Rabbit Polyclonal Antibody to p38 (Phospho-Tyr323)
货号:
P40917
别名:
MAPK14; CSBP; CSBP1; CSBP2; CSPB1; MXI2; SAPK2A; Mitogen-activated protein kinase 14; MAP kinase 14; MAPK 14; Cytokine suppressive anti-inflammatory drug-binding protein; CSAID-binding protein; CSBP; MAP kinase MXI2; MAX-interacting protein
应用:
WB,IHC,IF
反应种属:
Human,Mouse,Rat
抗体类型:
Primary antibody
Swissprot:
Q16539
规格:
目录价
在线咨询
Specification |
|
|---|---|
| Aliases | MAPK14; CSBP; CSBP1; CSBP2; CSPB1; MXI2; SAPK2A; Mitogen-activated protein kinase 14; MAP kinase 14; MAPK 14; Cytokine suppressive anti-inflammatory drug-binding protein; CSAID-binding protein; CSBP; MAP kinase MXI2; MAX-interacting protein |
| Entrez GeneID | 1432; |
| Swissprot | Q16539 |
| WB Predicted band size | 35kDa |
| Host/Isotype | Rabbit IgG |
| Antibody Type | Primary antibody |
| Storage | Store at 4°C short term. Aliquot and store at -20°C long term. Avoid freeze/thaw cycles. |
| Species Reactivity | Human,Mouse,Rat |
| Immunogen | Synthesized peptide derived from human p38 around the phosphorylation site of Y323. |
| Formulation | Purified antibody in PBS with 0.05% sodium azide,0.5%BSA and 50% glycerol. |
Application |
|
|---|---|
| WB | 1/500-1/2000 |
| IHC | 1/100-1/300 |
| IF | 1/50-200 |
| ELISA | 1/5000 |
Product Image
-
Western Blot analysis of HEPG2-UV cells using Phospho-p38 (Y323) Polyclonal Antibody

-
Western Blot analysis of 823 293-UV 22RV1 cells using Phospho-p38 (Y323) Polyclonal Antibody

-
Western Blot analysis of HELA using Phospho-p38 (Y323) Polyclonal Antibody.

-
Immunofluorescence analysis of human-stomach tissue.

-
Immunohistochemical analysis of paraffin-embedded Mouse-heart tissue.

-
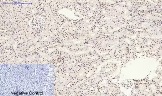
Immunohistochemical analysis of paraffin-embedded Rat-kidney tissue.

-
Immunohistochemical analysis of paraffin-embedded Human-uterus tissue.








鄂公网安备42018502007531号

