产品中心
PRODUCT CENTER
首页 » 产品中心 » 抗体 »
  • 分类: 科研抗体
    货号: P20649
    别名: LMN2; LAMB2
    应用: WB,IP
    反应种属: Human,Mouse
  • 分类: 科研抗体
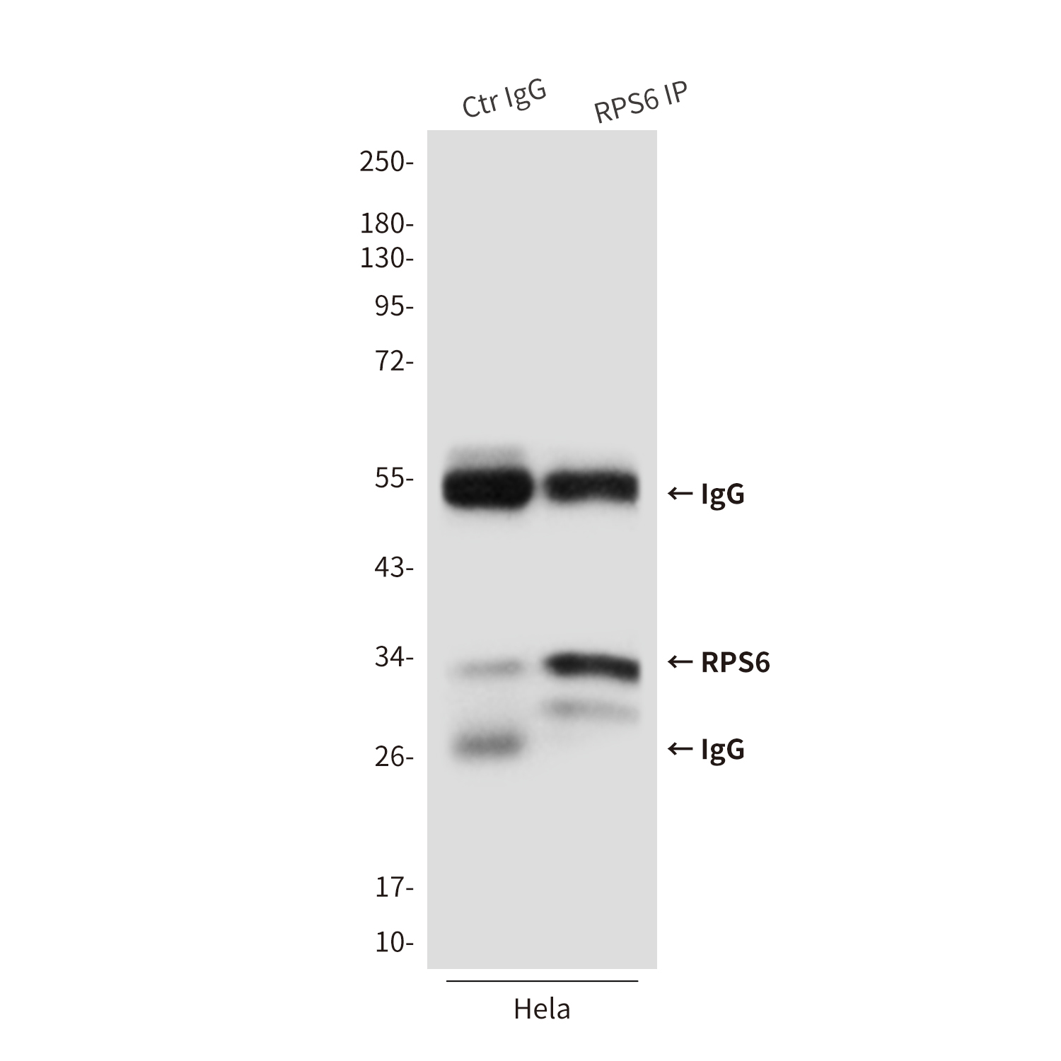
    货号: P20648
    别名: RPS6; OK/SW-cl.2; 40S ribosomal protein S6; Phosphoprotein NP33
    应用: WB,IP,IF
    反应种属: Human,Mouse,Rat,Monkey
  • 分类: 科研抗体
    货号: P20670
    别名: ACTA1; ACTA; Actin; alpha skeletal muscle; Alpha-actin-1
    应用: WB,IP,IHC,IF
    反应种属: Human,Mouse,Rat
  • 分类: 科研抗体
    货号: P20647
    别名: FASN; FAS; Fatty acid synthase
    应用: WB,IP,IF
    反应种属: Human,Mouse,Rat,Monkey
  • 分类: 科研抗体
    货号: P20669
    别名: PARP1; ADPRT; PPOL; Poly [ADP-ribose] polymerase 1; PARP-1; ADP-ribosyltransferase diphtheria toxin-like 1; ARTD1; NAD(+) ADP-ribosyltransferase 1; ADPRT 1; Poly[ADP-ribose] synthase 1
    应用: WB,IHC
    反应种属: Human,Mouse,Rat
  • 分类: 科研抗体
    货号: P20644
    别名: NEF; Protein S100 B; Protein S100-B; S 100 calcium binding protein beta chain; S 100 protein beta chain; S-100 protein beta chain; S-100 protein subunit beta; S100; S100 calcium binding protein beta (neural); S100 calcium-binding protein B; S100 protein b
