Rabbit Polyclonal Antibody to C4orf39
货号:
P34921
别名:
Protein FAM218A, FAM218A, C4orf39
应用:
WB,IHC,IF,FCM
反应种属:
Human
抗体类型:
Primary antibody
Swissprot:
Q96MZ4
规格:
目录价
在线咨询
Specification |
|
|---|---|
| Aliases | Protein FAM218A, FAM218A, C4orf39 |
| Swissprot | Q96MZ4 |
| WB Predicted band size | 17.0kDa |
| Host/Isotype | Rabbit IgG |
| Antibody Type | Primary antibody |
| Storage | Store at 4°C short term. Aliquot and store at -20°C long term. Avoid freeze/thaw cycles. |
| Species Reactivity | Human |
| Immunogen | This C4orf39 antibody is generated from rabbits immunized with a KLH conjugated synthetic peptide between 98-127 amino acids from the C-terminal region of human C4orf39. |
| Formulation | Purified antibody in PBS with 0.05% sodium azide. |
Application |
|
|---|---|
| WB | 1/500-1/1000 |
| IHC | 1/100-1/500 |
| IF | 1/10-1/50 |
| FCM | 1/10-1/50 |
Product Image
-
All lanes : Anti-C4orf39 Antibody (C-term) at 1:500 dilution Lane 1: SK-BR-3 whole cell lysate Lysates/proteins at 20 µg per lane. Secondary Goat Anti-Rabbit IgG, (H+L), Peroxidase conjugated (ASP1615) at 1/15000 dilution. Observed band size : 19kDa Blocking/Dilution buffer: 5% NFDM/TBST.

-
C4orf39 Antibody (C-term) (Cat. #P34921) western blot analysis in NCI-H460 cell line lysates (35ug/lane).This demonstrates the C4orf39 antibody detected the C4orf39 protein (arrow).

-
Confocal immunofluorescent analysis of C4orf39 Antibody (C-term)(Cat#P34921) with NCI-H460 cell followed by Alexa Fluor 488-conjugated goat anti-rabbit lgG (green). DAPI was used to stain the cell nuclear (blue).

-
C4orf39 Antibody (C-term) (Cat. #P34921) flow cytometric analysis of NCI-H460 cells (right histogram) compared to a negative control cell (left histogram).FITC-conjugated goat-anti-rabbit secondary antibodies were used for the analysis.

-
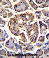
C4orf39 Antibody (C-term) (Cat. #P34921)immunohistochemistry analysis in formalin fixed and paraffin embedded human pancreas tissue followed by peroxidase conjugation of the secondary antibody and DAB staining.This data demonstrates the use of C4orf39 Antibody (C-term) for immunohistochemistry. Clinical relevance has not been evaluated.






鄂公网安备42018502007531号

