-
分类: 科研抗体货号: P21299别名: DBC1; DBC-1; NET35; p30DBC; p30 DBC; KIAA1967应用: WB,IP,IHC,IF反应种属: Human
-
分类: 科研抗体货号: P21279别名: SHYC; SRA1; SRA-1; P140SRA-1应用: WB反应种属: Human,Mouse,Rat
-
分类: 科研抗体货号: P21260别名: CTPS; GATD5; IMD24应用: WB反应种属: Human
-
分类: 科研抗体货号: P21298别名: Deleted in azoospermia-associated protein 1应用: WB,IP反应种属: Human,Mouse,Rat
-
分类: 科研抗体货号: P21277别名: PPIB; CYPB; Peptidyl-prolyl cis-trans isomerase B; PPIase B; CYP-S1; Cyclophilin B; Rotamase B; S-cyclophilin; SCYLP应用: WB反应种属: Human,Mouse,Rat
-
分类: 科研抗体货号: P21259别名: ATL1 alpha; ATL1 beta; ATL1 gamma; ATL1 delta; Bcl11b; BCL11B/TRDC fusion; CTIP2; hRIT1 alpha; hRit1; Rit1应用: WB反应种属: Human
-
分类: 科研抗体货号: P21297别名: Deleted in azoospermia-associated protein 1应用: WB,IP反应种属: Human,Mouse,Rat
-
分类: 科研抗体货号: P21276别名: CCNT; CYCT1; HIVE1应用: WB,IP,IHC,IF反应种属: Human,Mouse,Rat
-
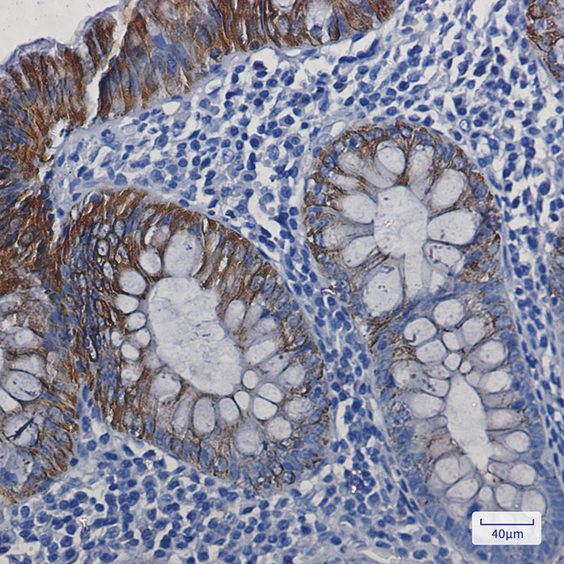
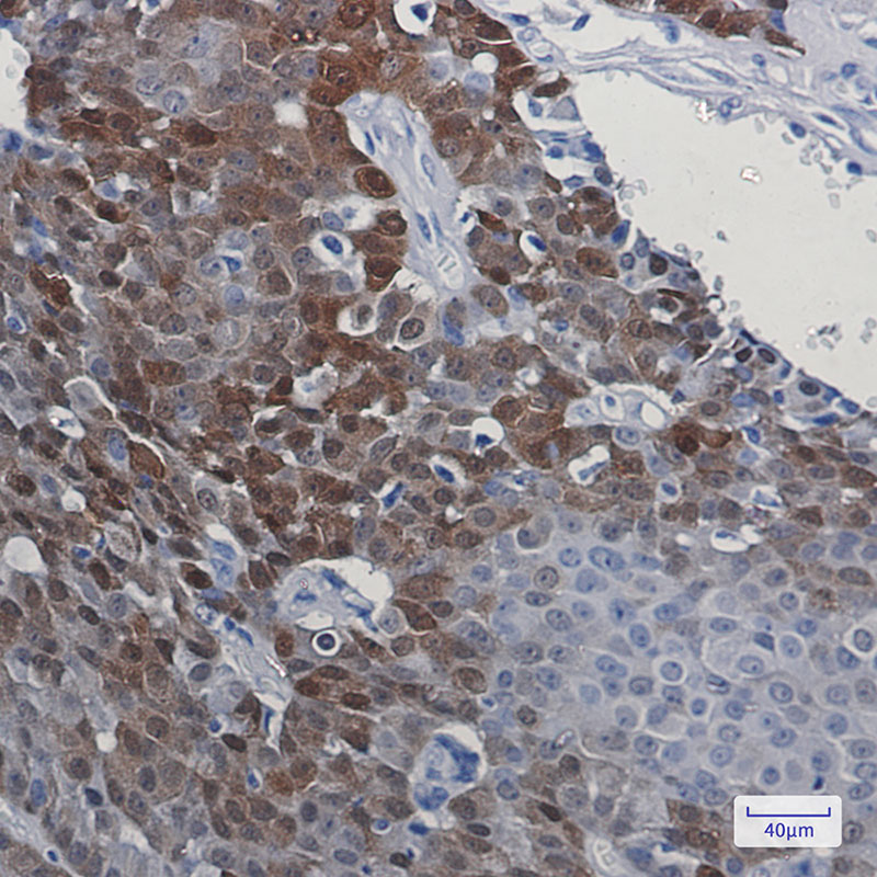
分类: 科研抗体货号: P21290别名: KRT19; Keratin; type I cytoskeletal 19; Cytokeratin-19; CK-19; Keratin-19; K19应用: WB,IP,IHC,IF反应种属: Human,Rat
-
分类: 科研抗体货号: P21296别名: PPP1R1B; DARPP32; Protein phosphatase 1 regulatory subunit 1B; DARPP-32; Dopamine- and cAMP-regulated neuronal phosphoprotein应用: WB,IP,IHC反应种属: Human,Mouse,Rat
鄂公网安备42018502007531号

