Rabbit Polyclonal Antibody to SCUBE2 (Center N266)
货号:
P34924
别名:
Signal peptide, CUB and EGF-like domain-containing protein 2, Protein CEGP1, SCUBE2, CEGP1
应用:
WB,IHC,IF
反应种属:
Human, Mouse, Rat
抗体类型:
Primary antibody
Swissprot:
Q9NQ36
规格:
目录价
在线咨询
Specification |
|
|---|---|
| Aliases | Signal peptide, CUB and EGF-like domain-containing protein 2, Protein CEGP1, SCUBE2, CEGP1 |
| Entrez GeneID | 57758 |
| Swissprot | Q9NQ36 |
| WB Predicted band size | 110.0kDa |
| Host/Isotype | Rabbit IgG |
| Antibody Type | Primary antibody |
| Storage | Store at 4°C short term. Aliquot and store at -20°C long term. Avoid freeze/thaw cycles. |
| Species Reactivity | Human, Mouse, Rat |
| Immunogen | This SCUBE2 antibody is generated from rabbits immunized with a KLH conjugated synthetic peptide between 251-280 amino acids from the Central region of human SCUBE2. |
| Formulation | Purified antibody in PBS with 0.05% sodium azide. |
Application |
|
|---|---|
| WB | 1/1000 |
| IHC | 1/100-1/500 |
| IF | 1/10-1/50 |
Product Image
-
All lanes : Anti-SCUBE2 Antibody (Center N266) at 1:1000 dilution Lane 1: Hela whole cell lysate Lysates/proteins at 20 µg per lane. Secondary Goat Anti-Rabbit IgG, (H+L), Peroxidase conjugated (ASP1615) at 1/15000 dilution. Observed band size : 90kDa Blocking/Dilution buffer: 5% NFDM/TBST.

-
Western blot analysis of lysates from Hela, ZR-75-1, HT-29 cell line (from left to right), using SCUBE2 Antibody (Center N266)(Cat. #P34924). P34924 was diluted at 1:1000 at each lane. A goat anti-rabbit IgG H&L(HRP) at 1:10000 dilution was used as the secondary antibody. Lysates at 20ug per lane.

-
SCUBE2 Antibody (Center N266) (Cat. #P34924) western blot analysis in MDA-MB453,ZR-75-1 cell line lysates (35ug/lane).This demonstrates the SCUBE2 antibody detected the SCUBE2 protein (arrow).

-
Confocal immunofluorescent analysis of SCUBE2 Antibody (Center N266)(Cat#P34924) with ZR-75-1 cell followed by Alexa Fluor 488-conjugated goat anti-rabbit lgG (green). DAPI was used to stain the cell nuclear (blue).

-
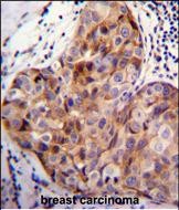
SCUBE2 Antibody (Center N266) (Cat. #P34924)immunohistochemistry analysis in formalin fixed and paraffin embedded human breast carcinoma followed by peroxidase conjugation of the secondary antibody and DAB staining.This data demonstrates the use of SCUBE2 Antibody (Center N266) for immunohistochemistry. Clinical relevance has not been evaluated.






鄂公网安备42018502007531号

