-
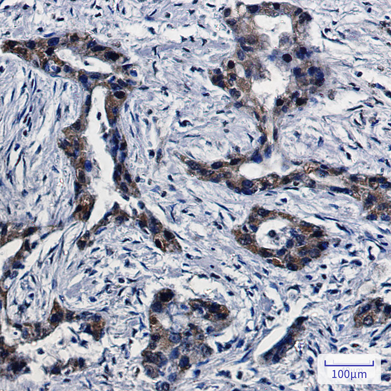
分类: 科研抗体货号: P21292别名: CK 7; CK-7; ck7; Cytokeratin 7; Cytokeratin-7; Cytokeratin7; D15Wsu77e; K2C7; K2C7_HUMAN; K7; Keratin 55k type ii cytoskeletal; Keratin 7; Keratin simple epithelial type 1 k7; Keratin type II cytoskeletal 7应用: WB,IP,IHC,IF反应种属: Human
-
分类: 科研抗体货号: P21317别名: BSF1; IL-4; BCGF1; BSF-1; BCGF-1应用: WB,IF反应种属: Human
-
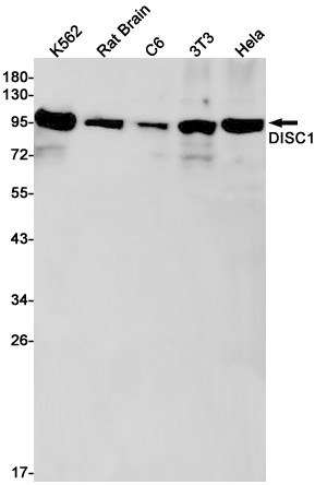
分类: 科研抗体货号: P21316别名: C1orf136; DISC1; KIAA0457; RP4-730B13.1; SCZD9应用: WB,IP,IHC,IF反应种属: Human,Mouse,Rat
-
分类: 科研抗体货号: P21305别名: GUA; GURDB; RH-II/GU; RH-II/GuA应用: WB,IF反应种属: Human
-
分类: 科研抗体货号: P21315别名: DDX8; Dhr2; HRH1; PRP22; PRPF22应用: WB,IF反应种属: Human
-
分类: 科研抗体货号: P21304别名: DDAH; DDAHI; DDAH-1; HEL-S-16应用: WB,IP反应种属: Human
-
分类: 科研抗体货号: P21314别名: dehydrogenase/reductase 1; SDR19C1应用: WB反应种属: Rat
-
分类: 科研抗体货号: P21330别名: DPYD; Dihydropyrimidine dehydrogenase [NADP(+)]; DHPDHase; DPD; Dihydrothymine dehydrogenase; Dihydrouracil dehydrogenase应用: WB,IHC,IF反应种属: Human,Rat
-
分类: 科研抗体货号: P21313别名: DGCR8; DGCRK6; Gy1; C22orf12; D16Wis2; pasha应用: WB,IP,IF反应种属: Human,Mouse,Rat
-
分类: 科研抗体货号: P21329别名: HLRC1; hDOHH应用: WB,IP反应种属: Human
鄂公网安备42018502007531号

