-
分类: 科研抗体货号: P21176别名: IL7R; Interleukin-7 receptor subunit alpha; IL-7 receptor subunit alpha; IL-7R subunit alpha; IL-7R-alpha; IL-7RA; CDw127; CD antigen CD127应用: WB反应种属: Human
-
分类: 科研抗体货号: P21175别名: ITGAL; CD11A; Integrin alpha-L; CD11 antigen-like family member A; Leukocyte adhesion glycoprotein LFA-1 alpha chain; LFA-1A; Leukocyte function-associated molecule 1 alpha chain; CD11a应用: WB,IP,IHC,IF反应种属: Human
-
分类: 科研抗体货号: P21174别名: CCR7; CMKBR7; EBI1; EVI1; C-C chemokine receptor type 7; C-C CKR-7; CC-CKR-7; CCR-7; BLR2; CDw197; Epstein-Barr virus-induced G-protein coupled receptor 1; EBI1; EBV-induced G-protein coupled receptor 1; MIP-3 beta receptor; CD antigen CD19应用: WB,IP反应种属: Human,Mouse,Rat
-
分类: 科研抗体货号: P21190别名: C3 binding protein; C3b/C4b receptor; C3BR; C4BR; CD35; CR1; KN应用: WB,IHC反应种属: Human
-
分类: 科研抗体货号: P21173别名: CBR3; Carbonyl reductase [NADPH] 3; NADPH-dependent carbonyl reductase 3应用: WB反应种属: Human
-
