-
分类: 科研抗体货号: P21135别名: BRCA1-associated ATM activator 1; BRCA1-associated protein required for ATM activation protein 1应用: WB,IP,IF反应种属: Human
-
分类: 科研抗体货号: P21142别名: C1QBP; GC1QBP; HABP1; SF2P32; Complement component 1 Q subcomponent-binding protein; mitochondrial; GC1q-R protein; Glycoprotein gC1qBP; C1qBP; Hyaluronan-binding protein 1; Mitochondrial matrix protein p32; p33应用: WB,IP反应种属: Human,Mouse,Rat
-
分类: 科研抗体货号: P21134别名: C13orf34应用: WB,IP反应种属: Human,Mouse,Rat
-
分类: 科研抗体货号: P21141别名: BTK; AGMX1; ATK; BPK; Tyrosine-protein kinase BTK; Agammaglobulinaemia tyrosine kinase; ATK; B-cell progenitor kinase; BPK; Bruton tyrosine kinase应用: WB,IP,IHC反应种属: Human
-
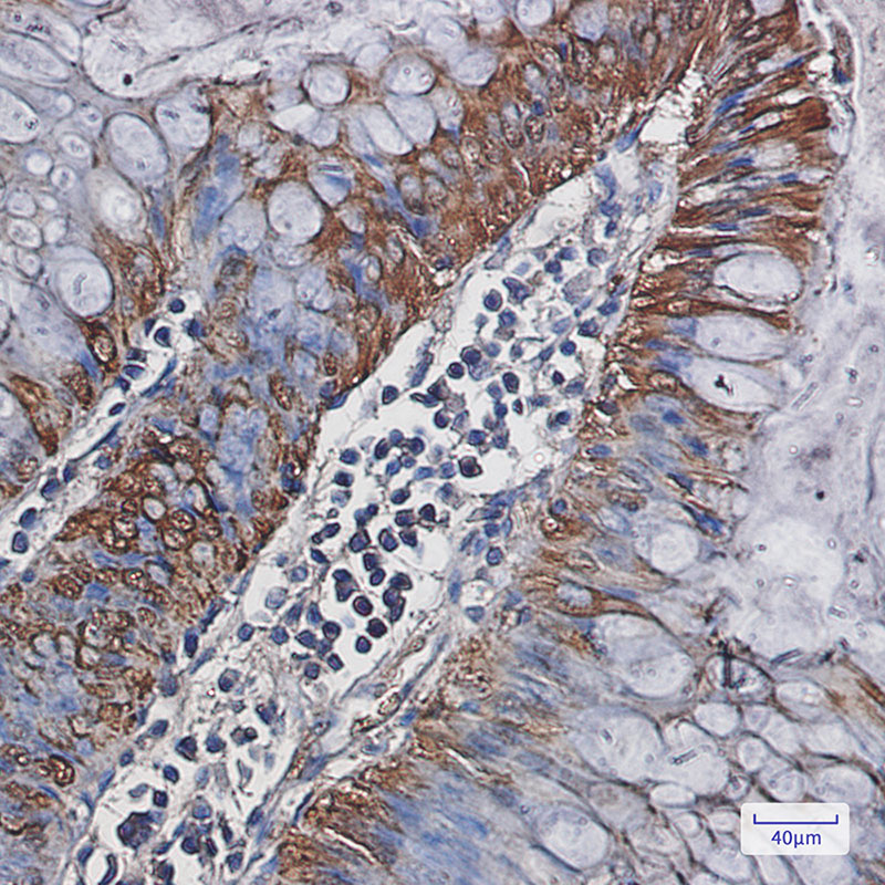
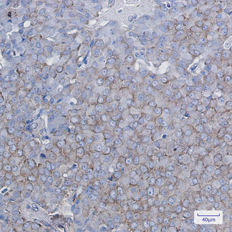
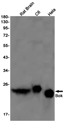
分类: 科研抗体货号: P21133别名: BOKL; BCL2L9应用: WB反应种属: Human,Rat
-
分类: 科研抗体货号: P21140别名: NACB; BTF3a; BTF3b; BETA-NAC应用: WB,IP,IHC反应种属: Human,Mouse,Rat
-
分类: 科研抗体货号: P21131别名: BMP4; BMP2B; DVR4; Bone morphogenetic protein 4; BMP-4; Bone morphogenetic protein 2B; BMP-2B应用: WB,IP,IF反应种属: Human
-
分类: 科研抗体货号: P21139别名: Brg1; BAF190A; SW1/SNF; HP1-BP72; SNF2beta; b2b692Clo; b2b508.1Clo应用: WB,IP,IHC,IF反应种属: Human,Mouse,Rat
-
分类: 科研抗体货号: P21130别名: BMP2; BMP2A; Bone morphogenetic protein 2; BMP-2; Bone morphogenetic protein 2A; BMP-2A应用: WB,IF反应种属: Human
-
分类: 科研抗体货号: P21156别名: CA1; Carbonic anhydrase 1; Carbonate dehydratase I; Carbonic anhydrase B; CAB; Carbonic anhydrase I; CA-I应用: WB,IHC反应种属: Human,Mouse,Rat
鄂公网安备42018502007531号

