Rabbit Polyclonal Antibody to NPC1
货号:
P34840
别名:
Niemann-Pick C1 protein, NPC1
应用:
WB,IHC,IF
反应种属:
Human, Mouse
抗体类型:
Primary antibody
Swissprot:
O15118
规格:
目录价
在线咨询
Description |
|---|
This gene encodes a large protein that resides in the limiting membrane of endosomes and lysosomes and mediates intracellular cholesterol trafficking via binding of cholesterol to its N-terminal domain. It is predicted to have a cytoplasmic C-terminus, 13 transmembrane domains, and 3 large loops in the lumen of the endosome - the last loop being at the N-terminus. This protein transports low-density lipoproteins to late endosomal/lysosomal compartments where they are hydrolized and released as free cholesterol. Defects in this gene cause Niemann-Pick type C disease, a rare autosomal recessive neurodegenerative disorder characterized by over accumulation of cholesterol and glycosphingolipids in late endosomal/lysosomal compartments. |
Specification |
|
|---|---|
| Aliases | Niemann-Pick C1 protein, NPC1 |
| Entrez GeneID | 4864 |
| Swissprot | O15118 |
| WB Predicted band size | 142.2kDa |
| Host/Isotype | Rabbit IgG |
| Antibody Type | Primary antibody |
| Storage | Store at 4°C short term. Aliquot and store at -20°C long term. Avoid freeze/thaw cycles. |
| Species Reactivity | Human, Mouse |
| Immunogen | This NPC1 antibody is generated from rabbits immunized with a KLH conjugated synthetic peptide between 591-620 amino acids from the Central region of human NPC1. |
| Formulation | Purified antibody in PBS with 0.05% sodium azide. |
Application |
|
|---|---|
| WB | 1/1000-1/2000 |
| IHC | 1/100-1/500 |
| IF | 1/10-1/50 |
Product Image
-
Anti-NPC1 Antibody (Center) at 1:2000 dilution + Hela whole cell lysate Lysates/proteins at 20 µg per lane. Secondary Goat Anti-Rabbit IgG, (H+L), Peroxidase conjugated at 1/10000 dilution. Predicted band size : 142 kDa Blocking/Dilution buffer: 5% NFDM/TBST.

-
Anti-NPC1 Antibody (Center) at 1:1000 dilution + NCI-H460 whole cell lysate Lysates/proteins at 20 µg per lane. Secondary Goat Anti-Rabbit IgG, (H+L), Peroxidase conjugated at 1/10000 dilution. Predicted band size : 142 kDa Blocking/Dilution buffer: 5% NFDM/TBST.

-
NPC1 Antibody (Center) (Cat. #P34840) western blot analysis in NCI-H460 cell line lysates (35ug/lane).This demonstrates the NPC1 antibody detected the NPC1 protein (arrow).

-
Confocal immunofluorescent analysis of NPC1 Antibody (Center) (Cat#P34840) with 293 cell followed by Alexa Fluor 488-conjugated goat anti-rabbit lgG (green). DAPI was used to stain the cell nuclear (blue).

-
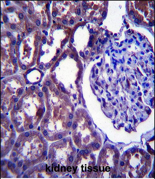
NPC1 Antibody (Center) (Cat. #P34840)immunohistochemistry analysis in formalin fixed and paraffin embedded human kidney tissue followed by peroxidase conjugation of the secondary antibody and DAB staining.This data demonstrates the use of NPC1 Antibody (Center) for immunohistochemistry. Clinical relevance has not been evaluated.






鄂公网安备42018502007531号

