Rabbit Polyclonal Antibody to GSK3β(Phospho-Ser9)
货号:
P40002
别名:
Factor A, GSK-3 beta, Protein kinase GSK-3-beta, kinase GSK-3 beta
应用:
WB,IHC,IF
反应种属:
Human,Mouse,Rat
抗体类型:
Primary antibody
Swissprot:
P49841
规格:
目录价
在线咨询
Description |
|---|
Participates in the Wnt signaling pathway. Implicated in the hormonal control of several regulatory proteins including glycogen synthase, MYB and the transcription factor JUN. Phosphorylates JUN at sites proximal to its DNA-binding domain, thereby reducing its affinity for DNA. Phosphorylates MUC1 in breast cancer cells, and decreases the interaction of MUC1 with CTNNB1/beta-catenin. Phosphorylates CTNNB1/beta-catenin. |
References |
|---|
| Fan G, et al. (2003) J Biol Chem. 278(52): 52432-52436. Barry FA, et al. (2003) FEBS Lett. 553(1-2): 173-178. Welsh, et al. (1996) Trends Cell Biol. 6: 274-279. Srivastava A K, et al. (1998) Mol Cell Biochem. 182: 135-141. |
Specification |
|
|---|---|
| Aliases | Factor A, GSK-3 beta, Protein kinase GSK-3-beta, kinase GSK-3 beta |
| Entrez GeneID | 2932; |
| Swissprot | P49841 |
| WB Predicted band size | 46kDa |
| Host/Isotype | Rabbit IgG |
| Antibody Type | Primary antibody |
| Storage | Store at 4°C short term. Aliquot and store at -20°C long term. Avoid freeze/thaw cycles. |
| Species Reactivity | Human,Mouse,Rat |
| Immunogen | Peptide sequence around phosphorylation site of serine 9 (T-T-S(p)-F-A) derived from Human GSK3β. |
| Formulation | Purified antibody in PBS with 0.05% sodium azide. |
Application |
|
|---|---|
| WB | 1/500-1/1000 |
| IHC | 1/50-1/100 |
| IF | 1/100-1/200 |
Product Image
-
Western blot analysis of extracts from 293 cells untreated(lane 1) or treated with serum(lane 2) using GSK3β(Phospho-Ser9) Antibody P40002.

-
Western blot analysis of extracts from Hela cells, treated with EGF or calf intestinal phosphatase (CIP), using GSK3β (Phospho-Ser9) Antibody P40002.

-
Immunofluorescence staining of methanol-fixed Hela cells showing cytoplasmic staining using GSK3β(Phospho-Ser9) Antibody P40002.

-
Immunofluorescence staining of methanol-fixed Hela cells showing cytoplasmic staining using GSK3β (Phospho-Ser9) Antibody P40002.

-
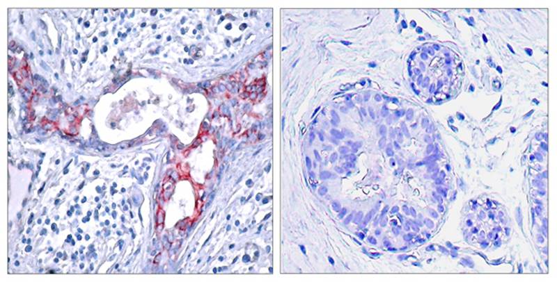
Immunohistochemical analysis of paraffin-embedded human breast carcinoma tissue using GSK3β (Phospho-Ser9) Antibody P40002 (left) or the same antibody preincubated with blocking peptide (right).

-
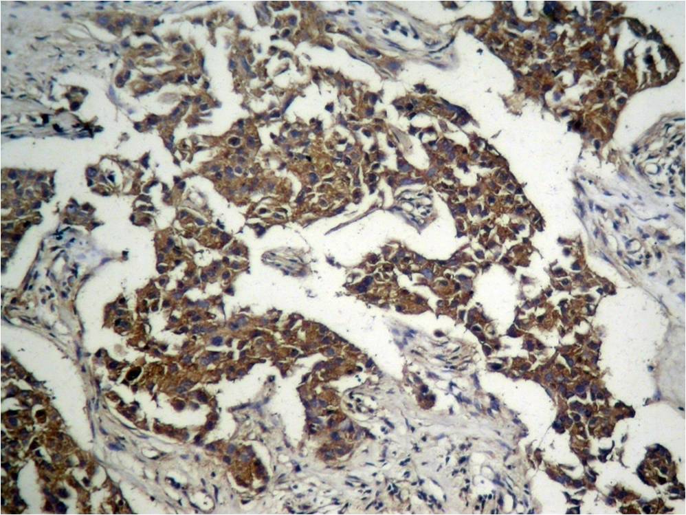
Immunohistochemical analysis of paraffin-embedded human Lung carcinoma tissue using GSK3β (Phospho-Ser9) Antibody P40002.







鄂公网安备42018502007531号

