-
分类: 科研抗体货号: P21551别名: IBP6应用: WB反应种属: Human
-
分类: 科研抗体货号: P21533别名: HSPD1; HSP60; 60 kDa heat shock protein; mitochondrial; 60 kDa chaperonin; Chaperonin 60; CPN60; Heat shock protein 60; HSP-60; Hsp60; HuCHA60; Mitochondrial matrix protein P1; P60 lymphocyte protein应用: WB,IP,IHC,IF反应种属: Mouse,Rat
-
分类: 科研抗体货号: P21511别名: RBMX; HNRPG; RBMXP1; RNA-binding motif protein; X chromosome; Glycoprotein p43; Heterogeneous nuclear ribonucleoprotein G; hnRNP G应用: WB,IHC,IF反应种属: Human
-
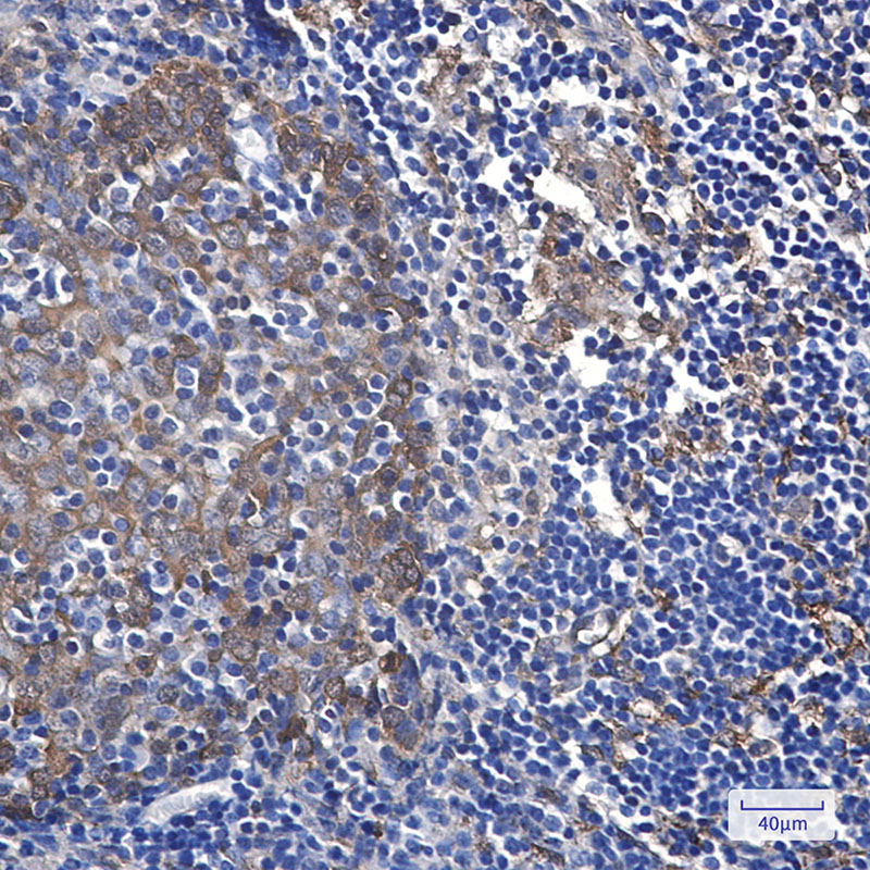
分类: 科研抗体货号: P21550别名: IGFBP2; BP2; IBP2; Insulin-like growth factor-binding protein 2; IBP-2; IGF-binding protein 2; IGFBP-2应用: WB,IP,IHC反应种属: Human
-
分类: 科研抗体货号: P21532别名: HSPD1; HSP60; 60 kDa heat shock protein; mitochondrial; 60 kDa chaperonin; Chaperonin 60; CPN60; Heat shock protein 60; HSP-60; Hsp60; HuCHA60; Mitochondrial matrix protein P1; P60 lymphocyte protein应用: WB,IHC反应种属: Human,Mouse,Rat
