Rabbit Polyclonal Antibody to Mouse Nlrp6
货号:
P34726
别名:
NACHT, LRR and PYD domains-containing protein 6, Angiotensin II/vasopressin receptor, PYRIN-containing APAF1-like protein 5-like, Nlrp6, Nalp6, Pypaf5
应用:
WB,IHC
反应种属:
Human, Mouse, Rat
抗体类型:
Primary antibody
Swissprot:
Q91WS2
规格:
目录价
在线咨询
Description |
|---|
Nlrp6 may mediate activation of CASP1 via ASC and promote activation of NF-kappa-B (By similarity). |
Specification |
|
|---|---|
| Aliases | NACHT, LRR and PYD domains-containing protein 6, Angiotensin II/vasopressin receptor, PYRIN-containing APAF1-like protein 5-like, Nlrp6, Nalp6, Pypaf5 |
| Entrez GeneID | 101613 |
| Swissprot | Q91WS2 |
| WB Predicted band size | 97.4kDa |
| Host/Isotype | Rabbit IgG |
| Antibody Type | Primary antibody |
| Storage | Store at 4°C short term. Aliquot and store at -20°C long term. Avoid freeze/thaw cycles. |
| Species Reactivity | Human, Mouse, Rat |
| Immunogen | This Mouse Nlrp6 antibody is generated from rabbits immunized with a KLH conjugated synthetic peptide between 343-372 amino acids from the Central region of mouse Nlrp6. |
| Formulation | Purified antibody in PBS with 0.05% sodium azide. |
Application |
|
|---|---|
| WB | 1/500 |
| IHC | 1/100-1/500 |
Product Image
-
All lanes : Anti-Mouse Nlrp6 Antibody (Center) at 1:500 dilution Lane 1: Mouse small intestine lysate Lane 2: Mouse heart lysate Lane 3: Mouse spleen lysate Lysates/proteins at 20 µg per lane. Secondary Goat Anti-Rabbit IgG, (H+L), Peroxidase conjugated at 1/10000 dilution. Predicted band size : 97 kDa Blocking/Dilution buffer: 5% NFDM/TBST.

-
All lanes : Anti-Mouse Nlrp6 Antibody (Center) at 1:1000 dilution Lane 1: Mouse small intestine lysate Lane 2: Mouse spleen lysate Lysates/proteins at 20 µg per lane. Secondary Goat Anti-Rabbit IgG, (H+L), Peroxidase conjugated at 1/10000 dilution. Predicted band size : 97 kDa Blocking/Dilution buffer: 5% NFDM/TBST.

-
All lanes : Anti-Mouse Nlrp6 Antibody (Center) at 1:500 dilution Lane 1: Mouse small intestine lysate Lane 2: Mouse liver lysate Lane 3: Mouse spleen lysate Lysates/proteins at 20 µg per lane. Secondary Goat Anti-Rabbit IgG, (H+L), Peroxidase conjugated at 1/10000 dilution. Predicted band size : 97 kDa Blocking/Dilution buffer: 5% NFDM/TBST.

-
Immunohistochemical analysis of paraffin-embedded mouse spleen tissue using P34726 performed on the Leica® BOND RXm. Tissue was fixed with formaldehyde at room temperature, antigen retrieval was by heat mediation with a EDTA buffer (pH9. 0). Samples were incubated with primary antibody(1:500) for 1 hours at room temperature. A undiluted biotinylated CRF Anti-Polyvalent HRP Polymer antibody was used as the secondary antibody.

-
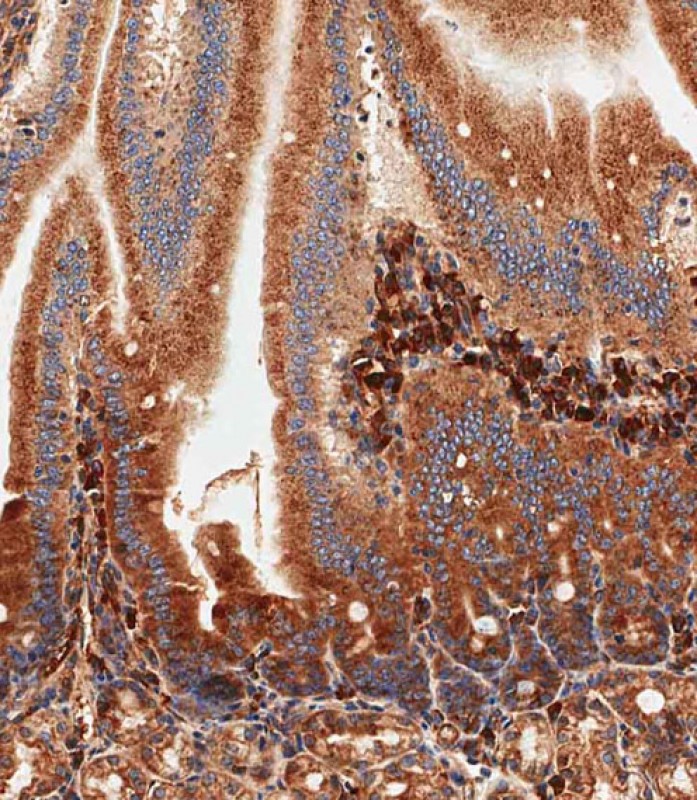
Immunohistochemical analysis of paraffin-embedded mouse small intestine tissue using P34726 performed on the Leica® BOND RXm. Tissue was fixed with formaldehyde at room temperature, antigen retrieval was by heat mediation with a EDTA buffer (pH9. 0). Samples were incubated with primary antibody(1:500) for 1 hours at room temperature. A undiluted biotinylated CRF Anti-Polyvalent HRP Polymer antibody was used as the secondary antibody.






鄂公网安备42018502007531号

