-
分类: 科研抗体货号: P20345别名: Serine/threonine-protein kinase GSK3A应用: WB,IHC,IF反应种属: Human,Mouse,Rat
-
分类: 科研抗体货号: P20363别名: AI849689; c Jun N terminal kinase 1; C-JUN kinase 1; c-Jun N-terminal kinase 1; EC 2.7.11.24; JAK 1A; JAK1A; JNK 1; JNK 46; JNK; JNK-46; JNK1A2; JNK21B1/2; MAP kinase 8; MAPK 8; MAPK8; Mitogen activated protein kinase 8; Mitogen-activated protein kinase 8应用: WB,IHC,IF反应种属: Human,Mouse,Rat,Chicken
-
分类: 科研抗体货号: P20344别名: PTK2B; FAK2; PYK2; RAFTK; Protein-tyrosine kinase 2-beta; Calcium-dependent tyrosine kinase; CADTK; Calcium-regulated non-receptor proline-rich tyrosine kinase; Cell adhesion kinase beta; CAK-beta; CAKB; Focal adhesion kinase 2; FADK 2; Pro应用: WB,IHC,IF反应种属: Human,Mouse,Rat
-
分类: 科研抗体货号: P20362别名: STAT1; Signal transducer and activator of transcription 1-alpha/beta; Transcription factor ISGF-3 components p91/p84应用: WB,IP,IHC,IF反应种属: Human,Mouse,Rat,Monkey
-
分类: 科研抗体货号: P20343别名: LIMK1; LIMK; LIM domain kinase 1; LIMK-1应用: WB,IHC,IF反应种属: Human,Mouse,Rat
-
分类: 科研抗体货号: P20361别名: NFKBIA; IKBA; MAD3; NFKBI; NF-kappa-B inhibitor alpha; I-kappa-B-alpha; IkB-alpha; IkappaBalpha; Major histocompatibility complex enhancer-binding protein MAD3应用: WB,IHC,IF反应种属: Human,Mouse,Rat,Monkey
-
分类: 科研抗体货号: P20341别名: KDR; FLK1; VEGFR2; Vascular endothelial growth factor receptor 2; VEGFR-2; Fetal liver kinase 1; FLK-1; Kinase insert domain receptor; KDR; Protein-tyrosine kinase receptor flk-1; CD antigen CD309应用: WB,IHC,IF反应种属: Human,Mouse,Rat
-
分类: 科研抗体货号: P20360别名: PRKCA; PKCA; PRKACA; Protein kinase C alpha type; PKC-A; PKC-alpha应用: WB,IP,IHC,IF反应种属: Human,Mouse,Rat
-
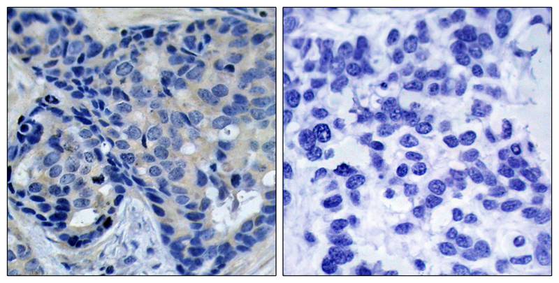
分类: 科研抗体货号: P20338别名: S1PR1; CHEDG1; EDG1; Sphingosine 1-phosphate receptor 1; S1P receptor 1; S1P1; Endothelial differentiation G-protein coupled receptor 1; Sphingosine 1-phosphate receptor Edg-1; S1P receptor Edg-1; CD antigen CD363应用: WB,IF反应种属: Human,Mouse,Rat
-
分类: 科研抗体货号: P20358别名: PDPK1; PDK1; 3-phosphoinositide-dependent protein kinase 1; hPDK1应用: WB,IHC,IF反应种属: Human,Mouse,Rat
鄂公网安备42018502007531号

