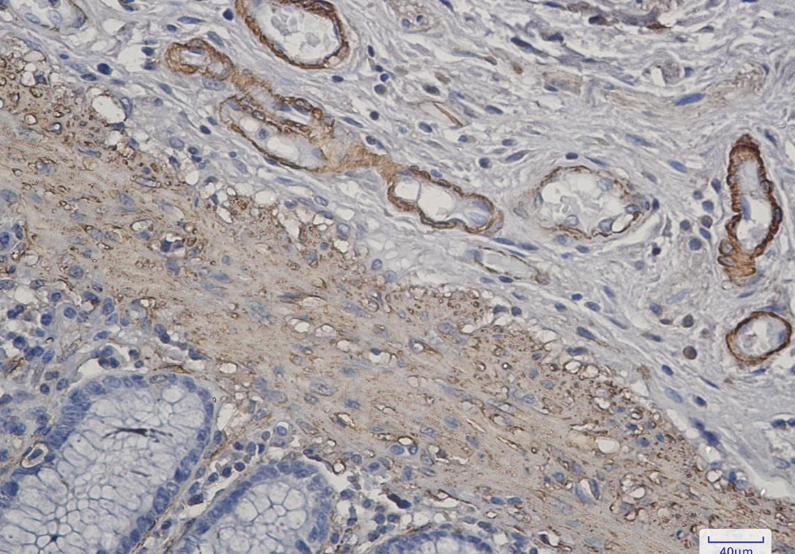
分类: 科研抗体货号: P21681别名: MRE11 homolog 1; Meiotic recombination 11 homolog A; MRE11 homolog A; MRE11A; HNGS1; MRE11应用: WB,IHC反应种属: Human,Mouse,Rat
-
分类: 科研抗体货号: P21672别名: MLKL应用: WB反应种属: Human
-
分类: 科研抗体货号: P21680别名: HHF7; MCT 1; MCT; Slc16a1应用: WB反应种属: Human
-
分类: 科研抗体货号: P21699别名: ACTA1; ACTA; Actin; alpha skeletal muscle; Alpha-actin-1应用: WB,IP,IHC,IF反应种属: Human,Rat
-
分类: 科研抗体货号: P21679别名: MAOA; Amine oxidase [flavin-containing] A; Monoamine oxidase type A; MAO-A应用: WB,IHC反应种属: Human,Mouse,Rat
鄂公网安备42018502007531号

