-
分类: 科研抗体货号: P20664别名: X ray repair cross complementing protein 4; DNA repair protein XRCC4; DNA double strand break repair应用: WB,IP,IHC,IF反应种属: Human,Mouse,Rat
-
分类: 科研抗体货号: P20641别名: Proto-oncogene Wnt-3; INT4; TETAMS应用: WB反应种属: Transfected
-
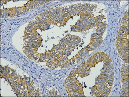
分类: 科研抗体货号: P20662别名: CK 7; CK-7; ck7; Cytokeratin 7; Cytokeratin-7; Cytokeratin7; D15Wsu77e; K2C7; K2C7_HUMAN; K7; Keratin 55k type ii cytoskeletal; Keratin 7; Keratin simple epithelial type 1 k7; Keratin type II cytoskeletal 7应用: WB,IP,IHC,IF反应种属: Human,Mouse,Rat
-
分类: 科研抗体货号: P20640别名: Wnt5b应用: WB反应种属: Transfected
-
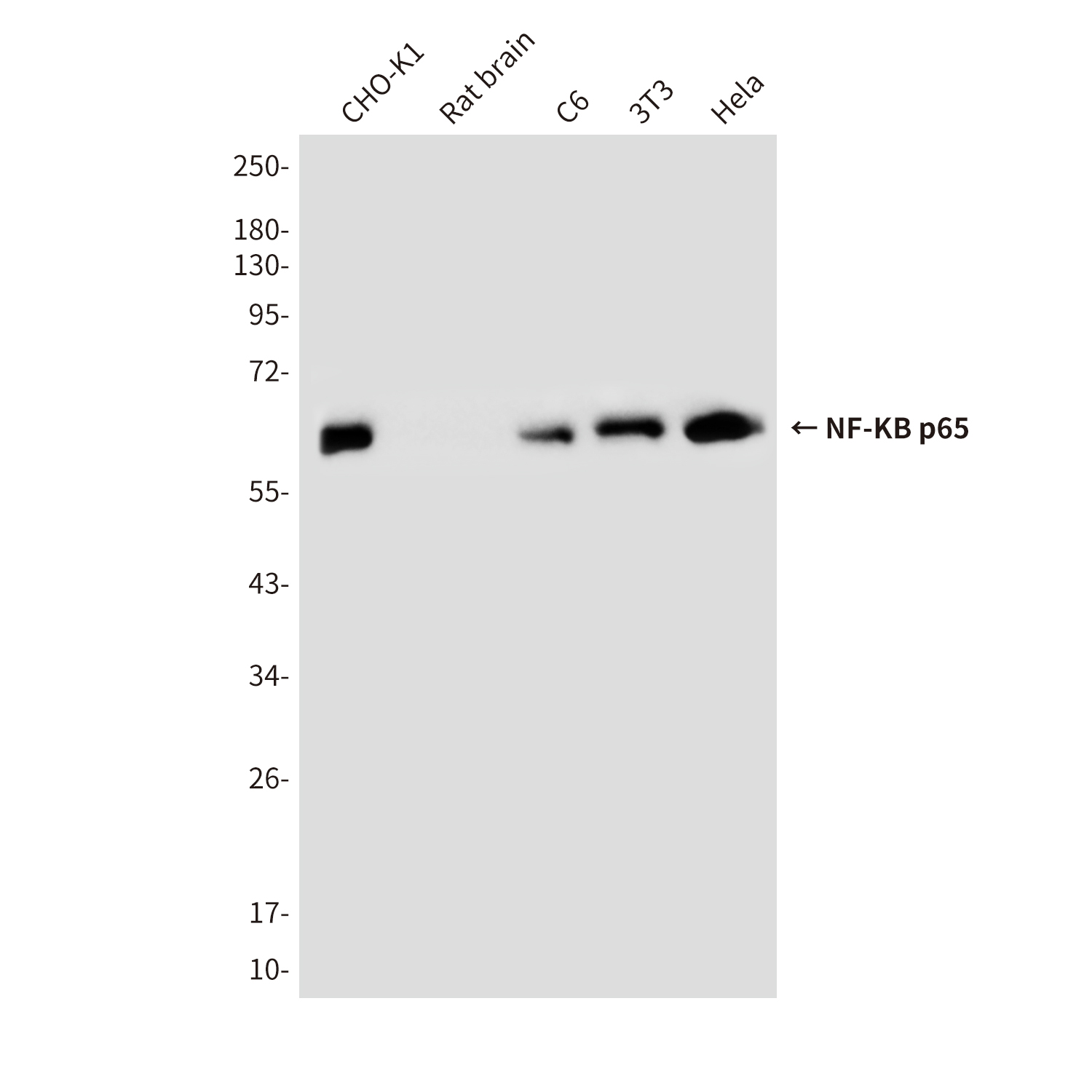
分类: 科研抗体货号: P20661别名: NFKB3; RELA; TF65; Transcription factor p65; p65; NFkB应用: WB,IP,IHC反应种属: Human,Mouse,Rat
-
分类: 科研抗体货号: P20639别名: PTPN6; HCP; PTP1C; Tyrosine-protein phosphatase non-receptor type 6; Hematopoietic cell protein-tyrosine phosphatase; Protein-tyrosine phosphatase 1C; PTP-1C; Protein-tyrosine phosphatase SHP-1; SH-PTP1应用: WB,IP反应种属: Human
-
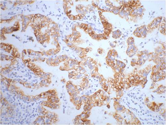
分类: 科研抗体货号: P20660别名: KRT19; Keratin; type I cytoskeletal 19; Cytokeratin-19; CK-19; Keratin-19; K19应用: WB,IHC反应种属: Human,Mouse,Rat
-
分类: 科研抗体货号: P20674别名: ACTA2; ACTSA; ACTVS; GIG46; Actin; aortic smooth muscle; Alpha-actin-2; Cell growth-inhibiting gene 46 protein; α-SMA应用: WB,IHC,IF反应种属: Human,Mouse,Rat
-
分类: 科研抗体货号: P20657别名: IPOB; IPO-B; MNSOD; MVCD6; Mn-SOD; SOD2应用: WB反应种属: Human
-
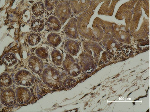
分类: 科研抗体货号: P20673别名: H2BK5ac; H2B 1A; H2B; H2B histone family; H2B2f; H2Ba; H2Bf; HIST2H2BF; histone H2B; histone H2B type 1; Histone H2B type 2-F应用: WB,IHC反应种属: Human,Mouse,Rat
鄂公网安备42018502007531号