分类: 科研抗体货号: P21189别名: FCGR2A; CD32; FCG2; FCGR2A1; IGFR2; Low affinity immunoglobulin gamma Fc region receptor II-a; IgG Fc receptor II-a; CDw32; Fc-gamma RII-a; Fc-gamma-RIIa; FcRII-a; CD32应用: WB,IHC反应种属: Human
-
分类: 科研抗体货号: P21172别名: CBL; CBL2; RNF55; E3 ubiquitin-protein ligase CBL; Casitas B-lineage lymphoma proto-oncogene; Proto-oncogene c-Cbl; RING finger protein 55; Signal transduction protein CBL应用: WB,IP,IF反应种属: Human
-
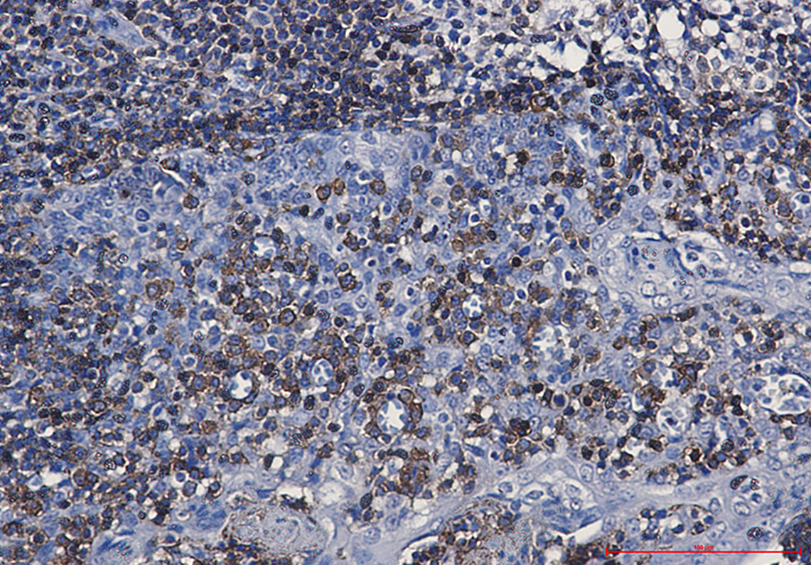
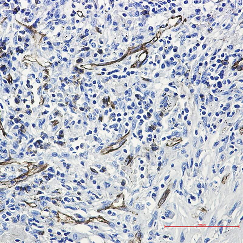
分类: 科研抗体货号: P21188别名: Platelet endothelial cell adhesion molecule; PECAM-1; EndoCAM; GPIIA'; PECA1; CD antigen CD31应用: WB,IHC反应种属: Human
-
分类: 科研抗体货号: P21199别名: CD79A; IGA; MB1; B-cell antigen receptor complex-associated protein alpha chain; Ig-alpha; MB-1 membrane glycoprotein; Membrane-bound immunoglobulin-associated protein; Surface IgM-associated protein; CD antigen CD79a应用: WB,IHC,IF反应种属: Human
-
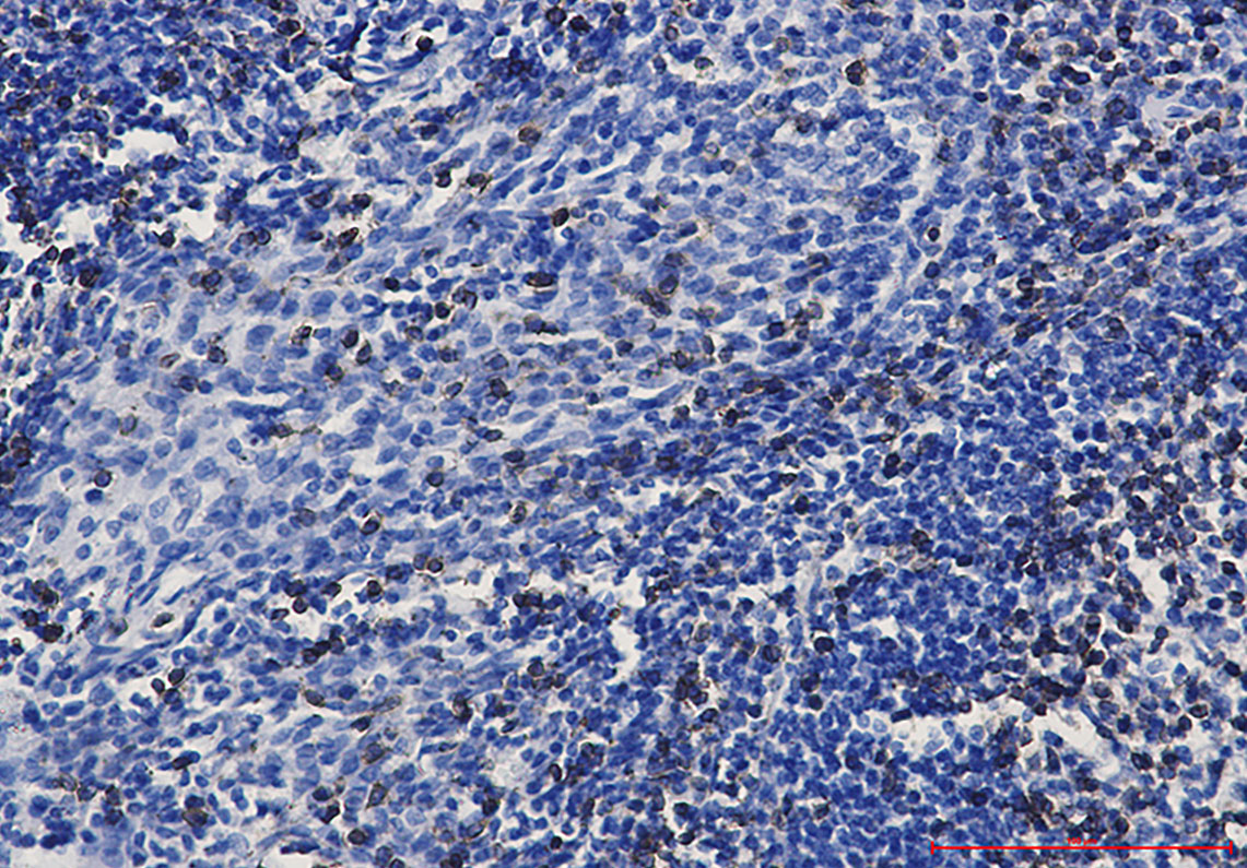
分类: 科研抗体货号: P21186别名: CD3E; T3E; T-cell surface glycoprotein CD3 epsilon chain; T-cell surface antigen T3/Leu-4 epsilon chain; CD3e应用: WB,IP,IHC反应种属: Human
鄂公网安备42018502007531号

