Rabbit Polyclonal Antibody to MPP7 (N-term)
货号:
P34968
别名:
MAGUK p55 subfamily member 7, MPP7
应用:
WB,IHC,FCM
反应种属:
Human, Mouse, Rat
抗体类型:
Primary antibody
Swissprot:
Q5T2T1
规格:
目录价
在线咨询
Description |
|---|
Acts as an important adapter that promotes epithelial cell polarity and tight junction formation via its interaction with DLG1. Involved in the assembly of protein complexes at sites of cell-cell contact. |
Specification |
|
|---|---|
| Aliases | MAGUK p55 subfamily member 7, MPP7 |
| Entrez GeneID | 143098 |
| Swissprot | Q5T2T1 |
| WB Predicted band size | 65.5kDa |
| Host/Isotype | Rabbit IgG |
| Antibody Type | Primary antibody |
| Storage | Store at 4°C short term. Aliquot and store at -20°C long term. Avoid freeze/thaw cycles. |
| Species Reactivity | Human, Mouse, Rat |
| Immunogen | This MPP7 antibody is generated from a rabbit immunized with a KLH conjugated synthetic peptide between 2-36 amino acids from the N-terminal region of human MPP7. |
| Formulation | Purified antibody in PBS with 0.05% sodium azide. |
Application |
|
|---|---|
| WB | 1/500-1/1000 |
| IHC | 1/100-1/500 |
| FCM | 1/25 |
Product Image
-
All lanes : Anti-MPP7 Antibody (N-term) at 1:1000 dilution Lane 1: T47D whole cell lysate Lane 2: Caco2 whole cell lysate Lysates/proteins at 20 µg per lane. Secondary Goat Anti-Rabbit IgG, (H+L), Peroxidase conjugated at 1/10000 dilution. Observed band size : 66kDa Blocking/Dilution buffer: 5% NFDM/TBST.

-
All lanes : Anti-MPP7 Antibody (N-term) at 1:1000 dilution Lane 1: T47D whole cell lysate Lane 2: Caco2 whole cell lysate Lane 3: A431 whole cell lysate Lysates/proteins at 20 µg per lane. Secondary Goat Anti-Rabbit IgG, (H+L), Peroxidase conjugated(ASP1615) at 1/10000 dilution. Observed band size : 66kDa Blocking/Dilution buffer: 5% NFDM/TBST.

-
All lanes : Anti-MPP7 Antibody (N-term) at 1:1000 dilution Lane 1: T47D whole cell lysate Lane 2: Caco2 whole cell lysate Lysates/proteins at 20 µg per lane. Secondary Goat Anti-Rabbit IgG, (H+L), Peroxidase conjugated at 1/10000 dilution. Observed band size : 66kDa Blocking/Dilution buffer: 5% NFDM/TBST.

-
Flow cytometric analysis of Hela cells using MPP7 Antibody (N-term)(green, Cat#P34968) compared to an isotype control of rabbit IgG(blue). P34968 was diluted at 1:25 dilution. An Alexa Fluor® 488 goat anti-rabbit lgG at 1:400 dilution was used as the secondary antibody.

-
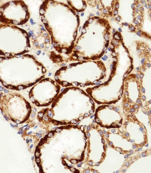
Immunohistochemical analysis of paraffin-embedded H. kidney section using MPP7 Antibody (N-term)(Cat#P34968). P34968 was diluted at 1:100 dilution. A peroxidase-conjugated goat anti-rabbit IgG at 1:400 dilution was used as the secondary antibody, followed by DAB staining.

-
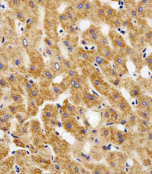
Immunohistochemical analysis of paraffin-embedded H. liver section using MPP7 Antibody (N-term)(Cat#P34968). P34968 was diluted at 1:100 dilution. A peroxidase-conjugated goat anti-rabbit IgG at 1:400 dilution was used as the secondary antibody, followed by DAB staining.

-
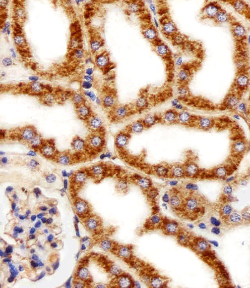
Immunohistochemical analysis of paraffin-embedded M. kidney section using MPP7 Antibody (N-term)(Cat#P34968). P34968 was diluted at 1:25 dilution. A peroxidase-conjugated goat anti-rabbit IgG at 1:400 dilution was used as the secondary antibody, followed by DAB staining.








鄂公网安备42018502007531号

