-
分类: 科研抗体货号: P19097别名: Protein raver 2; Raver2;;RAVER2应用: WB,IHC/IHF,IF,IP反应种属: Human
-
分类: 科研抗体货号: P19077别名: MAS L; MAS R; MAS1L; MRG;;MAS1L应用: WB;IP反应种属: Human
-
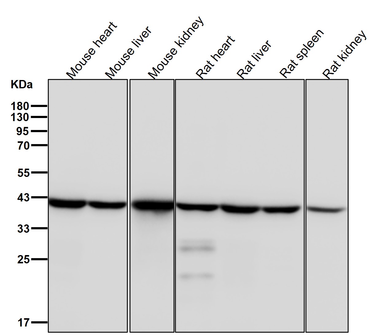
分类: 科研抗体货号: P19076别名: ACAD3; ACADS; Bcd1; SCAD;;ACADS应用: WB;IHC;IP反应种属: Human,Mouse,Rat
-
分类: 科研抗体货号: P19096别名: Inositol 1; itpk1; ITRPK1;;ITPK1应用: WB;IHC反应种属: Human
-
分类: 科研抗体货号: P19075别名: Exoc3; Sec6; SEC6L1; Sec6p;;Exocyst complex component 3应用: WB,IHC/IHF,IF,IP反应种属: Human,Mouse,Rat
-
分类: 科研抗体货号: P19095别名: HNRNPGT; HNRPGT; RBMXL2;;hnRNP G-T应用: WB,IF,IP反应种属: Human,Mouse,Rat
-
分类: 科研抗体货号: P19074别名: CYFIP1; P140SRA1; SHYC; SRA1;;CYFIP1应用: WB,IF,FCM反应种属: Human,Mouse,Rat
-
分类: 科研抗体货号: P19093别名: hTIF1; PTC6; RNF82; TF1A; TIF1; TIF1A; TIF1ALPHA; Trim24;;TRIM24应用: WB,IHC/IHF,IF,反应种属: Human
-
分类: 科研抗体货号: P19073别名: DNAJC12; HPANBH4; JDP1; mJDP1;;DNAJC12应用: WB反应种属: Human,Mouse
-
分类: 科研抗体货号: P19092别名: myo19; Myohd1; myosin XIX;;Myosin 19应用: WB,IF反应种属: Human
鄂公网安备42018502007531号

