Rabbit Polyclonal Antibody to FKHR(Phospho-Ser256)
货号:
P40113
别名:
FKHR; FOXO1;
应用:
WB,IHC,IF
反应种属:
Human,Mouse,Rat
抗体类型:
Primary antibody
Swissprot:
Q12778
规格:
目录价
在线咨询
Description |
|---|
Transcription factor that is the main target of insulin signaling and regulates metabolic homeostasis in response to oxidative stress. Binds to the insulin response element (IRE) with consensus sequence 5'-TT[G/A]TTTTG-3' and the related Daf-16 family binding element (DBE) with consensus sequence 5'-TT[G/A]TTTAC-3'. Activity suppressed by insulin. Main regulator of redox balance and osteoblast numbers and controls bone mass. Orchestrates the endocrine function of the skeleton in regulating glucose metabolism. Acts syngernistically with ATF4 to suppress osteocalcin/BGLAP activity, increasing glucose levels and triggering glucose intolerance and insulin insensitivity. Also suppresses the transcriptional activity of RUNX2, an upstream activator of osteocalcin/BGLAP. In hepatocytes, promotes gluconeogenesis by acting together with PPARGC1A to activate the expression of genes such as IGFBP1, G6PC and PPCK1. Important regulator of cell death acting downstream of CDK1, PKB/AKT1 and SKT4/MST1. Promotes neural cell death. Mediates insulin action on adipose. Regulates the expression of adipogenic genes such as PPARG during preadipocyte differentiation and, adipocyte size and adipose tissue-specific gene expression in response to excessive calorie intake. Regulates the transcriptional activity of GADD45A and repair of nitric oxide-damaged DNA in beta-cells. |
References |
|---|
| Guo S., Rena G., Cichy S., He X., Cohen P., Unterman T.J. Biol. Chem. 274:17184-17192(1999) Zhang X., Gan L., Pan H., Guo S., He X., Olson S.T., Mesecar A., Adam S., Unterman T.G.J. Biol. Chem. 277:45276-45284(2002) Daitoku H., Hatta M., Matsuzaki H., Aratani S., Ohshima T., Miyagishi M., Nakajima T., Fukamizu A.Proc. Natl. Acad. Sci. U.S.A. 101:10042-10047(2004) |
Specification |
|
|---|---|
| Aliases | FKHR; FOXO1; |
| Entrez GeneID | 2308; |
| Swissprot | Q12778 |
| WB Predicted band size | 70kDa |
| Host/Isotype | Rabbit IgG |
| Antibody Type | Primary antibody |
| Storage | Store at 4°C short term. Aliquot and store at -20°C long term. Avoid freeze/thaw cycles. |
| Species Reactivity | Human,Mouse,Rat |
| Immunogen | A synthesized peptide derived from human FOXO1A around the phosphorylation site of Ser256. |
| Formulation | Purified antibody in PBS with 0.05% sodium azide. |
Application |
|
|---|---|
| WB | 1/500-1/2000 |
| IHC | 1/50-1/200 |
| IF | 1/100-1/500 |
Product Image
-
Western blot analysis of extracts from 293 cells untreated or treated with serum using FKHR(Phospho-Ser256) Antibody P40113.

-
Immunoprecipitation analysis of extracts of 293T cells incubated with FKHR (Phospho-Ser256) Antibody

-
Immunoprecipitation analysis of extracts of 293T cells incubated with FKHR (Phospho-Ser256) Antibody

-
Immunofluorescence staining of methanol-fixed MCF7 cells using FKHR(Phospho-Ser256) Antibody P40113.

-
Immunofluorescence staining of methanol-fixed MEF cells untreated or treated with LY2904 using FKHR (Phospho-Ser256) Antibody P40113.

-
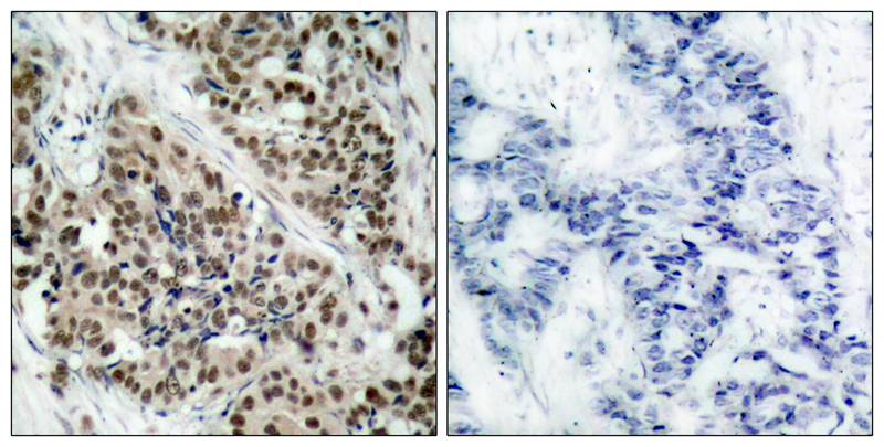
Immunohistochemical analysis of paraffin-embedded human breast carcinoma tissue using FKHR (Phospho-Ser256) Antibody P40113 (left) or the same antibody preincubated with blocking peptide (right).







鄂公网安备42018502007531号

