-
分类: 科研抗体货号: P20853别名: serine threonine kinase 3/4; KRS1; MST2/KRS2; MST1; YSK3; TIIAC应用: WB,IP,IF反应种属: Human,Mouse,Rat
-
分类: 科研抗体货号: P20836别名: TNF alpha-induced protein 8; NDED; SCC-S2应用: WB,IP反应种属: Human
-
分类: 科研抗体货号: P20869别名: exo/endonuclease G; ENGL; ENGLA; ENGLB; ENGL-a; ENGL-b; ENDOGL1; ENDOGL2应用: WB反应种属: Human
-
分类: 科研抗体货号: P20852别名: P2Y15; Alpha-ketoglutarate receptor 1; G-protein coupled receptor 80; G-protein coupled receptor 99; P2Y purinoceptor 15应用: WB反应种属: Human,Rat
-
分类: 科研抗体货号: P20862别名: p164 ROCK 2; Rho kinase 2; ROCK 2; Rock II; Rock2m; ROK alpha; ROKalpha应用: WB,IF反应种属: Human,Rat
-
分类: 科研抗体货号: P20867别名: COP9 signalosome subunit 8; COP9; CSN8; SGN8应用: WB,IP,IHC,IF反应种属: Human,Mouse,Rat
-
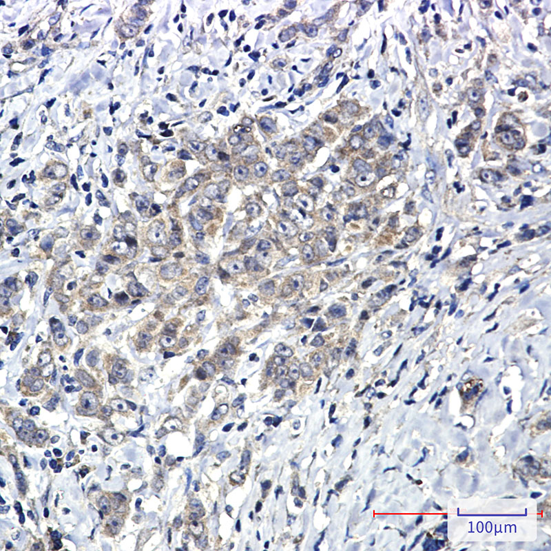
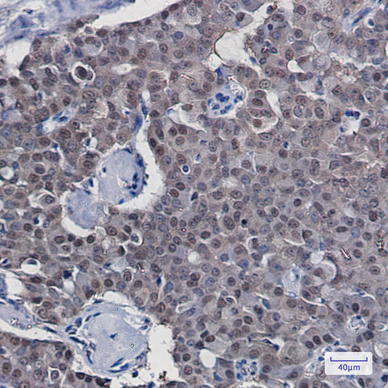
分类: 科研抗体货号: P20851别名: PTPN11; PTP2C; SHPTP2; Tyrosine-protein phosphatase non-receptor type 11; Protein-tyrosine phosphatase 1D; PTP-1D; Protein-tyrosine phosphatase 2C; PTP-2C; SH-PTP2; SHP-2; Shp2; SH-PTP3应用: WB,IP,IHC反应种属: Human
-
分类: 科研抗体货号: P20861别名: HpaII tiny fragments locus 9c protein应用: WB,IHC,IF反应种属: Human
-
分类: 科研抗体货号: P20866别名: Np95; hNP95; ICBP90; RNF106应用: WB,IP反应种属: Human
-
分类: 科研抗体货号: P20850别名: ARP; Arp1; ARL18应用: WB,IP反应种属: Rat
鄂公网安备42018502007531号