    应用: WB
    反应种属: Rat
  • 分类: 科研抗体
    货号: P20668
    别名: Eukaryotic initiation factor 4A-I; eIF-4A-I; eIF4A-I; ATP-dependent RNA helicase eIF4A-1
    应用: WB,IHC,IF
    反应种属: Human,Mouse,Rat
  • 分类: 科研抗体
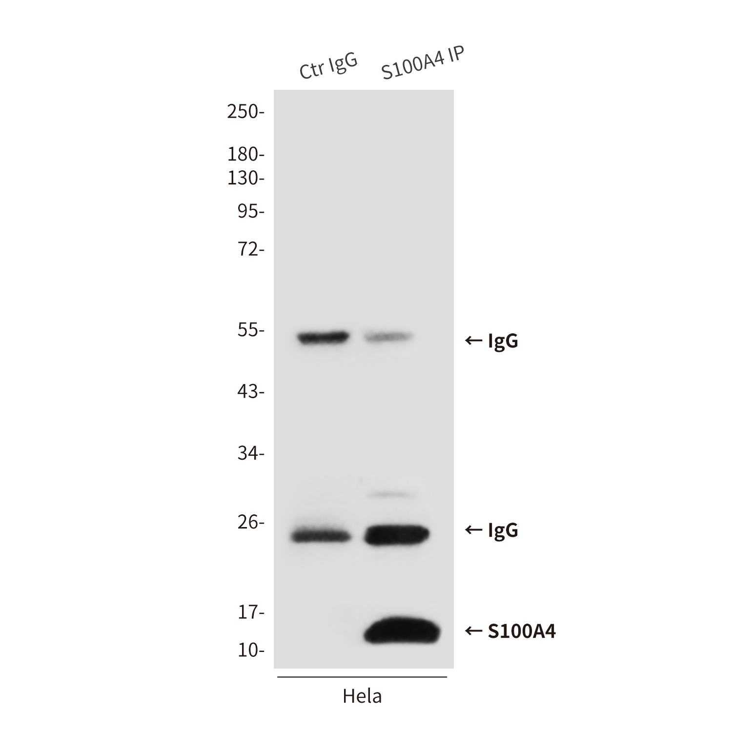
    货号: P20643
    别名: 18A2; 42A; calcium Placental protein; Calvasculin; CAPL; Fibroblast specific protein 1; Fibroblast specific protein; FSP1; Leukemia multidrug resistance associated protein; Malignant transformation suppression 1; Metastasin; MTS1; OTTHUMP00000015467; OTTH
    应用: WB,IP
    反应种属: Human
  • 分类: 科研抗体
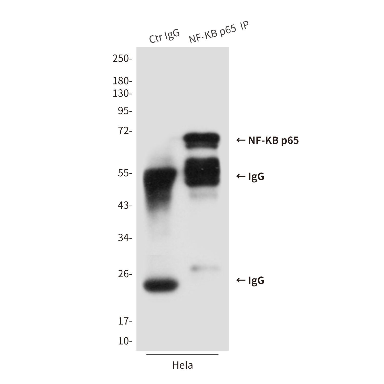
    货号: P20665
    别名: NFKB3; RELA; TF65; Transcription factor p65; p65; NFkB
    应用: WB,IP,IHC,IF
    反应种属: Human,Mouse,Rat
  • 分类: 科研抗体
    货号: P20642
    别名: S100A10; 42C; ANX2L; ANX2LG; CAL1L; CLP11; Ca[1]; GP11; P11; p10
    应用: WB,IP,IF
    反应种属: Human,Mouse,Rat
联系我们
  • 电话:17771420241 18911818852
  • 联系人:刘经理
  • 地址:湖北省武汉市东湖新技术开发区高新大道666号光谷生物城C6栋C6403、C6404
微信公众号
版权所有 © 武汉博开生物科技有限公司  备案编号:鄂ICP备2024052832号-1鄂公网安备42018502007531号
17771420241 18911818852