-
分类: 科研抗体货号: P21081别名: AS160; NIDDM5应用: WB,IP反应种属: Human
-
分类: 科研抗体货号: P21063别名: hAGP7; Ubiquitin-activating enzyme E1-like protein; APG7L应用: WB反应种属: Human,Mouse,Rat
-
分类: 科研抗体货号: P21080别名: Ah receptor; AhR; Class E basic helix-loop-helix protein 76; bHLHe76; AHR应用: WB反应种属: Human
-
分类: 科研抗体货号: P21062别名: APG 5L; APG5; APG5 autophagy 5 like; APG5 like; APG5-like; Apoptosis specific protein; ASP; ATG 5; ATG5 autophagy related 5 homolog; Autophagy protein 5; hAPG5应用: WB,IP,IF反应种属: Human,Mouse,Rat
-
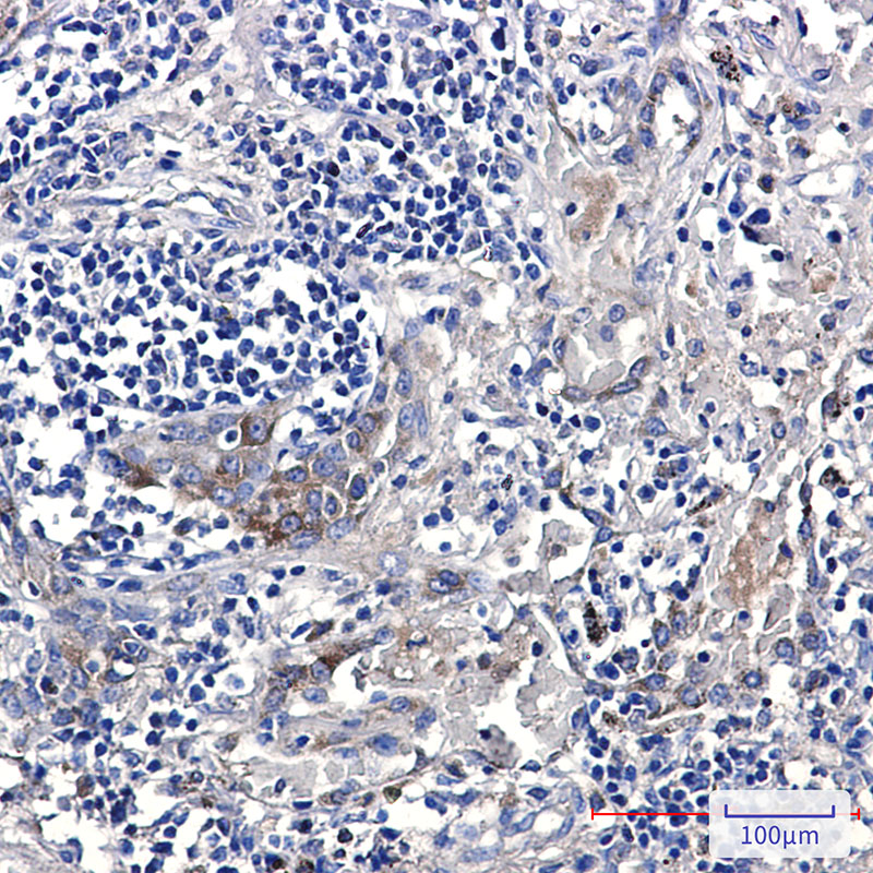
分类: 科研抗体货号: P21079别名: ERAP1; APPILS; ARTS1; KIAA0525; Endoplasmic reticulum aminopeptidase 1; ARTS-1; Adipocyte-derived leucine aminopeptidase; A-LAP; Aminopeptidase PILS; Puromycin-insensitive leucyl-specific aminopeptidase; PILS-AP; Type 1 tumor necrosis facto应用: WB,IHC反应种属: Human,Rat
-
分类: 科研抗体货号: P21061别名: APG12-like; APG12L; ATG12; Autophagy 12; Autophagy-related protein 12; FBR93; HAPG12; Ubiquitin-like protein ATG12应用: WB反应种属: Human,Mouse
-
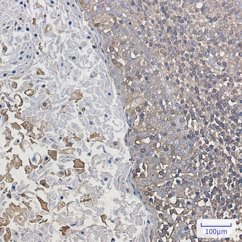
分类: 科研抗体货号: P21078别名: Enovin; Neublastin应用: WB,IP,IHC反应种属: Human,Mouse,Rat
-
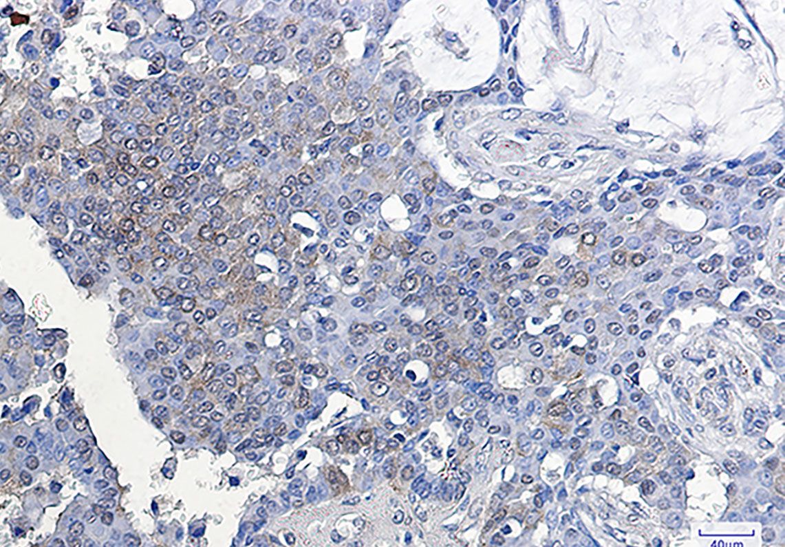
分类: 科研抗体货号: P21088别名: ATF5; ATFX; Cyclic AMP-dependent transcription factor ATF-5; cAMP-dependent transcription factor ATF-5; Activating transcription factor 5; Transcription factor ATFx应用: WB,IP,IHC反应种属: Human,Mouse,Rat
-
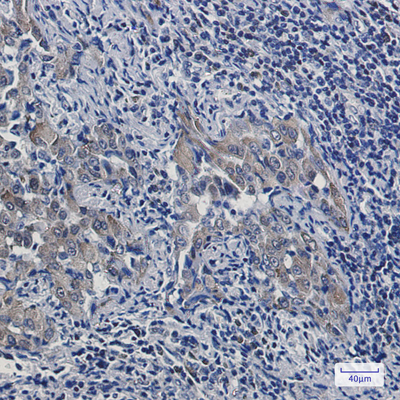
分类: 科研抗体货号: P21077别名: ARC34; PRO2446; p34-Arc; PNAS-139应用: WB,IP,IHC,IF反应种属: Human,Mouse,Rat
-
分类: 科研抗体货号: P21086别名: ATX1; SCA1; D6S504E应用: WB,IP反应种属: Mouse
鄂公网安备42018502007531号

