Rabbit Polyclonal Antibody to GREMLIN
货号:
P34598
别名:
Gremlin-1, Cysteine knot superfamily 1, BMP antagonist 1, Down-regulated in Mos-transformed cells protein, Grem1, Cktsf1b1, Drm
应用:
WB,IHC
反应种属:
Human, Mouse, Rat
抗体类型:
Primary antibody
Swissprot:
O70326
规格:
目录价
在线咨询
Description |
|---|
GREMLIN is a member of the BMP (bone morphogenic protein) antagonist family. Like BMPs, BMP antagonists contain cystine knots and typically form homo- and heterodimers. The CAN (cerberus and dan) subfamily of BMP antagonists, to which this gene belongs, is characterized by a C-terminal cystine knot with an eight-membered ring. The antagonistic effect of the secreted glycosylated protein encoded by this gene is likely due to its direct binding to BMP proteins. As an antagonist of BMP, this gene may play a role in regulating organogenesis, body patterning, and tissue differentiation. In mouse, this protein has been shown to relay the sonic hedgehog (SHH) signal from the polarizing region to the apical ectodermal ridge during limb bud outgrowth. |
Specification |
|
|---|---|
| Aliases | Gremlin-1, Cysteine knot superfamily 1, BMP antagonist 1, Down-regulated in Mos-transformed cells protein, Grem1, Cktsf1b1, Drm |
| Entrez GeneID | 23892 |
| Swissprot | O70326 |
| WB Predicted band size | 20.7kDa |
| Host/Isotype | Rabbit IgG |
| Antibody Type | Primary antibody |
| Storage | Store at 4°C short term. Aliquot and store at -20°C long term. Avoid freeze/thaw cycles. |
| Species Reactivity | Human, Mouse, Rat |
| Immunogen | This GREMLIN antibody is generated from rabbits immunized with a KLH conjugated synthetic peptide between 147-175 amino acids from the C-terminal region of mouse GREMLIN. |
| Formulation | Purified antibody in PBS with 0.05% sodium azide. |
Application |
|
|---|---|
| WB | 1/2000 |
| IHC | 1/100-1/200 |
Product Image
-
Anti-GREMLIN Antibody (C-term) at 1:2000 dilution + Mouse skeletal muscle lysate Lysates/proteins at 20 µg per lane. Secondary Goat Anti-Rabbit IgG, (H+L), Peroxidase conjugated at 1/10000 dilution. Predicted band size : 21 kDa Blocking/Dilution buffer: 5% NFDM/TBST.

-
Immunohistochemical analysis of paraffin-embedded mouse lung section using GREMLIN Antibody (C-term) (Cat#P34598). P34598 was diluted at 1:200 dilution. A undiluted biotinylated goat polyvalent antibody was used as the secondary, followed by DAB staining.

-
Immunohistochemical analysis of paraffin-embedded mouse spleen section using GREMLIN Antibody (C-term) (Cat#P34598). P34598 was diluted at 1:200 dilution. A undiluted biotinylated goat polyvalent antibody was used as the secondary, followed by DAB staining.

-
Immunohistochemical analysis of paraffin-embedded human spleen section using GREMLIN Antibody (C-term) (Cat#P34598). P34598 was diluted at 1:200 dilution. A undiluted biotinylated goat polyvalent antibody was used as the secondary, followed by DAB staining.

-
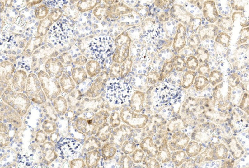
Immunohistochemical analysis of paraffin-embedded mouse kidney section using GREMLIN Antibody (C-term) (Cat#P34598). P34598 was diluted at 1:200 dilution. A undiluted biotinylated goat polyvalent antibody was used as the secondary, followed by DAB staining.






鄂公网安备42018502007531号

