-
分类: 科研抗体货号: P20296别名: B23; NPM应用: WB,IHC,IF反应种属: Human,Mouse,Rat
-
分类: 科研抗体货号: P20295别名: Platelet endothelial cell adhesion molecule; PECAM-1; EndoCAM; GPIIA'; PECA1; CD antigen CD31应用: WB,IHC,IF反应种属: Human,Mouse
-
分类: 科研抗体货号: P20312别名: Connexin 43; Connexin-43; Cx 43; Cx43; CXA1_HUMAN; DFNB38; Gap junction 43 kDa heart protein; Gap junction alpha-1 protein; Gap junction protein alpha 1 43kDa (connexin 43); Gap junction protein alpha 1 43kDa; Gap junction protein alpha like; GJA 1; Gja1;应用: WB,IHC反应种属: Human,Mouse,Rat
-
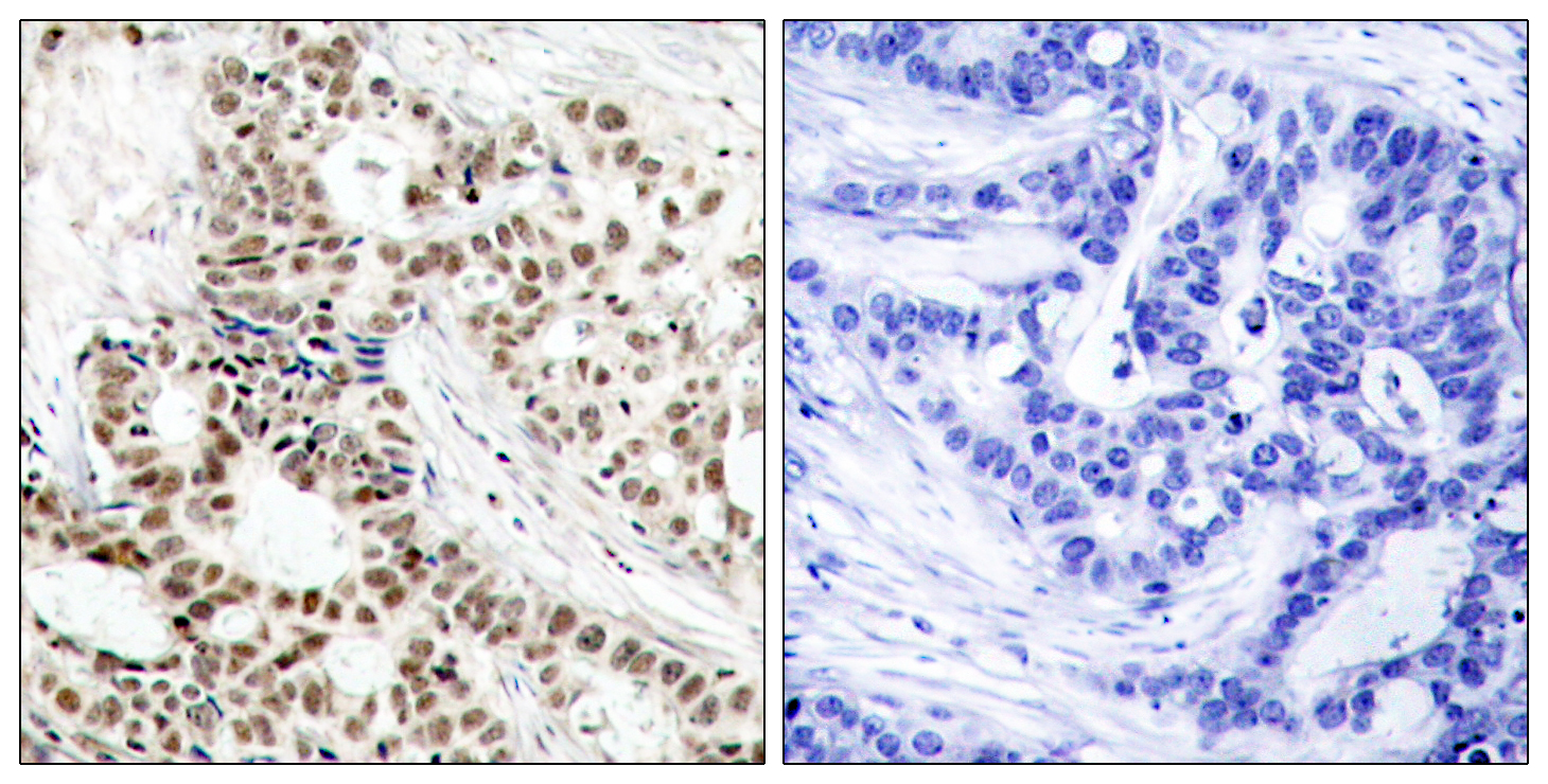
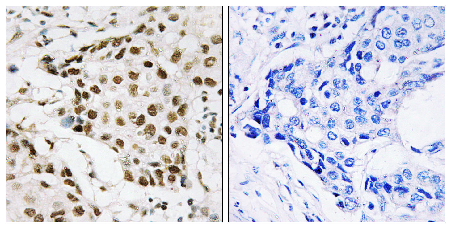
分类: 科研抗体货号: P20294别名: BRCA1; RNF53; Breast cancer type 1 susceptibility protein; RING finger protein 53应用: WB,IHC反应种属: Human,Rat
-
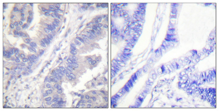
分类: 科研抗体货号: P20332别名: SYK; Tyrosine-protein kinase SYK; Spleen tyrosine kinase; p72-Syk应用: WB,IHC反应种属: Human,Mouse,Rat,Monkey
-
