Rabbit Polyclonal Antibody to ENAM
货号:
P34939
别名:
Enamelin, ENAM
应用:
WB,IHC,FCM
反应种属:
Human
抗体类型:
Primary antibody
Swissprot:
Q9NRM1
规格:
目录价
在线咨询
Specification |
|
|---|---|
| Aliases | Enamelin, ENAM |
| Entrez GeneID | 10117 |
| Swissprot | Q9NRM1 |
| WB Predicted band size | 128.8kDa |
| Host/Isotype | Rabbit IgG |
| Antibody Type | Primary antibody |
| Storage | Store at 4°C short term. Aliquot and store at -20°C long term. Avoid freeze/thaw cycles. |
| Species Reactivity | Human |
| Immunogen | This ENAM antibody is generated from rabbits immunized with a KLH conjugated synthetic peptide between 1097-1126 amino acids from the C-terminal region of human ENAM. |
| Formulation | Purified antibody in PBS with 0.05% sodium azide. |
Application |
|
|---|---|
| WB | 1/1000 |
| IHC | 1/100-1/500 |
| FCM | 1/10-1/50 |
Product Image
-
All lanes : Anti-ENAM Antibody (C-term) at 1:1000 dilution Lane 1: U-87 MG whole cell lysate Lane 2: K562 MG whole cell lysate Lysates/proteins at 20 µg per lane. Secondary Goat Anti-Rabbit IgG, (H+L), Peroxidase conjugated (ASP1615) at 1/15000 dilution. Observed band size : 95kDa Blocking/Dilution buffer: 5% NFDM/TBST.

-
All lanes : Anti-ENAM Antibody (C-term) at 1:1000 dilution Lane 1: K562 whole cell lysate Lane 2: U-87 MG whole cell lysate Lysates/proteins at 20 µg per lane. Secondary Goat Anti-Rabbit IgG, (H+L), Peroxidase conjugated (ASP1615) at 1/15000 dilution. Observed band size : 95kDa Blocking/Dilution buffer: 5% NFDM/TBST.

-
ENAM Antibody (C-term) (Cat. #P34939) western blot analysis in K562 cell line lysates (35ug/lane).This demonstrates the ENAM antibody detected the ENAM protein (arrow).

-
ENAM Antibody (C-term) (Cat. #P34939) flow cytometric analysis of K562 cells (right histogram) compared to a negative control cell (left histogram).FITC-conjugated goat-anti-rabbit secondary antibodies were used for the analysis.

-
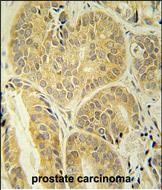
ENAM antibody(C-term) (Cat. #P34939) immunohistochemistry analysis in formalin fixed and paraffin embedded human prostate carcinoma followed by peroxidase conjugation of the secondary antibody and DAB staining. This data demonstrates the use of the ENAM antibody(C-term) for immunohistochemistry. Clinical relevance has not been evaluated.






鄂公网安备42018502007531号

