Rabbit Polyclonal Antibody to KLF6
货号:
P34940
别名:
Krueppel-like factor 6, B-cell-derived protein 1, Core promoter element-binding protein, GC-rich sites-binding factor GBF, Proto-oncogene BCD1, Suppressor of tumorigenicity 12 protein, Transcription factor Zf9, KLF6, BCD1, COPEB, CPBP, ST12
应用:
WB,IHC,IF,FCM
反应种属:
Human, Mouse, Rat
抗体类型:
Primary antibody
Swissprot:
Q99612
规格:
目录价
在线咨询
Description |
|---|
COPEB is a member of the Kruppel-like family of transcription factors. The zinc finger protein is a transcriptional activator, and functions as a tumor suppressor. |
Specification |
|
|---|---|
| Aliases | Krueppel-like factor 6, B-cell-derived protein 1, Core promoter element-binding protein, GC-rich sites-binding factor GBF, Proto-oncogene BCD1, Suppressor of tumorigenicity 12 protein, Transcription factor Zf9, KLF6, BCD1, COPEB, CPBP, ST12 |
| Entrez GeneID | 1316 |
| Swissprot | Q99612 |
| WB Predicted band size | 31.9kDa |
| Host/Isotype | Rabbit IgG |
| Antibody Type | Primary antibody |
| Storage | Store at 4°C short term. Aliquot and store at -20°C long term. Avoid freeze/thaw cycles. |
| Species Reactivity | Human, Mouse, Rat |
| Immunogen | This KLF6 antibody is generated from rabbits immunized with a KLH conjugated synthetic peptide between 159-186 amino acids from the C-terminal region of human KLF6. |
| Formulation | Purified antibody in PBS with 0.05% sodium azide,1%BSA and 50% glycerol.prepared by Saturated Ammonium Sulfate (SAS) . |
Application |
|
|---|---|
| WB | 1/1000 |
| IHC | 1/100-1/500 |
| IF | 1/10-1/50 |
| FCM | 1/10-1/50 |
Product Image
-
All lanes : Anti-KLF6 Antibody (C-term) at 1:1000 dilution Lane 1: HT-29 whole cell lysate Lane 2: mouse stomach tissue lysate Lysates/proteins at 20 µg per lane. Secondary Goat Anti-Rabbit IgG, (H+L), Peroxidase conjugated (ASP1615) at 1/15000 dilution. Observed band size : 35kDa Blocking/Dilution buffer: 5% NFDM/TBST.

-
Western blot analysis of KLF6 Antibody (C-term) (Cat. #P34940) in mouse stomach tissue lysates (35ug/lane). KLF6 (arrow) was detected using the purified Pab.

-
Fluorescent confocal image of Hela cell stained with KLF6 Antibody (C-term)(Cat#P34940).Hela cells were fixed with 4% PFA (20 min), permeabilized with Triton X-100 (0.1%, 10 min), then incubated with KLF6 primary antibody (1:25, 1 h at 37℃). For secondary antibody, Alexa Fluor® 488 conjugated donkey anti-rabbit antibody (green) was used (1:400, 50 min at 37℃).Cytoplasmic actin was counterstained with Alexa Fluor® 555 (red) conjugated Phalloidin (7units/ml, 1 h at 37℃). Nuclei were counterstained with DAPI (blue) (10 µg/ml, 10 min). KLF6 immunoreactivity is localized to Nucleus significantly.

-
Flow cytometric analysis of widr cells using KLF6 Antibody (C-term)(bottom histogram) compared to a negative control cell (top histogram)FITC-conjugated goat-anti-rabbit secondary antibodies were used for the analysis.

-
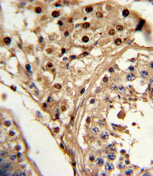
Formalin-fixed and paraffin-embedded human testis tissue reacted with KLF6 Antibody (C-term), which was peroxidase-conjugated to the secondary antibody, followed by DAB staining. This data demonstrates the use of this antibody for immunohistochemistry; clinical relevance has not been evaluated.






鄂公网安备42018502007531号

