Rabbit Polyclonal Antibody to ANGPT2
货号:
P34915
别名:
Angiopoietin-2, ANG-2, ANGPT2
应用:
WB,IHC,FCM
反应种属:
Human, Mouse, Rat
抗体类型:
Primary antibody
Swissprot:
O15123
规格:
目录价
在线咨询
Description |
|---|
The protein encoded by this gene is an antagonist of angiopoietin 1 (ANGPT1) and endothelial TEK tyrosine kinase (TIE-2, TEK). The encoded protein disrupts the vascular remodeling ability of ANGPT1 and may induce endothelial cell apoptosis. Three transcript variants encoding three different isoforms have been found for this gene. |
Specification |
|
|---|---|
| Aliases | Angiopoietin-2, ANG-2, ANGPT2 |
| Entrez GeneID | 285 |
| Swissprot | O15123 |
| WB Predicted band size | 56.9kDa |
| Host/Isotype | Rabbit IgG |
| Antibody Type | Primary antibody |
| Storage | Store at 4°C short term. Aliquot and store at -20°C long term. Avoid freeze/thaw cycles. |
| Species Reactivity | Human, Mouse, Rat |
| Immunogen | This ANGPT2 antibody is generated from rabbits immunized with a KLH conjugated synthetic peptide between 404-432 amino acids from the C-terminal region of human ANGPT2. |
| Formulation | Purified antibody in PBS with 0.05% sodium azide. |
Application |
|
|---|---|
| WB | 1/500-1/2000 |
| IHC | 1/100-1/500 |
| FCM | 1/25 |
Product Image
-
All lanes : Anti-ANGPT2 Antibody (C-term) at 1:500 dilution Lane 1: mouse ovary tissue lysate Lane 2: rat kidney tissue lysate Lysates/proteins at 20 µg per lane. Secondary Goat Anti-Rabbit IgG, (H+L), Peroxidase conjugated (ASP1615) at 1/15000 dilution. Observed band size : 61kDa Blocking/Dilution buffer: 5% NFDM/TBST.

-
All lanes : Anti-ANGPT2 Antibody (C-term) at 1:500 dilution Lane 1: mouse ovary tissue lysate Lysates/proteins at 20 µg per lane. Secondary Goat Anti-Rabbit IgG, (H+L), Peroxidase conjugated (ASP1615) at 1/15000 dilution. Observed band size : 61kDa Blocking/Dilution buffer: 5% NFDM/TBST.

-
ANGPT2 Antibody (C-term) (Cat. #P34915) western blot analysis in mouse kidney tissue lysates (35ug/lane).This demonstrates the ANGPT2 antibody detected the ANGPT2 protein (arrow).

-
Overlay histogram showing A549 cells stained with P34915 (green line). The cells were fixed with 2% paraformaldehyde (10 min) and then permeabilized with 90% methanol for 10 min. The cells were then icubated in 2% bovine serum albumin to block non-specific protein-protein interactions followed by the antibody (P34915, 1:25 dilution) for 60 min at 37ºC. The secondary antibody used was Goat-Anti-Rabbit IgG, DyLight® 488 Conjugated Highly Cross-Adsorbed(OH191631) at 1/200 dilution for 40 min at 37ºC. Isotype control antibody (blue line) was rabbit IgG (1μg/1x10^6 cells) used under the same conditions. Acquisition of >10, 000 events was performed.

-
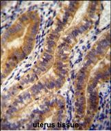
ANGPT2 antibody (C-term) (Cat. #P34915) immunohistochemistry analysis in formalin fixed and paraffin embedded human uterus tissue followed by peroxidase conjugation of the secondary antibody and DAB staining.This data demonstrates the use of the ANGPT2 antibody (C-term) for immunohistochemistry. Clinical relevance has not been evaluated.






鄂公网安备42018502007531号

