Rabbit Polyclonal Antibody to COL5A1 (N-term)
货号:
P34604
别名:
Collagen alpha-1(V) chain, COL5A1
应用:
WB,IHC
反应种属:
Human, Mouse, Rat
抗体类型:
Primary antibody
Swissprot:
P20908
规格:
目录价
在线咨询
Description |
|---|
COL5A1 encodes an alpha chain for one of the low abundance fibrillar collagens. Fibrillar collagen molecules are trimers that can be composed of one or more types of alpha chains. Type V collagen is found in tissues containing type I collagen and appears to regulate the assembly of heterotypic fibers composed of both type I and type V collagen. COL5A1 product is closely related to type XI collagen and it is possible that the collagen chains of types V and XI constitute a single collagen type with tissue-specific chain combinations. Mutations in this gene are associated with Ehlers-Danlos syndrome, types I and II. [provided by RefSeq]. |
Specification |
|
|---|---|
| Aliases | Collagen alpha-1(V) chain, COL5A1 |
| Entrez GeneID | 1289 |
| Swissprot | P20908 |
| WB Predicted band size | 183.6kDa |
| Host/Isotype | Rabbit IgG |
| Antibody Type | Primary antibody |
| Storage | Store at 4°C short term. Aliquot and store at -20°C long term. Avoid freeze/thaw cycles. |
| Species Reactivity | Human, Mouse, Rat |
| Immunogen | This COL5A1 antibody is generated from rabbits immunized with a KLH conjugated synthetic peptide between 54-82 amino acids from the N-terminal region of human COL5A1. |
| Formulation | Purified antibody in PBS with 0.05% sodium azide. |
Application |
|
|---|---|
| WB | 1/1000-1/2000 |
| IHC | 1/100-1/500 |
Product Image
-
Anti-COL5A1 Antibody (N-term) at 1:1000 dilution + Hela whole cell lysate Lysates/proteins at 20 ug per lane. Secondary Goat Anti-Rabbit IgG, (H+L), Peroxidase conjugated at 1/10000 dilution. Predicted band size : 184 kDa Blocking/Dilution buffer: 5% NFDM/TBST.

-
Anti-COL5A1 Antibody (N-term) at 1:2000 dilution + Hela whole cell lysate Lysates/proteins at 20 ug per lane. Secondary Goat Anti-Rabbit IgG, (H+L), Peroxidase conjugated at 1/10000 dilution. Predicted band size : 184 kDa Blocking/Dilution buffer: 5% NFDM/TBST.

-
COL5A1 Antibody (N-term) (Cat. #P34604) western blot analysis in U251 cell line lysates (35ug/lane).This demonstrates the COL5A1 antibody detected the COL5A1 protein (arrow).

-
Immunohistochemical analysis of paraffin-embedded Human heart tissue using P34604 performed on the Leica® BOND RXm. Tissue was fixed with formaldehyde at room temperature, antigen retrieval was by heat mediation with a EDTA buffer (pH9. 0). Samples were incubated with primary antibody(1:500) for 1 hours at room temperature. A undiluted biotinylated CRF Anti-Polyvalent HRP Polymer antibody was used as the secondary antibody.

-
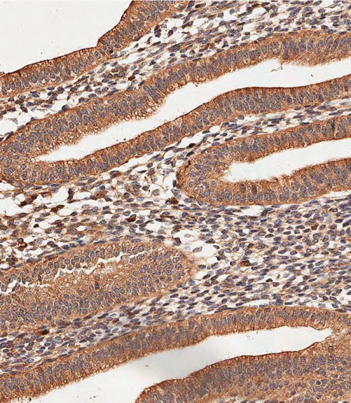
Immunohistochemical analysis of paraffin-embedded Human uterus tissue using P34604 performed on the Leica® BOND RXm. Tissue was fixed with formaldehyde at room temperature, antigen retrieval was by heat mediation with a EDTA buffer (pH9. 0). Samples were incubated with primary antibody(1:500) for 1 hours at room temperature. A undiluted biotinylated CRF Anti-Polyvalent HRP Polymer antibody was used as the secondary antibody.

-
COL5A1 antibody (N-term) (Cat. #P34604) immunohistochemistry analysis in formalin fixed and paraffin embedded mouse heart tissue followed by peroxidase conjugation of the secondary antibody and DAB staining. This data demonstrates the use of the COL5A1 antibody (N-term) for immunohistochemistry. Clinical relevance has not been evaluated.







鄂公网安备42018502007531号