-
分类: 科研抗体货号: P21510别名: Hnf4; HNF-4; MODY1; Nr2a1; Tcf14; TCF-14; Hnf4alpha应用: WB,IP反应种属: Human,Mouse,Rat
-
分类: 科研抗体货号: P21549别名: IGFBP1; IBP1; Insulin-like growth factor-binding protein 1; IBP-1; IGF-binding protein 1; IGFBP-1; Placental protein 12; PP12应用: WB反应种属: Human
-
分类: 科研抗体货号: P21531别名: HSPB1; HSP27; HSP28; Heat shock protein beta-1; HspB1; 28 kDa heat shock protein; Estrogen-regulated 24 kDa protein; Heat shock 27 kDa protein; HSP 27; Stress-responsive protein 27; SRP27应用: WB,IP,IHC,IF反应种属: Human,Mouse
-
分类: 科研抗体货号: P21509别名: Hnf4; HNF-4; MODY1; Nr2a1; Tcf14; TCF-14; Hnf4alpha应用: WB,IHC,IF反应种属: Mouse
-
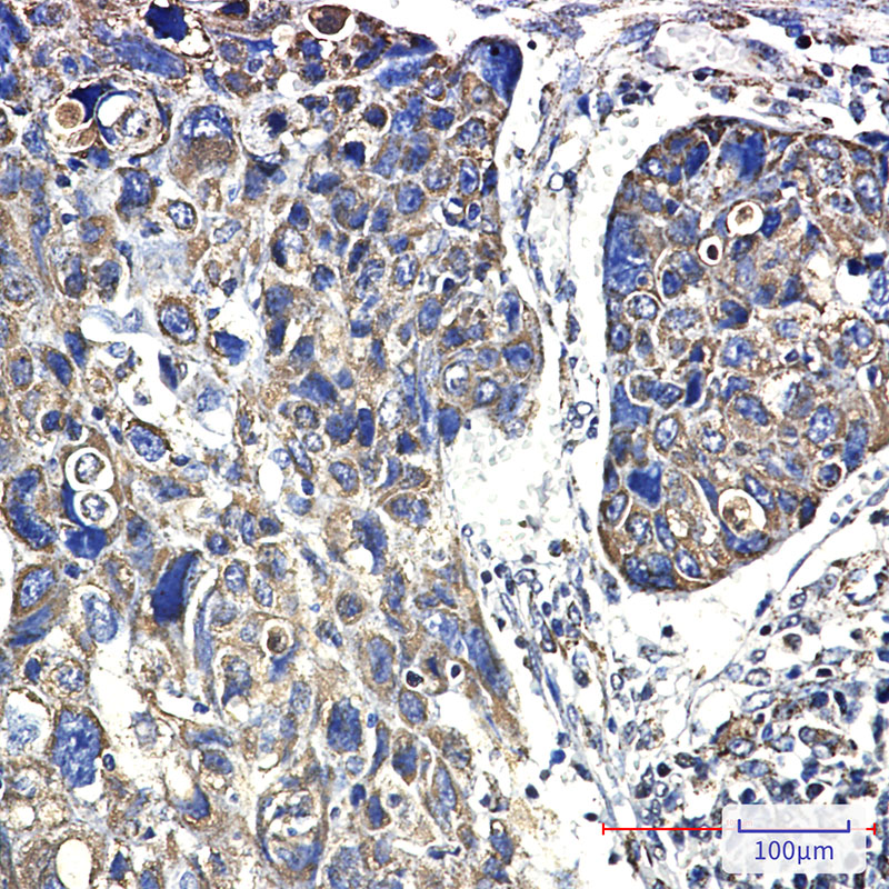
分类: 科研抗体货号: P21548别名: insulin-like growth factor 2 mRNA binding protein 1; IMP1; ZBP1; CRDBP; IMP-1; CRD-BP; VICKZ1应用: WB,IP,IHC反应种属: Human,Mouse
鄂公网安备42018502007531号

