-
分类: 科研抗体货号: P20782别名: PIK3R1; GRB1; Phosphatidylinositol 3-kinase regulatory subunit alpha; PI3-kinase regulatory subunit alpha; PI3K regulatory subunit alpha; PtdIns-3-kinase regulatory subunit alpha; Phosphatidylinositol 3-kinase 85 kDa regulatory subunit alpha; PI3-kinase s应用: WB,IHC反应种属: Human,Mouse,Rat
-
分类: 科研抗体货号: P20781别名: H3 histone; family 3A; H3 histone; family 3B (H3.3B); H3.3A; H3.3B; H33; H3F3; H3F3A; H3F3B; Histone H3.3应用: WB反应种属: Human,Mouse,Rat
-
分类: 科研抗体货号: P20805别名: RAD9; hRAD9应用: WB,IP反应种属: Human,Mouse,Rat,Monkey
-
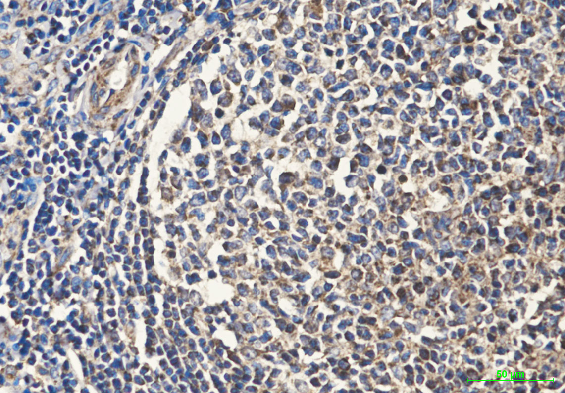
分类: 科研抗体货号: P20780别名: LGALS3应用: WB,IHC,IF反应种属: Human,Mouse
-
分类: 科研抗体货号: P20789别名: NOS3; Nitric oxide synthase; endothelial; Constitutive NOS; cNOS; EC-NOS; Endothelial NOS; eNOS; NOS type III; NOSIII应用: WB反应种属: Human,Mouse,Rat
-
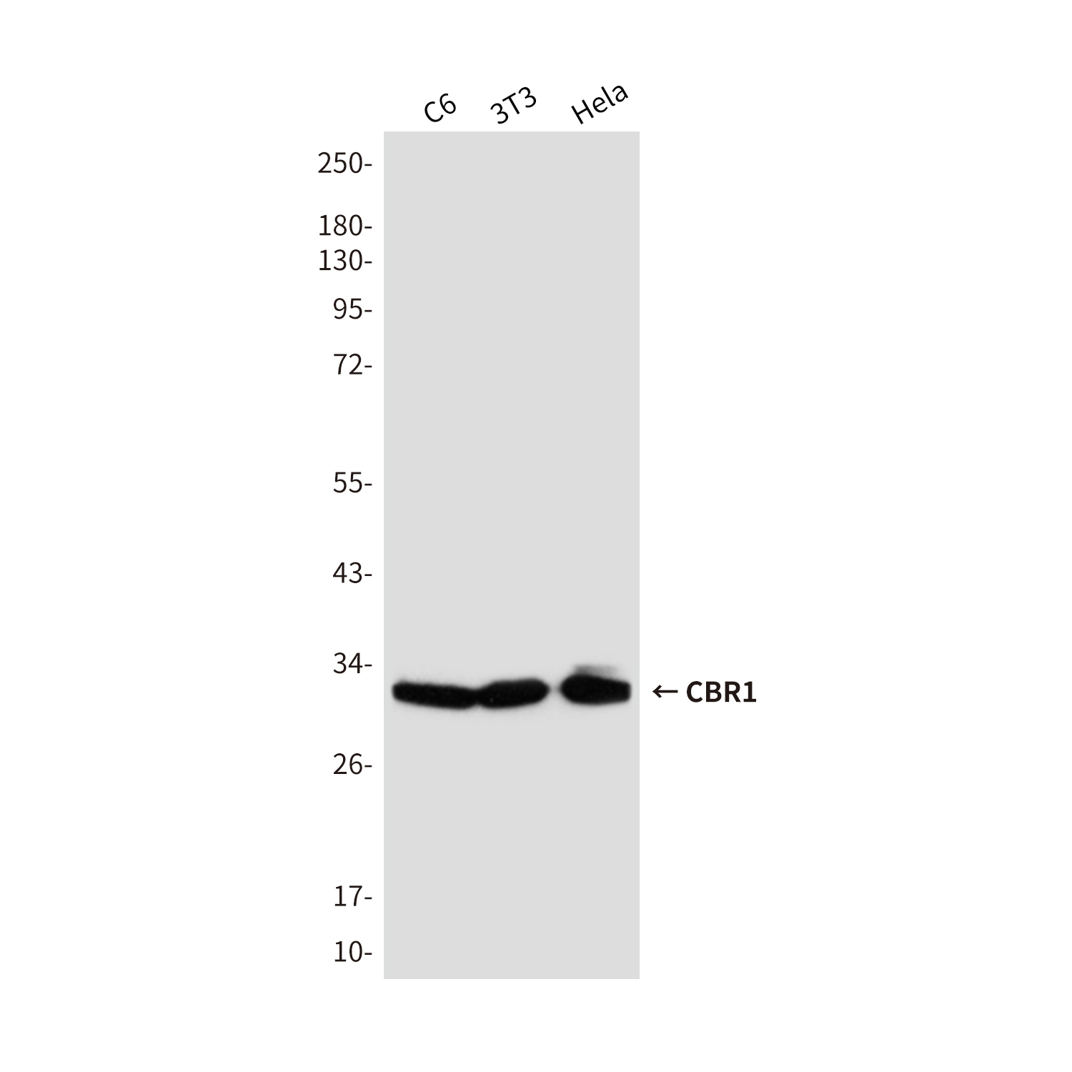
分类: 科研抗体货号: P20804别名: 15 hydroxyprostaglandin dehydrogenase [NADP ]; 15-hydroxyprostaglandin dehydrogenase [NADP ]; Carbonyl reductase [NADPH] 1; CBR 1; CBR1; CBR1_HUMAN; CRN; NADPH dependent carbonyl reductase 1; NADPH-dependent carbonyl reductase 1; Prostaglandin 9 ketoreduc应用: WB,IF反应种属: Human,Mouse,Rat
-
分类: 科研抗体货号: P20779别名: Tubulin alpha-1B chain; Alpha-tubulin ubiquitous; Tubulin K-alpha-1; Tubulin alpha-ubiquitous chain应用: WB,IP,IHC,IF反应种属: Human,Mouse,Rat
-
分类: 科研抗体货号: P20788别名: CYCS; CYC; Cytochrome c应用: WB,IHC,IF反应种属: Human,Mouse,Rat,Chicken
-
分类: 科研抗体货号: P20802别名: PURH; AICAR; AICARFT; IMPCHASE应用: WB反应种属: Human,Mouse,Monkey,Rat
-
分类: 科研抗体货号: P20777别名: VIM; Vimentin应用: WB,IP,IHC,IF反应种属: Human
鄂公网安备42018502007531号

