-
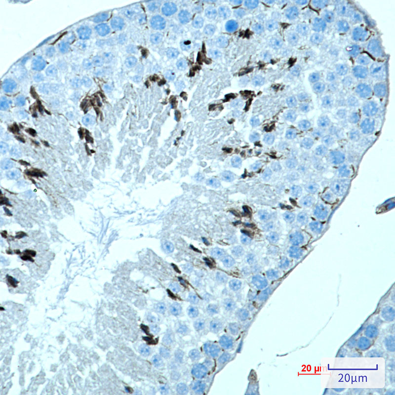
分类: 科研抗体货号: P20920别名: SMAD3; MADH3; Mothers against decapentaplegic homolog 3; MAD homolog 3; Mad3; Mothers against DPP homolog 3; hMAD-3; JV15-2; SMAD family member 3; SMAD 3; Smad3; hSMAD3应用: WB,IHC,IF反应种属: Human,Rat
-
分类: 科研抗体货号: P20929别名: TGF beta 1; TGFB; CED; LAP应用: WB反应种属: Human,Mouse,Rat
-
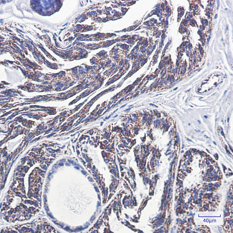
分类: 科研抗体货号: P20907别名: CT10应用: WB,IP,IHC反应种属: Human,Mouse
-
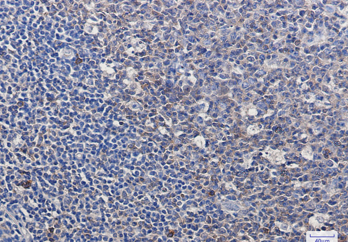
分类: 科研抗体货号: P20918别名: TSPO; BZRP; MBR; Translocator protein; Mitochondrial benzodiazepine receptor; PKBS; Peripheral-type benzodiazepine receptor; PBR应用: WB,IP,IHC,IF反应种属: Human,Mouse
-
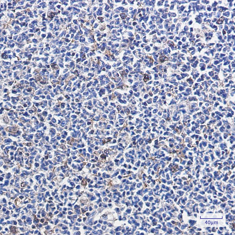
分类: 科研抗体货号: P20927别名: PARK7; Protein DJ-1; Oncogene DJ1; Parkinson disease protein 7应用: WB,IP,IHC,IF反应种属: Human,Mouse,Rat
-
分类: 科研抗体货号: P20937别名: CaM K1; CaM KI; CaMK 1; CAMK I; CaMK1 alpha; CAMK1 PEN; CaMKI alpha应用: WB反应种属: Mouse,Rat
-
分类: 科研抗体货号: P20917别名: GLNA; GS; GLUL; GLNS; PIG43; PIG59; Glutamine synthetase应用: WB反应种属: Mouse,Rat
-
分类: 科研抗体货号: P20926别名: PKR; PRKR; EIF2AK1; PPP1R83应用: WB,IP,IF反应种属: Mouse,Rat
-
分类: 科研抗体货号: P20936别名: CASP3; CPP32; Caspase-3; CASP-3; Apopain; Cysteine protease CPP32; CPP-32; Protein Yama; SREBP cleavage activity 1; SCA-1应用: WB,IP,IHC反应种属: Human,Mouse
-
分类: 科研抗体货号: P20925别名: TBK1; NAK; Serine/threonine-protein kinase TBK1; NF-kappa-B-activating kinase; T2K; TANK-binding kinase 1应用: WB反应种属: Human,Mouse,Rat,Hamster
鄂公网安备42018502007531号