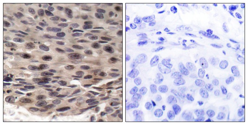
分类: 科研抗体货号: P20311别名: STMN1; C1orf215; LAP18; OP18; Stathmin; Leukemia-associated phosphoprotein p18; Metablastin; Oncoprotein 18; Op18; Phosphoprotein p19; pp19; Prosolin; Protein Pr22; pp17应用: WB,IHC反应种属: Human,Mouse,Rat
-
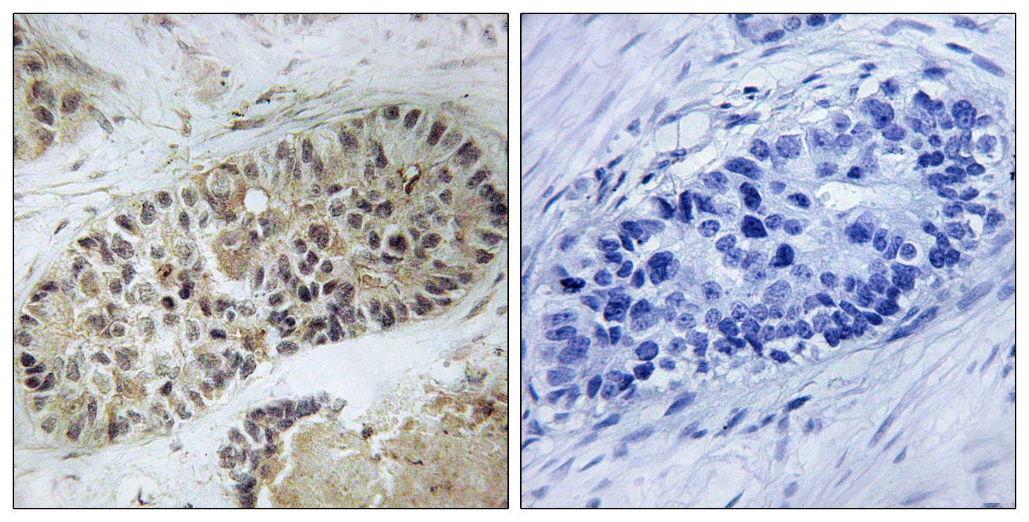
分类: 科研抗体货号: P20293别名: PRB1; p107; CP107应用: IHC反应种属: Human,Mouse
-
分类: 科研抗体货号: P20331别名: CSK; Tyrosine-protein kinase CSK; C-Src kinase; Protein-tyrosine kinase CYL应用: WB反应种属: Human,Mouse,Rat
-
分类: 科研抗体货号: P20310别名: EIF4EBP1; Eukaryotic translation initiation factor 4E-binding protein 1; 4E-BP1; eIF4E-binding protein 1; Phosphorylated heat- and acid-stable protein regulated by insulin 1; PHAS-I应用: WB,IHC反应种属: Human,Mouse,Rat
-
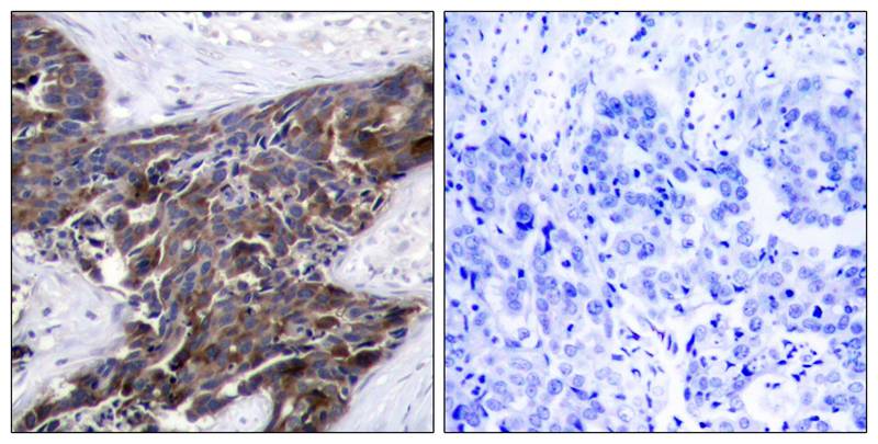
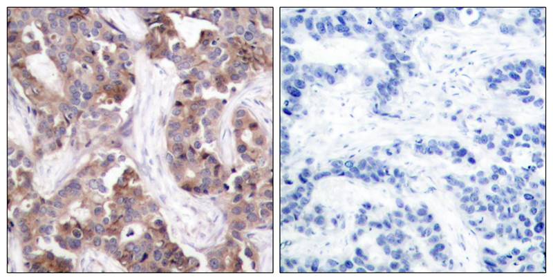
分类: 科研抗体货号: P20292别名: SCIDA; SNM1C; A-SCID; RS-SCID; DCLREC1C应用: WB,IHC反应种属: Human,Mouse
鄂公网安备42018502007531号

