-
分类: 科研抗体货号: P20071别名: BSF1; IL-4; BCGF1; BSF-1; BCGF-1应用: WB反应种属: Transfected
-
分类: 科研抗体货号: P20031别名: CASP1; IL1BC; IL1BCE; Caspase-1; CASP-1; Interleukin-1 beta convertase; IL-1BC; Interleukin-1 beta-converting enzyme; ICE; IL-1 beta-converting enzyme; p45应用: WB,IHC,IF反应种属: Human,Mouse
-
分类: 科研抗体货号: P20064别名: Calcium/calmodulin dependent protein kinase II; KCC2A应用: IHC反应种属: Human,Mouse,Rat
-
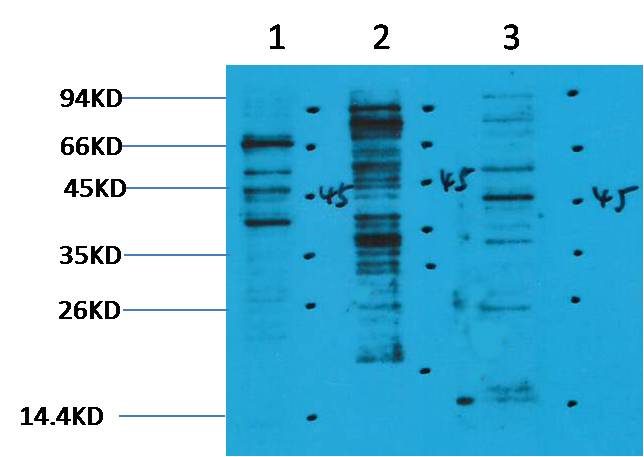
分类: 科研抗体货号: P20030别名: TX; Mih1; ICH-2; Mih1/TX; ICEREL-II; ICE(rel)II应用: WB反应种属: Human
-
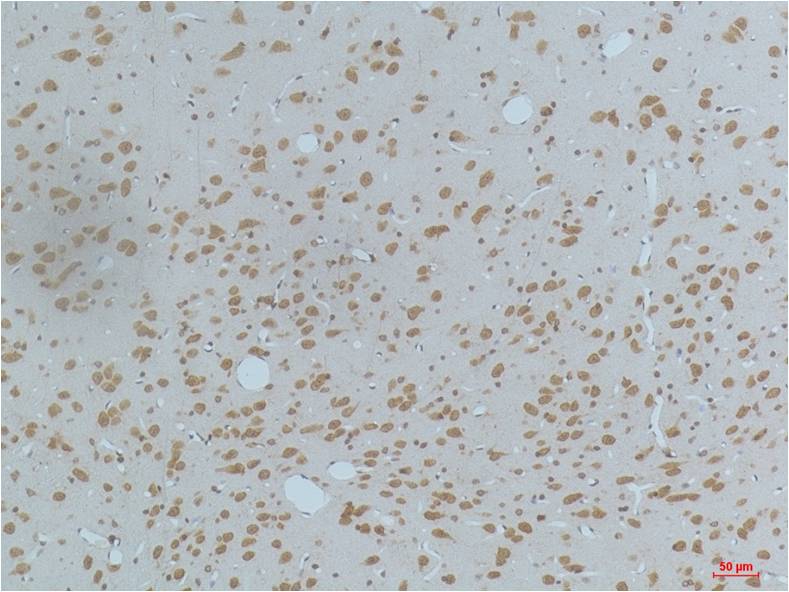
分类: 科研抗体货号: P20062别名: H3K14me3; H3 histone; HIST1H3A; Histone cluster 1; H3a应用: WB,IP,IHC,IF反应种属: Human,Mouse,Rat
-
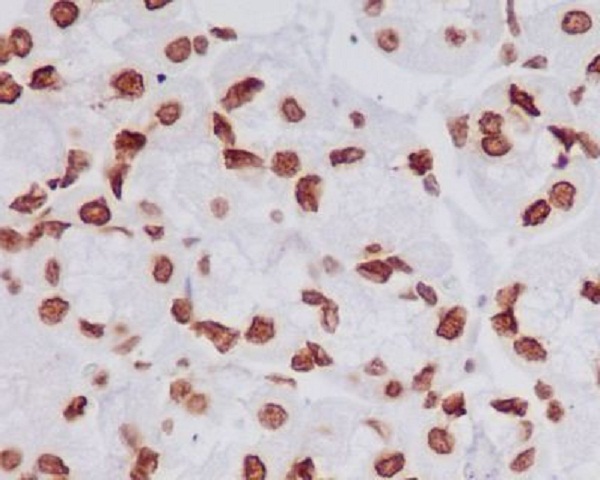
分类: 科研抗体货号: P20029别名: CASP6; MCH2; Caspase-6; CASP-6; Apoptotic protease Mch-2应用: WB,IHC反应种属: Human,Rat
-
分类: 科研抗体货号: P20061别名:应用: WB反应种属: Transfected
-
分类: 科研抗体货号: P20078别名: Rb2; P130应用: WB,IP反应种属: Human
-
分类: 科研抗体货号: P20060别名: H4K20me3; H4F2; HIST; HIST1H4A; Histone H4应用: WB,IHC反应种属: Human,Mouse,Rat
-
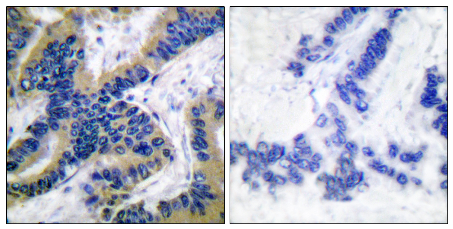
分类: 科研抗体货号: P20077别名: NFE2L2; NRF2; Nuclear factor erythroid 2-related factor 2; NF-E2-related factor 2; NFE2-related factor 2; HEBP1; Nuclear factor; erythroid derived 2; like 2应用: WB,IHC反应种属: Human
鄂公网安备42018502007531号

