-
分类: 科研抗体货号: P20819别名: Gem; Geminin; GMNN应用: WB反应种属: Human
-
分类: 科研抗体货号: P20760别名: ABCB5 P-gp; ATP binding cassette sub family B (MDR/TAP) member 5; P glycoprotein ABCB5应用: WB,IF反应种属: Human
-
分类: 科研抗体货号: P20818别名: ELOVL FA elongase 5; Fatty acid elongase 1; hELO1; Very long chain 3-ketoacyl-CoA synthase 5应用: WB,IF反应种属: Human
-
分类: 科研抗体货号: P20793别名: HRMT1L6; PRMT 6应用: WB,IHC,IF反应种属: Human,Monkey
-
分类: 科研抗体货号: P20759别名: Fumarate hydratase; mitochondrial; Fumarase应用: WB,IHC,IF反应种属: Human,Mouse,Rat
-
分类: 科研抗体货号: P20814别名: JNK; JNK1; PRKM8; SAPK1; JNK-46; JNK1A2; SAPK1c; JNK21B1/2应用: WB反应种属: Human,Rat
-
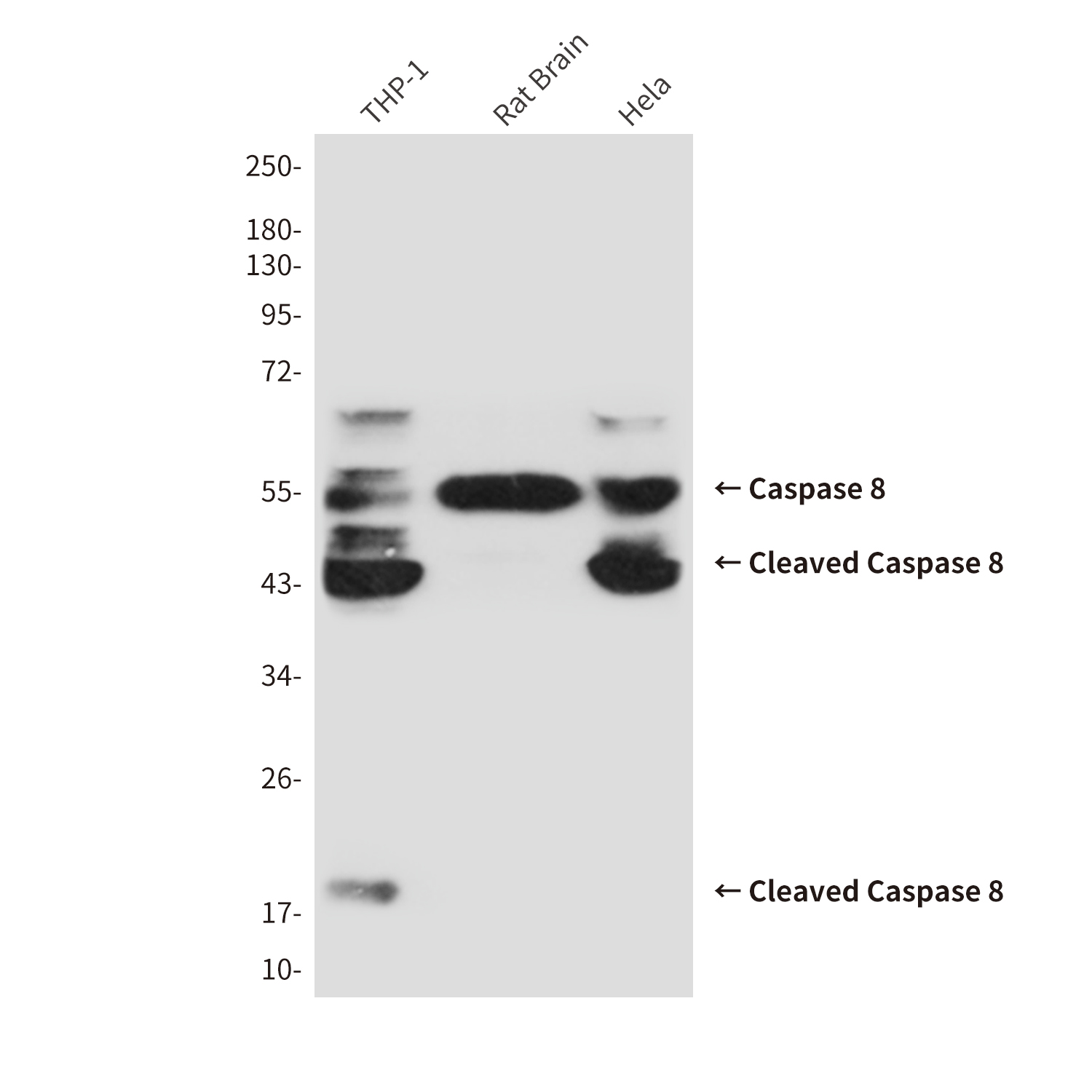
分类: 科研抗体货号: P20791别名: CASP8; MCH5; Caspase-8; CASP-8; Apoptotic cysteine protease; Apoptotic protease Mch-5; CAP4; FADD-homologous ICE/ced-3-like protease; FADD-like ICE; FLICE; ICE-like apoptotic protease 5; MORT1-associated ced-3 homolog; MACH应用: WB,IHC,IF反应种属: Human,Mouse,Rat
-
分类: 科研抗体货号: P20758别名: ENO2; Gamma-enolase; 2-phospho-D-glycerate hydro-lyase; Enolase 2; Neural enolase; Neuron-specific enolase; NSE应用: WB,IHC,IF反应种属: Human,Mouse,Rat
-
分类: 科研抗体货号: P20813别名: Methylated-DNA--protein-cysteine methyltransferase应用: WB,IHC反应种属: Human
-
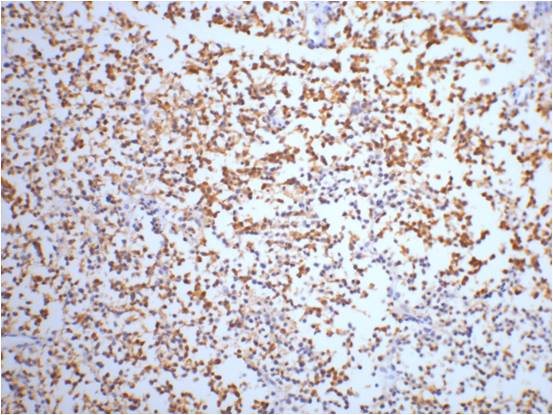
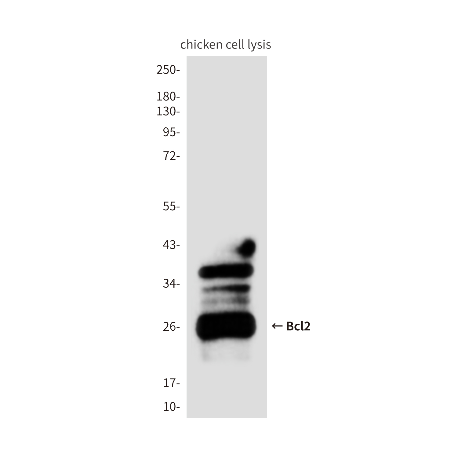
分类: 科研抗体货号: P20790别名: BCL2; Apoptosis regulator Bcl-2应用: WB,IHC,IF反应种属: Human,Chicken
鄂公网安备42018502007531号

