Rabbit Polyclonal Antibody to TERT (S1125)
货号:
P34388
别名:
Telomerase reverse transcriptase, HEST2, Telomerase catalytic subunit, Telomerase-associated protein 2, TP2, TERT, EST2, TCS1, TRT
应用:
WB,IHC,IF,FCM
反应种属:
Human
抗体类型:
Primary antibody
Swissprot:
O14746
规格:
目录价
在线咨询
Description |
|---|
Telomerase is a ribonucleoprotein polymerase that maintains telomere ends by addition of the telomere repeat TTAGGG. The enzyme consists of a protein component with reverse transcriptase activity, encoded by this gene, and an RNA component which serves as a template for the telomere repeat. Telomerase expression plays a role in cellular senescence, as it is normally repressed in postnatal somatic cells resulting in progressive shortening of telomeres. Deregulation of telomerase expression in somatic cells may be involved in oncogenesis. Studies in mouse suggest that telomerase also participates in chromosomal repair, since de novo synthesis of telomere repeats may occur at double-stranded breaks. |
Specification |
|
|---|---|
| Aliases | Telomerase reverse transcriptase, HEST2, Telomerase catalytic subunit, Telomerase-associated protein 2, TP2, TERT, EST2, TCS1, TRT |
| Entrez GeneID | 7015 |
| Swissprot | O14746 |
| WB Predicted band size | 127.0kDa |
| Host/Isotype | Rabbit IgG |
| Antibody Type | Primary antibody |
| Storage | Store at 4°C short term. Aliquot and store at -20°C long term. Avoid freeze/thaw cycles. |
| Species Reactivity | Human |
| Immunogen | This TERT antibody is generated from rabbits immunized with a KLH conjugated synthetic peptide between 1104-1132 amino acids from human TERT. |
| Formulation | Purified antibody in PBS with 0.05% sodium azide. |
Application |
|
|---|---|
| WB | 1/1000-1/2000 |
| IHC | 1/100-1/500 |
| IF | 1/10-1/50 |
| FCM | 1/25 |
Product Image
-
Anti-TERT Antibody (S1125) at 1:2000 dilution + HL-60 whole cell lysate Lysates/proteins at 20 µg per lane. Secondary Goat Anti-Rabbit IgG, (H+L), Peroxidase conjugated at 1/10000 dilution. Predicted band size : 127 kDa Blocking/Dilution buffer: 5% NFDM/TBST.

-
TERT Antibody (pS1125) (Cat. #P34388) western blot analysis in Jurkat cell line and human normal uterus tissue lysates (35ug/lane).This demonstrates the TERT antibody detected the TERT protein (arrow).

-
Confocal immunofluorescent analysis of TERT Antibody (S1125)(Cat#P34388) with Hela cell followed by Alexa Fluor 488-conjugated goat anti-rabbit lgG (green). Actin filaments have been labeled with Alexa Fluor 555 phalloidin (red).DAPI was used to stain the cell nuclear (blue).

-
TERT Antibody (S1125) (Cat. #P34388) flow cytometric analysis of Jurkat cells (bottom histogram) compared to a negative control cell (top histogram).FITC-conjugated goat-anti-rabbit secondary antibodies were used for the analysis.

-
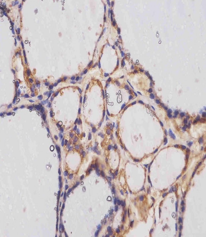
P34388 staining TERT in human thyroid tissue sections by Immunohistochemistry (IHC-P - paraformaldehyde-fixed, paraffin-embedded sections). Tissue was fixed with formaldehyde and blocked with 3% BSA for 0. 5 hour at room temperature; antigen retrieval was by heat mediation with a citrate buffer (pH6). Samples were incubated with primary antibody (1/25) for 1 hours at 37°C. A undiluted biotinylated goat polyvalent antibody was used as the secondary antibody.






鄂公网安备42018502007531号

